1. Chửa trứng là gì?
Chửa trứng là tình trạng bệnh lý của rau thai. Trong đó một phần hay toàn bộ bánh rau bị thoái hóa thành những túi dịch to nhỏ, dính vào nhau thành chùm giống như chùm nho chiếm toàn bộ diện tích tử cung ấn át sự phát triển của bào thai.
Chửa trứng chia làm 2 loại:
- Chửa trứng hoàn toàn: Không có tổ chức thai nhi. Các gai rau phình to, mạch máu lông rau biến mất, lớp tế bào nuôi tăng sinh mạnh.
- Chửa trứng bán phần: Có thai Nhi hay 1 phần thai nhi. Phần lớn gai rau biến thành túi nước, còn 1 phần gai rau bình thường.
Chửa trứng cũng có thể được phân biệt dựa vào tính chất:
- Chửa trứng lành tính: Lớp hợp bào ko bị phá vỡ, lớp đơn bào ko ăn vào cơ tử cung.
- Chửa trứng ác tính (chửa trứng xâm nhập): Lớp hợp bào mỏng đi và có từng vùng bị phá vỡ. Lớp đơn bào ở trong xâm lấn ra ngoài tràn vào niêm mạc tử cung, ăn sâu vào lớp cơ tử cung, có khi ăn thủng lớp cơ tử cung gây Chảy máu trong ổ bụng.

2 . Nguyên nhân và hậu quả khi chửa trứng
Cho đến nay, y học vẫn chưa tìm ra được chính xác nguyên nhân gây chửa trứng. Chỉ mới đưa ra được một vài yếu tố ảnh hưởng như:
- Sai sót của yếu tố di truyền trong quá trình thụ tinh đã dẫn đến những bất thường ở bộ nhiễm sắc thể. Khoảng 90% trường hợp thai trứng bắt nguồn từ người cha và 10% từ người mẹ
- Thường gặp ở phụ nữ trên 40 tuổi hoặc dưới 20 tuổi
- Phụ nữ đã sinh đẻ nhiều lần, hoặc có tiền sử thai nghén lần đầu không bình thường, hoặc đã có những bất thường ở dạ tử cung, là 1 trong những yếu tố nguy cơ cao gây nên chửa trứng
- Thiếu dinh dưỡng: Chế độ dinh dưỡng không đầy đủ như thiếu các chất Dinh dưỡng như đạm, acid folic vitamin A... Do đó, tỉ lệ mắc ở các nước đang phát triển cao hơn các nước phát triển.
Chửa trứng đa số là lành tính, tuy nhiên trong quá trình tiến triển của Chửa trứng dễ xuất hiện các biến chứng rất nguy hiểm:
- Băng huyết: Do trứng bị sảy gây băng huyết, nguy hiểm đến tính mạng thai phụ.
- Xâm lấn gây thủng tử cung: Do trứng ăn sâu vào cơ tử cung, làm thủng lớp cơ tử cung, gây chảy máu ổ bụng.
- Ung thư: Ung thư tế bào nuôi xâm nhập sang cơ thể mẹ qua đường máu di căn đến bộ phận xa. Đây còn gọi là hiện tượng ung thư mô trung sản, chiếm khoảng 10 – 30% các ca chửa trứng.
3. Một số đặc điểm lâm sàng
- Bệnh nhân có dấu hiệu có thai: Tắt kinh, nghén, vú căng tuy nhiên nghén nặng hơn và bụng to nhanh hơn bình thường.
- Ra máu âm đạo là triệu chứng quan trọng đầu tiên. Ra máu sớm vào khoảng tháng thứ 2 đến tháng thứ 4. Ra máu tự nhiên, màu đen, đỏ, ít một và dai dẳng.
- Đau bụng có thể gặp trong sắp Sảy thai trứng hoặc có biến chứng.
- Triệu chứng toàn thân: Mệt mỏi, thiếu máu. Có thể nhiễm độc thai nghén. Đôi khi có vàng da, nước tiểu vàng.
Trường hợp nặng có thể cường giáp: nhịp tim nhanh, da nóng ẩm, run tay, tuyến giáp to (gặp 10%).
4. Triệu chứng của chửa trứng
Triệu chứng cơ năng:
- Người bệnh có hiện tượng chậm kinh.
- Rong huyết: Đây là triệu chứng quan trọng đầu tiên, chiếm trên 90% trường hợp chửa trứng. Máu ra ở âm đạo tự nhiên, máu sẫm đen hoặc đỏ loãng, ra kéo dài.
- Nghén nặng: Gặp trong 25-30% các trường hợp, biểu hiện nôn nhiều, đôi khi phù, có protein niệu.
- Bụng to nhanh.
- Không thấy thai máy.
Triệu chứng thực thể:
- Toàn thân mệt mỏi, biểu hiện thiếu máu. Có thể nhiễm độc thai nghén. Đôi khi có vàng da, nước tiểu vàng.
- Tử cung mềm, kích thước tử cung lớn hơn tuổi thai (trừ trường hợp chửa trứng thoái triển).
- Không sờ được phần thai.
- Không nghe được tim thai.
- Nang hoàng tuyến xuất hiện trong 25-50%, thường gặp cả 2 bên.
- Khám âm đạo có thể thấy nhân di căn âm đạo, to bằng đầu ngón tay, màu tím sẫm, thường ở thành trước, dễ vỡ gây chảy máu
- Có thể có dấu hiệu tiền Sản giật (10%)
- Có thể có triệu chứng Cường giáp (10%): Nhịp tim nhanh, da nóng ẩm, run tay, tuyến giáp to
Cách an toàn và nhanh nhất để phát hiện chửa trứng là đi khám thai định kì theo khuyến cáo và khi có bất kì triệu chứng bất thường nào. Người bệnh nên đến cơ sở y tế tin cậy gặp bác sĩ để thăm khám và là các các Xét nghiệm cần thiết để chẩn đoán sớm và điều trị kịp thời tránh tai biến đáng tiếc xảy ra.Có 2 nhóm biện pháp phát hiện chửa trứng: Chẩn đoán hình ảnh và Xét nghiệm:
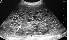
Chẩn đoán hình ảnh :Với siêu âm, có thể chẩn đoán chửa trứng có thể được phát hiện rất sớm và dễ dàng, thường ở thai

Trên siêu âm thấy hình ảnh tuyết rơi hoặc lỗ chỗ như tổ ong, có thể thấy nang hoàng tuyến hai bên, không thấy phôi thai (chửa trứng toàn phần). Trong chửa trứng bán phần thì khó phân biệt hơn với thai lưu, có thể thấy một phần bánh rau bất thường.Thực hiện các xét nghiệm
- Định lượng Beta-hCG : Là xét nghiệm cơ bản để chẩn đoán và theo dõi chửa trứng. Lượng E-hCG tăng cao trên 100.000 mUI/ml
- Định lượng estrogen : Trong nước tiểu estrogen dưới dạng các estrone, estradiol hay estriol đều thấp hơn trong thai thường, do sự rối loạn chế tiết của rau và do không có sự biến đổi estradiol và estriol xảy ra ở tuyến thượng thận của thai nhi. Tuy nhiên, chỉ số này ít ý nghĩa và không sử dụng trong thực tế vì sự khác biệt này chỉ thấy rõ khi tuổi thai từ 14 tuần trở lên.
- Định lượng HPL : (Human placental lactogen), thường cao trong thai thường, nhưng rất thấp trong chửa trứng.
Tóm lại, chửa trứng chẩn đoán xác định chủ yếu dựa vào siêu âm và xét nghiệm nồng độ Beta- hCG
5. Cách điều trị chửa trứng
Nạo hút thai trứng
- Khi đã chẩn đoán xác định tiến hành nong nạo hoặc hút trứng càng sớm càng tốt.
- Truyền oxytocin co hồi tử cung trong và sau thủ thuật và kháng sinh phòng nhiễm khuẩn.
- Gửi giải phẫu bệnh lý tổ chức mô nạo.
- Theo dõi sau thủ thuật theo lịch Beta hCG và siêu âm theo lịch
- Nên tránh thai trong 2 năm
Phẫu thuật cắt tử cung dự phòngCắt tử cung toàn phần cả khối hoặc cắt tử cung toàn phần sau nạo hút trứng thường được áp dụng ở các phụ nữ không muốn có con nữa hoặc trên 40 tuổi và trường hợp chửa trứng xâm lấn làm thủng tử cung. Theo dõi sau nạo trứng
- Cần theo dõi toàn bộ thể trạng, các triệu chứng nghén, triệu chứng ra máu âm đạo, sự nhỏ lại của nang hoàng tuyến và sự co hồi tử cung.
- Sau nạo trứng cần theo dõi tiếp chỉ số Beta-HCG 1 tuần 1 lần cho đến khi chỉ số này trở về bình thường. Sau khi trở về bình thường - trong 2 năm tiếp theo cần theo dõi tiêp chỉ số này để đảm bảo thai trứng đã được loại bỏ hoàn toàn. Tần suất kiểm tra chỉ số Beta-HCG trong giai đoạn này như sau:
3 tháng đầu: 2 tuần xét nghiệm chỉ số Beta-HCG 1 lần.- 6 tháng tiếp theo: Mỗi tháng xét nghiệm chỉ số Beta-HCG 1 lần (nếu các kết quả trước đó đều âm tính).- Trong năm tiếp theo: Cứ 2 tháng định lượng Beta-HCG 1 lần (theo dõi liên tục trong vòng 2 năm)
- Siêu âm: tìm nhân di căn, theo dõi nang hoàng tuyến.

6. Theo dõi tiến triển sau điều trị chửa trứng
Sau điều trị, các biểu hiện dưới đây được coi là tiến triển không thuận lợi. Bao gồm:
- Tử cung vẫn to, nang hoàng tuyến không mất đi hoặc xuất hiện nhân di căn.
- ß-hCG: phương tiện chính để theo dõi và chẩn đoán biến chứng sau loại bỏ thai trứng (bao gồm cả các trường hợp được cắt tử cung dự phòng).
- Nồng độ Beta-hCG lần thử sau cao hơn lần thử trước
- Nồng độ Beta-hCG sau 3 lần thử kế tiếp không giảm (giảm dưới 10%):
- Nồng độ Beta-hCG >20.000 UI/L sau nạo trứng 4 tuần
- Nồng độ Beta-hCG >500 UI/L sau nạo trứng 8 tuần- Nồng độ E-hCG >5 UI/L sau nạo trứng 6 tháng
Thời gian theo dõi sau chửa trứng: Chị em cần theo dõi chặt chẽ sức khỏe trong 2 năm sau khi điều trị chửa trứng, ít nhất 12 - 18 tháng. Trong thời gian này, cần có biện pháp ngừa thai phù hợp để đảm bảo sức khỏe, sẵn sàng cho lần Mang thai tiếp theo.







