Triệu chứng
Các triệu chứng Necrotizing Enterocolitis hay Viêm ruột hoại tử có thể bao gồm đầy bụng, có máu trong phân, nôn mửa, tiêu chảy, không dung nạp thức ăn và đầy hơi sau khi ăn.
Chẩn đoán
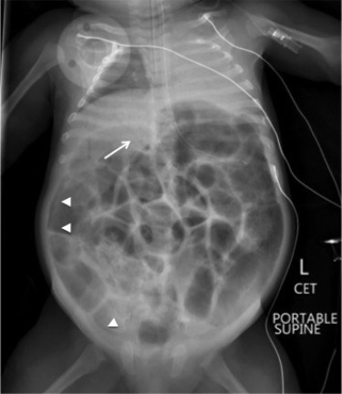
Chẩn đoán Necrotizing Enterocolitis hay Viêm ruột hoại tử là Hỏi bệnh sử và khám thực thể. Chụp X-quang bụng và các nghiên cứu trong phòng thí nghiệm sẽ được thực hiện. Xét nghiệm máu toàn bộ (CBC), xét nghiệm bảng chuyển hóa toàn diện (CMP), cấy máu sẽ được tiến hành để kiểm tra nhiễm trùng và mất cân bằng điện giải.
Điều trị

1/5
Click vào ảnh để xem 5 hình ảnh minh họa
Điều trị Necrotizing Enterocolitis hay Viêm ruột hoại tử là Có thể bổ sung: Khí máu động mạch (ABG), Xét nghiệm máu ẩn trong phân (FOBT)