Triệu chứng
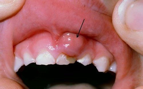
Triệu chứng Nhiễm trùng tủy răng, Tooth infection hay Nhiễm trùng răng là Đau răng, không chịu được nóng lạnh, nướu sưng và đau.
Chẩn đoán
Hỏi bệnh sử và khám thực thể.
Chụp X-quang răng sẽ được thực hiện.
Điều trị

1/5
Click vào ảnh để xem 5 hình ảnh minh họa
Điều trị Nhiễm trùng tủy răng, Tooth infection hay Nhiễm trùng răng tùy thuộc vào mức độ nhiễm trùng. Các thuốc như thuốc kháng viêm không Steroid/NSAIDs (Ibuprofen/Motrin hoặc Advil, Naproxen/Naprosyn hoặc Aleve), thuốc giảm đau như Acetaminophen (Tylenol) và thuốc giảm đau gây ngủ có thể được quy định.