Triệu chứng
Các triệu chứng có thể bao gồm: đau cẳng tay, cẳng tay bị biến dạng, cẳng tay không hoạt động được, cẳng tay sưng, tê.
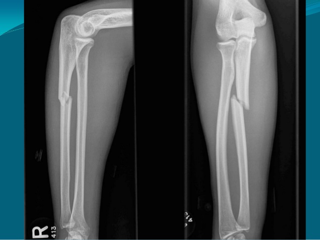
Chẩn đoán
Hỏi bệnh sử và khám thực thể. Chụp X-quang cẳng tay để phát hiện xương gãy.
Điều trị

1/4
Click vào ảnh để xem 4 hình ảnh minh họa
Điều trị phụ thuộc vào vị trí của tổn thương, mức độ nghiêm trọng của các vết nứt và độ tuổi của bệnh nhân. Chăm sóc không phẫu thuật bao gồm cố định với nẹp hoặc bó bột cố định. Trường hợp nặng hơn cần phẫu thuật nhằm mục đích nắn lại chính xác và dùng dụng cụ như: đinh, nẹp, vít để cố định xương gãy.