Triệu chứng
Triệu chứng Osgood-Schlatter hay Viêm khớp gối trẻ em là Đau, sưng và đau ở mặt trước của cẳng chân, ngay dưới đầu gối. Cơn đau tăng lên khi duỗi thẳng đầu gối.
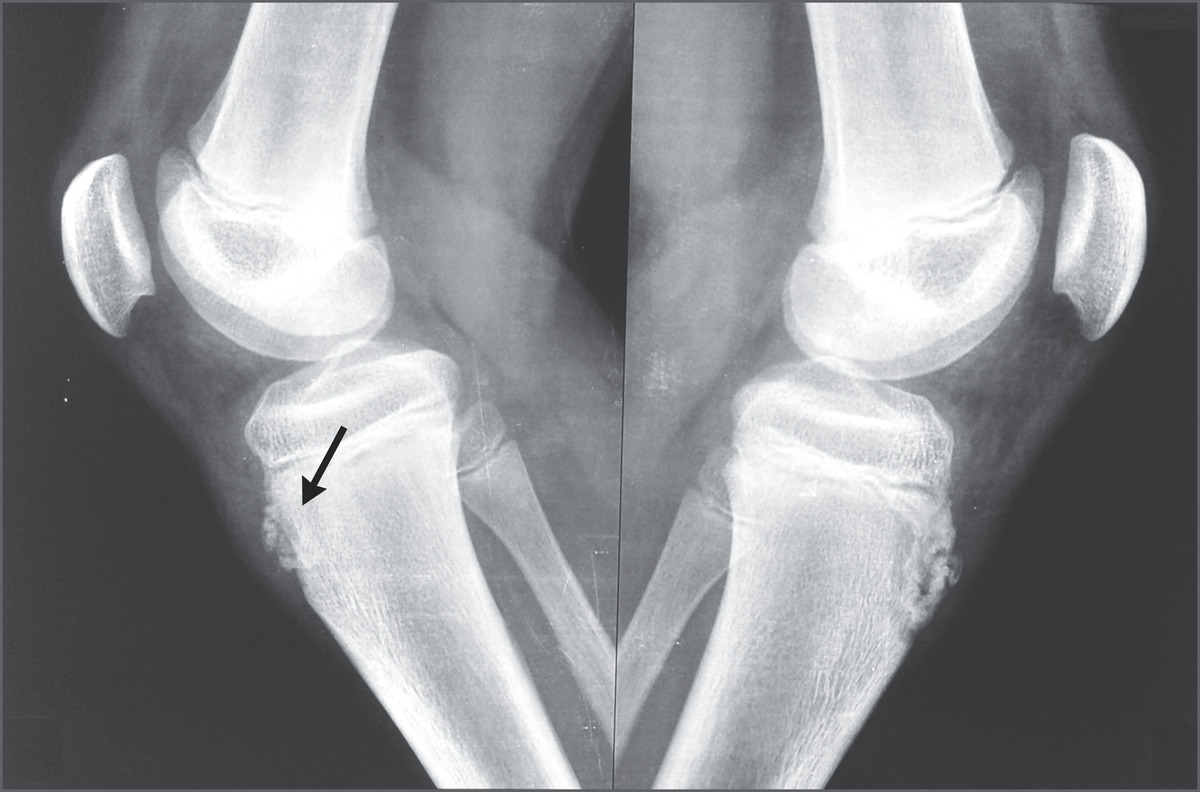
Chẩn đoán
Hỏi bệnh sử và khám thực thể.
Chụp X-quang đầu gối.
Điều trị

1/4
Click vào ảnh để xem 4 hình ảnh minh họa
Điều trị Osgood-Schlatter hay Viêm khớp gối trẻ em, Trường hợp nhẹ, giảm hoạt động thể chất mà không cần điều trị đặc hiệu. Mang nạng trong 2-6 tuần với trường hợp nặng hơn. Hiếm khi phẫu thuật được chỉ định.