Tổng quan
Meningococcal Infections, Viêm màng não mô cầu hay Nhiễm não mô cầu (còn được gọi là màng Não cầu) là bệnh gì?
Meningococcal Infections, Viêm màng não mô cầu hay Nhiễm não mô cầu (còn được gọi là màng não cầu) là bệnh trên người, do khuẩn não mô cầu nhóm C (Neisseria Meningitidis) gây ra với nhiều bệnh cảnh khác nhau (riêng rẽ hoặc phối hợp) tại nhiều cơ quan như đường hô hấp, máu, hệ thần kinh, khớp, màng tim, mắt, đường niệu và sinh dục. Đây là căn bệnh tuy ít gặp nhưng lây lan nhanh, có khả năng phát triển thành dịch vì dễ lây lan qua đường hô hấp, đặc biệt ở những nơi tập trung đông người. Tuổi dễ mắc bệnh nhất là trẻ em từ 36 tháng đến 3 tuổi hoặc thanh thiếu niên 14-20 tuổi.
Triệu chứng
Phụ thuộc vào cơ quan bị nhiễm trùng. Viêm phổi, ho, khó thở, đau ngực, sốt. Viêm màng não: Nhức đầu, cứng cổ, sốt, suy nhược, rối loạn. Nó có thể gây bầm tím trên da trong một số trường hợp.
Chẩn đoán
Hỏi bệnh sử và khám thực thể.
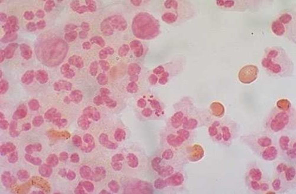
Chọc dò tủy sống được thực hiện để lấy mẫu dịch não tủy nhằm kiểm tra dưới kính hiển vi phòng thí nghiệm. Sự hiện diện của các tế bào bạch cầu trong dịch não tủy có nghĩa là bệnh nhân có viêm màng não. Viêm màng não não mô cầu được chẩn đoán với cấy dịch não tủy.
Chụp cắt lớp vi tính (CT Scan) có thể được thực hiện để loại trừ các bệnh khác.
Điều trị
Xét nghiệm máu toàn bộ (CBC)
Xét nghiệm bảng chuyển hóa toàn diện (CMP)
Chụp cắt lớp vi tính (CT Scan), Xét nghiệm nước tiểu. Có thể bổ sung: cấy phân, nuôi cấy dịch não tủy.
Triệu chứng
Chẩn đoán
Điều trị

Click vào ảnh để xem 5 hình ảnh minh họa