Triệu chứng
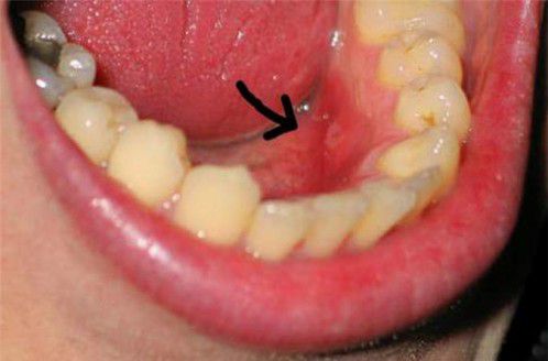
Triệu chứng Viêm ổ răng khô là Miệng đau, nhạy cảm với đồ ăn, thức uống lạnh hoặc nóng, hơi thở hôi.
Chẩn đoán
Chẩn đoán Viêm ổ răng khô là Hỏi bệnh sử và khám thực thể.
Điều trị

1/4
Click vào ảnh để xem 4 hình ảnh minh họa
Các hốc răng sẽ được làm ẩm bằng cách đắp gạc thuốc để loại bỏ các mảnh thức ăn bám ở đó. Thuốc giảm đau có thể được sử dụng.