Triệu chứng
Triệu chứng Viêm phổi cấp do vi khuẩn Legionella là Ho,khó thở,sốt,đau nhức và cứng cơ bắp,mất năng lượng,khó chịu, lo lắng,cảm giác bị ốm,đau đầu,ớn lạnh,ho ra máu,đau ngực, tiêu chảy,mất sự phối hợp cơ thể.
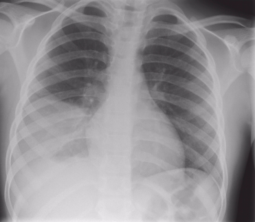
Chẩn đoán
Hỏi bệnh sử và khám thực thể.
Chụp X-quang ngực, điện tâm đồ (EKG) và xét nghiệm nước tiểu,nuôi cấy máu và đờm để thiết lập chẩn đoán và loại trừ các nguyên nhân khác.
Xét nghiệm công thức máu toàn bộ (CBC), bảng chuyển hóa toàn diện (CMP).
Xét nghiệm phản ứng kháng thể huỳnh quang trực tiếp.
Điều trị

1/5
Click vào ảnh để xem 5 hình ảnh minh họa
Điều trị Viêm phổi cấp do vi khuẩn Legionella phụ thuộc vào mức độ nghiêm trọng của bệnh.Một số kháng sinh có thể có hiệu quả, bao gồm: các Quinolone (như Ciprofloxacin,Levofloxacin,Moxifloxacin,Gatifloxacin) và Macrolide (như Azithromycin, Clarithromycin, hoặc Erythromycin).Điều trị khác bao gồm dịch truyền tĩnh mạch,oxy và ổn định sinh hóa máu.Trường hợp nặng có thể cần thông gió và lọc máu.