Triệu chứng
Đau, sưng khuỷu tay, giảm chuyển động, biến dạng khuỷu tay, tê tay, mạch yếu ở cổ tay.
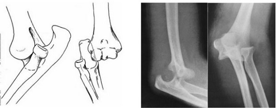
Chẩn đoán
Hỏi bệnh sử và khám thực thể.
Chụp X-quang để chẩn đoán.
Điều trị

1/4
Click vào ảnh để xem 4 hình ảnh minh họa
Mục đích của điều trị là hạn chế gãy xương và giảm khả năng phải phẫu thuật.
Nếu chấn thương ảnh hưởng tới dây thần kinh hoặc mạch máu, bệnh nhân cần được cấp cứu.
Nếu chảy máu ở khuỷu tay nghiêm trọng, cần tiến hành phẫu thuật để giảm sưng.