Triệu chứng
Triệu chứng Viêm phổi hít phải hay "viêm phổi do rối loạn nuốt" là Ho, đau ngực, sốt, hơi thở có mùi hôi, khó thở, da xanh tím tái, bối rối.
Chẩn đoán
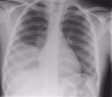
Chẩn đoán Viêm phổi hít phải hay "viêm phổi do rối loạn nuốt" là Hỏi bệnh sử và khám thực thể. Chụp X-quang, chụp cắt lớp vi tính (CT Scan) và xét nghiệm máu thường được chỉ định. Cấy đờm và máu cũng có thể được thực hiện.
Điều trị

1/5
Click vào ảnh để xem 5 hình ảnh minh họa
Điều trị Viêm phổi hít phải hay "viêm phổi do rối loạn nuốt" là Phân tích khí máu động mạch (ABG), cấy máu, cấy đờm, xét nghiệm máu toàn bộ (CBC), chụp cắt lớp vi tính, chụp X-quang.