Triệu chứng
Triệu chứng bệnh Lacunar infarction Là Có thể có rất ít hoặc không có triệu chứng. Khi triệu chứng xảy ra, chúng có thể bao gồm yếu hoặc tê liệt ở mặt, cánh tay, chân. Bệnh nhân cũng có thể bị tê liệt đột ngột, đi lại khó khăn, khó nói, vụng về hoặc rối loạn thị giác.
Chẩn đoán
Hỏi bệnh sử và khám thực thể.
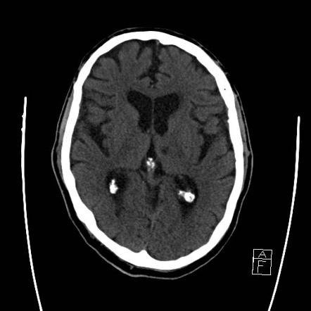
Chụp cắt lớp vi tính (CT Scan), chụp cộng hưởng từ (MRI), chụp X-quang, điện tâm đồ (EKG), siêu âm.
Xét nghiệm công thức máu toàn bộ (CBC), bảng chuyển hóa toàn diện (CMP).
Điều trị

1/5
Click vào ảnh để xem 5 hình ảnh minh họa
Điều trị Lacunar infarction Là Cần được cấp cứu kịp thời. Điều trị phụ thuộc vào mức độ của đột quỵ, các loại thuốc bệnh nhân đang dùng và các triệu chứng. Điều trị có thể bao gồm: thuốc huyết áp, thuốc chống tiểu cầu (Aspirin, Clopidogrel/Plavix), vật lý trị liệu, trị liệu ngôn ngữ, và trị liệu nghề nghiệp.