Triệu chứng
Đau đầu đột ngột, dữ dội, nôn mửa, ngất, suy nhược, rối loạn, co giật, hôn mê.
Chẩn đoán
Hỏi bệnh sử và khám thực thể.
Các xét nghiệm để lập chẩn đoán và xác định nguyên nhân sẽ được thực hiện.
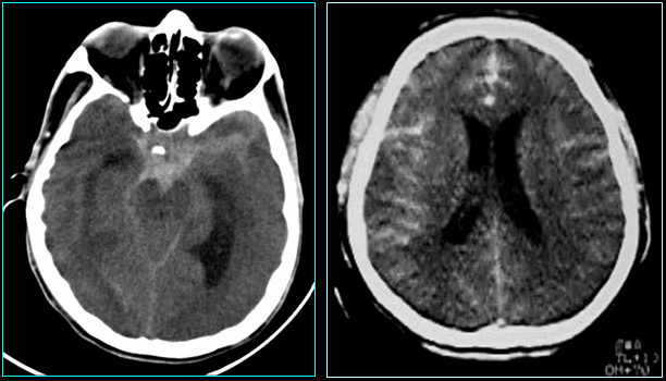
Chụp cắt lớp vi tính (CT Scan), chọc dò tủy sống làm xét nghiệm có thể được thực hiện để loại trừ chảy máu nhỏ.
Xét nghiệm công thức máu toàn bộ (CBC), bảng chuyển hóa toàn diện (CMP), điện tâm đồ (EKG), chụp cộng hưởng từ (MRI) và X-quang.
Chụp mạch máu não.
Điều trị

1/4
Click vào ảnh để xem 4 hình ảnh minh họa
Mục tiêu của điều trị là loại bỏ các nguyên nhân gây chảy máu, làm giảm triệu chứng và ngăn ngừa biến chứng. Phương pháp điều trị cụ thể phụ thuộc vào nguyên nhân gây chảy máu. Đối với chứng phình động mạch, cần phẫu thuật loại bỏ cục máu đông. Kiểm soát huyết áp.