Đối tác
Hệ thống đặt lịch khám toàn quốc
BCare
Bệnh việnPhòng khámBác sĩGói khámTin sức khỏeTra cứu
Đăng nhậpĐăng ký
B
Bcare.vnĐặt lịch khám online

Đối tác được ủy quyền phân phối và hỗ trợ dịch vụ đặt lịch khám, chăm sóc sức khỏe cho người dân trên toàn quốc. Website được vận hành bởi Công ty Cổ phần Đầu tư Bcare và không phải là trang chính thức của các cơ sở y tế. Giấy chứng nhận đăng ký kinh doanh số 0109564614 do Sở Kế hoạch và Đầu tư TP Hà Nội cấp ngày 23/03/2021

0941.298.865 - 024.7301.0688
info@bcare.vn
Số 6, ngách 3/149 phố Cự Lộc, Phường Thanh Xuân, Thành phố Hà Nội, Việt Nam
Tầng 3, Số 1 Lô 4E, Trung Yên 10B, Phường Cầu Giấy, Thành phố Hà Nội
Đã đăng ký với Bộ Công Thương

Danh mục

  • Bệnh viện
  • Phòng khám
  • Bác sĩ
  • Gói khám

Tra cứu

  • Tra cứu bệnh
  • Tra cứu thuốc
  • Phẫu thuật
  • Xét nghiệm y khoa
  • Từ điển y khoa
  • Thảo dược

Tài khoản

  • Đăng nhập
  • Đăng ký
  • Lịch hẹn của tôi
  • Yêu thích

Về BCare

  • Về chúng tôi
  • Liên hệ
  • Đăng ký đối tác
  • Chính sách nội dung
  • Cơ chế giải quyết tranh chấp, khiếu nại
  • Quy chế hoạt động
  • Về Chúng Tôi
  • Điều khoản dịch vụ
  • Chính sách bảo mật

© 2026 bcare.vn. Bảo lưu mọi quyền.

Đối tác
Hệ thống đặt lịch khám toàn quốc
BCare
Bệnh việnPhòng khámBác sĩGói khámTin sức khỏeTra cứu
Đăng nhậpĐăng ký
  1. Trang chủ
  2. Bài viết
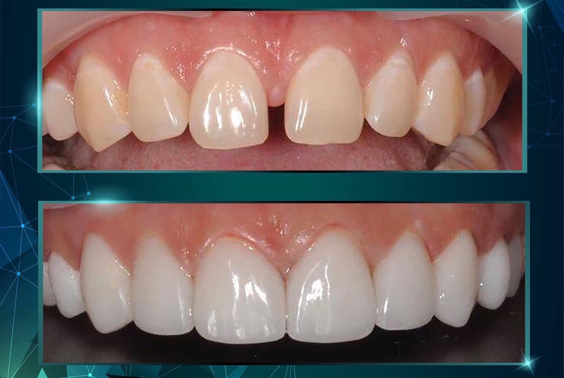
  3. Dán Răng Sứ - Giữ 100% Răng Gốc
Dán Răng Sứ - Giữ 100% Răng Gốc

Dán Răng Sứ - Giữ 100% Răng Gốc

Thưa Răng Cửa - Dán răng Sứ - Giữ 100% răng gốc

29 tháng 9, 2020
1 phút đọc
155 lượt xem
Chia sẻ:

✳THƯA RĂNG CỬA-DÁN VENEER-GIỮ RĂNG GỐC 100%

❗ Răng cửa thưa

❗ Hình thể xấu

❗ Màu sắc không như ý

 

✳Bạn phân vân giữa các phương pháp:

#KHÔNG_MUỐN_CHỈNH_NHA vì quá mất thời gian

#KHÔNG_MUỐN_BỌC_SỨ vì nỗi ám ảnh phải mài răng

Miễn trừ trách nhiệm

Các bài viết trên Bcare chỉ có tính chất tham khảo, không thay thế cho việc chẩn đoán hoặc điều trị y khoa.

Bài viết liên quan

Chương trình bổ sung Vitamin A Miễn phí cho trẻ 06 - 36 tháng tuổi tại BV Hoàn Mỹ Sài Gòn

Chương trình bổ sung Vitamin A Miễn phí cho trẻ 06 - 36 tháng tuổi tại BV Hoàn Mỹ Sài Gòn

22 tháng 5, 2026
BUỔI CHIA SẺ: BÍ QUYẾT GIỮ CỘT SỐNG KHỎE – HƯỚNG DẪN TẬP LUYỆN CÙNG BÁC SĨ

BUỔI CHIA SẺ: BÍ QUYẾT GIỮ CỘT SỐNG KHỎE – HƯỚNG DẪN TẬP LUYỆN CÙNG BÁC SĨ

7 tháng 5, 2026
Thời gian mắt ổn định sau phẫu thuật LASIK: Bao lâu nhìn rõ hoàn toàn?

Thời gian mắt ổn định sau phẫu thuật LASIK: Bao lâu nhìn rõ hoàn toàn?

16 tháng 4, 2026
Nội soi tiêu hóa phát hiện sớm ung thư với Endocyto 520x tại Hệ thống Y tế Thu Cúc TCI

Nội soi tiêu hóa phát hiện sớm ung thư với Endocyto 520x tại Hệ thống Y tế Thu Cúc TCI

15 tháng 4, 2026
ThS.BS. Đinh Trọng Tuyên - Chuyên Gia hàng đầu trong Điều Trị Bảo Tồn Thoát Vị Đĩa Đệm

ThS.BS. Đinh Trọng Tuyên - Chuyên Gia hàng đầu trong Điều Trị Bảo Tồn Thoát Vị Đĩa Đệm

19 tháng 3, 2026
Top 6 Bác Sĩ Điều Trị Thoát Vị Đĩa Đệm Cột Sống Thắt Lưng Tốt Nhất Tại Hà Nội (Cập nhật 2026)

Top 6 Bác Sĩ Điều Trị Thoát Vị Đĩa Đệm Cột Sống Thắt Lưng Tốt Nhất Tại Hà Nội (Cập nhật 2026)

19 tháng 3, 2026

Cần tư vấn sức khỏe?

Đặt lịch khám với bác sĩ chuyên khoa ngay để được tư vấn và điều trị kịp thời

Hỗ trợ 24/7 • Miễn phí tư vấn

B
Bcare.vnĐặt lịch khám online

Đối tác được ủy quyền phân phối và hỗ trợ dịch vụ đặt lịch khám, chăm sóc sức khỏe cho người dân trên toàn quốc. Website được vận hành bởi Công ty Cổ phần Đầu tư Bcare và không phải là trang chính thức của các cơ sở y tế. Giấy chứng nhận đăng ký kinh doanh số 0109564614 do Sở Kế hoạch và Đầu tư TP Hà Nội cấp ngày 23/03/2021

0941.298.865 - 024.7301.0688
info@bcare.vn
Số 6, ngách 3/149 phố Cự Lộc, Phường Thanh Xuân, Thành phố Hà Nội, Việt Nam
Tầng 3, Số 1 Lô 4E, Trung Yên 10B, Phường Cầu Giấy, Thành phố Hà Nội
Đã đăng ký với Bộ Công Thương

Danh mục

  • Bệnh viện
  • Phòng khám
  • Bác sĩ
  • Gói khám

Tra cứu

  • Tra cứu bệnh
  • Tra cứu thuốc
  • Phẫu thuật
  • Xét nghiệm y khoa
  • Từ điển y khoa
  • Thảo dược

Tài khoản

  • Đăng nhập
  • Đăng ký
  • Lịch hẹn của tôi
  • Yêu thích

Về BCare

  • Về chúng tôi
  • Liên hệ
  • Đăng ký đối tác
  • Chính sách nội dung
  • Cơ chế giải quyết tranh chấp, khiếu nại
  • Quy chế hoạt động
  • Về Chúng Tôi
  • Điều khoản dịch vụ
  • Chính sách bảo mật

© 2026 bcare.vn. Bảo lưu mọi quyền.

Nội dung được kiểm duyệt bởi chuyên gia y tế
Nguyễn Thị Huyền Trang
Nguyễn Thị Huyền Trang
Bác sĩ
Xem hồ sơ chi tiết