1. Khi nào cần chụp x-quang bàn chân thẳng nghiêng
Bàn chân được tính từ hai Mắt cá đến các đầu ngón chân với cấu trúc giải phẫu phức tạp bao gồm 26 xương hình dạng không đều nhau, 30 khớp hoạt dịch. hơn 100 dây chằng và 30 cơ tác động lên các phân đoạn khác nhau.
Xương bàn chân được chia thành ba vùng:
- Bàn chân sau: Xương chêm và xương hộp
- Bàn chân giữa: Xương ghe, ba xương chêm và xương hộp
- Bàn chân trước : Xương bàn ngón và các xương ngón chân.
Các chấn thương tại bàn chân gây đau đớn và khó khăn trong sinh hoạt của người bệnh. Để chẩn đoán chính xác tình trạng Chấn thương tại bàn chân, bác sĩ chuyên khoa sẽ chỉ định người bệnh đi chụp X-quang bàn chân thẳng nghiêng để đưa ra chẩn đoán cuối cùng.
Chụp x-quang là phương pháp hữu hiệu giúp bác sĩ chẩn đoán chính xác và nhanh nhất tình trạng bệnh lý giúp kịp thời đưa ra các phương án chữa trị.

Một số trường hợp chấn thương xương bàn chân được chỉ định chụp X-quang:
- Gãy xương bàn chân
- Đau xương bàn chân không rõ nguyên nhân
- Trật khớp
- Viêm khớp
2. Quy trình chụp x-quang bàn chân thẳng nghiêng
2.1 Các bước chuẩn bị trước khi chụp X-quang bàn chân
Sau đây là các bước chuẩn bị trước khi chụp X-quang:
- Bệnh nhân lấy phiếu chỉ định chụp x-quang xương bàn chân và đến nơi được chỉ định thực hiện chụp x-quang.
- Mời bệnh nhân vào phòng chụp, giải thích cho bệnh nhân về quá trình chụp.
- Hướng dẫn bệnh nhân để lộ vùng bàn chân cần chụp, tháo đồ trang sức nếu có.
2.2 Quy trình chụp x-quang bàn chân thẳng nghiêng
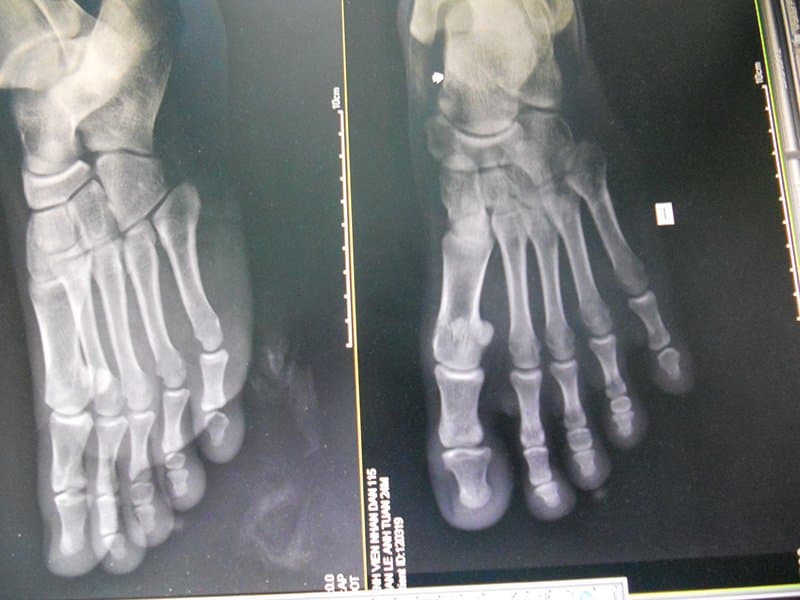
2.2.1 Đối với chụp X-quang bàn chân thẳng
Hướng dẫn bệnh nhân nằm ngửa hoặc ngồi trên bàn chụp, bàn chân bên cần chụp co nhẹ đặt diện bàn chân sát mặt bàn và vào giữa. Chỉnh trục xương đốt bàn II vào trung tâm phim theo chiều dọc và đặt dấu phải hoặc trái. Bóng tia X chiếu từ trên chếch về phía gót 15-20 độ, tia trung tâm khu trú vào điểm cách đầu ngoài xương đốt bàn II về pgias gót 2cm.

2.2.2 Đối với chụp x-quang bàn chân nghiêng
- Tư thế nghiêng trong: Chỉnh bờ trong bàn chân bệnh nhân sát phim, lòng bàn chân phải vuông góc với mặt bàn, sau đó bóng tia x chiếu từ trên xuống vuông góc với phim, tia trung tâm khu trú vào điểm giữa xương đốt bàn V.
- Tư thế nghiêng ngoài: Chỉnh bờ ngoài bàn chân bệnh nhân sát phim, diện lòng bàn chân phải vuông góc với phim, sau đó đặt dấu phải hoặc trái, bóng tia x chiếu từ trên xuống vuông góc với phim, tia trung tâm khu trú vào điểm giữa xương đốt bàn I.
Căn dặn bệnh nhân giữ nguyên tư thế, khoảng cách bóng phim 1m, khu trú chùm tia X. Sau đó kiểm tra các nút bấm trên tủ điều khiển, quan sát bệnh nhân qua kính và ấn nút phát tia X.
2.3 Đánh giá kết quả
Sau khi có kết quả, phim chụp xương bàn chân phải đạt được các yêu cầu như sau:
- Lấy được các xương bàn chân bên cần chụp vào giữa phim
- Các xương bàn chân không chồng lên nhau.
- Phim có độ nét tương phản, phim sạch không bị xước.
- Có họ tên bệnh nhân, dấu P và T, ngày tháng năm chụp.







