Triệu chứng
Nhức đầu, suy nhược, rối loạn, nói lắp, co giật, ngất xỉu, hôn mê.
Chẩn đoán
Hỏi bệnh sử và khám thực thể.
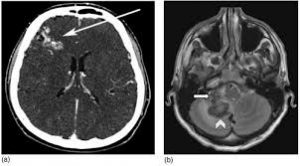
Chẩn đoán xác định bằng cách chụp hình ảnh tĩnh mạch và xác định rằng các cục máu đông nằm trong các xoang tĩnh mạch.
Chụp cắt lớp vi tính tĩnh mạch đồ hoặc chụp cộng hưởng từ tĩnh mạch đồ được thực hiện để giúp cho chẩn đoán.
Điều trị

1/4
Click vào ảnh để xem 4 hình ảnh minh họa
Xét nghiệm máu toàn bộ (CBC),
Xét nghiệm bảng chuyển hóa toàn diện (CMP),
Chụp cắt lớp vi tính (CT Scan), chụp cộng hưởng từ (MRI).