1. U thượng bì vôi hoá thường xuất hiện ở vị trí nào trên cơ thể?
Nhiều người gọi nang thượng bì là nang bã, thực sự chúng là hai loại khác nhau. Nang bã thực sự thì ít gặp. Chúng phát sinh từ những tuyến tiết chất nhờn làm mượt tóc và da (những tuyến bã).
Chúng có thể xuất hiện bất cứ nơi nào trên da, nhưng thường gặp ở mặt, cổ và thân mình.

2. Triệu chứng lâm sàng của bệnh u thượng bì vôi hoá
- Một khối sưng tròn, nhỏ bên dưới da, thường ở mặt, cổ và thân mình
- Có một lỗ nhỏ xíu ở trung tâm của U
- Đôi khi nang rỉ ra chất dịch màu vàng sệt, có mùi khó chịu
- Vùng đó có thể sưng, nóng, đỏ, đau nếu nang thượng bì viêm hay nhiễm trùng.
- U thượng bì vôi hóa thường có kèm vôi hóa ở tổn thương, sờ có cảm giác cứng.
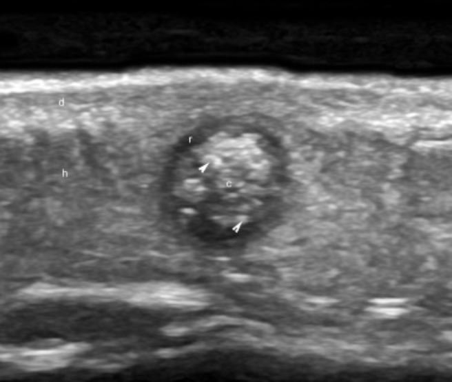
3. Hình ảnh U thượng bì vôi hóa (pilomatrixoma) trên siêu âm
Khối hỗn hợp hình bầu dục, thường có vôi hóa đi kèm, tại vị trí nối giữa chân bì và lớp mỡ dưới da có một lớp da mỏng phủ lên.
Xuất hiện như dấu hiệu hình bia bắn với vùng giảm âm kết nối với bao mô và tăng âm ở trung tâm của vùng tế bào biểu mô.








