1. Tổng quan về bệnh Tăng tiết mồ hôi tay
Tăng tiết mồ hôi tay là tình trạng tăng hoạt động của các tuyến mồ hôi ở lòng bàn tay, khiến cho mồ hôi được sản xuất nhiều ngay trong điều kiện sinh lý của cơ thể. Thông thường, tuyến mồ hôi đóng vai trò như một hệ cơ quan điều nhiệt của cơ thể người, mồ hôi sẽ được tiết ra khi nhiệt độ cơ thể tăng cao để giúp loại bỏ bớt nhiệt lượng ra ngoài cơ thể.
Bệnh Tăng tiết mồ hôi tay chiếm tỷ lệ khoảng 1% trong tổng dân số chung, phổ biến ở nhóm bệnh nhân trẻ tuổi và không có sự khác biệt giữa hai giới. Tăng tiết mồ hôi tay có thể xuất hiện kèm theo tăng tiết mồ hôi ở nhiều khu vực khác trong cơ thể như vùng nách, mặt, bàn chân.
Hoạt động bài tiết mồ hôi ở người chịu sự chi phối của các hạch giao cảm thông qua tín hiệu dẫn truyền ở các dây thần kinh giao cảm. Sự rối loạn hoạt động của các hạch Thần kinh giao cảm vùng ngực được cho là nguyên nhân dẫn đến tăng tiết mồ hôi tay mặc dù cơ chế cụ thể chưa được hiểu rõ. Vì thế, tăng tiết mồ hôi tay còn có tên gọi khác là tăng tiết mồ hôi tay Nguyên phát hoặc tăng tiết mồ hôi tay vô căn.
Tăng tiết mồ hôi tay không phải là một bệnh lý đe dọa tính mạng nhưng mang đến khá nhiều phiền toái cho người bệnh. Tay thường xuyên ra mồ hôi gây cản trở trong các hoạt động sinh hoạt hằng ngày hoặc công việc như viết lách, cầm nắm. Người bệnh bị tăng tiết mồ hôi tay thường mất tự tin khi giao tiếp và tiếp xúc với người khác. Ngoài ra, mồ hôi được sản xuất ra quá nhiều khiến cơ thể dễ rơi vào trạng thái mệt mỏi do mất nhiều nước và muối khoáng. Vì thế, bệnh tăng tiết mồ hôi tay cần được điều trị một cách hiệu quả để cải thiện chất lượng cuộc sống cho người bệnh.

2. Cắt hạch thần kinh giao cảm trị bệnh ra nhiều mồ hôi
Cắt hạch thần kinh giao cảm Nội soi trong điều trị khô mồ hôi 2 tay và hai nách là phương pháp tối ưu hiện tại với mục đích là tự tin trong giao tiếp và thuận lợi trong trong công việc.
3. Cần chuẩn bị gì trước khi phẫu thuật cắt hạch giao cảm?
- Bạn phải hiểu rõ ưu và khuyết của phẫu thuật này là gì?các yếu tố nguy cơ có thể xảy ra!!
- Chuẩn bị chu đáo cũng như hiểu rõ những gì mà bác sỹ sắp tiến hành sẽ giúp quá trình phẫu thuật diễn ra được thuận lợi hơn, hạn chế nguy cơ xuất hiện biến chứng.
- Hãy nói với bác sỹ nếu bạn đang Mang thai hoặc sử dụng bất kỳ một loại thuốc nào đó. Bởi vì, có một số loại thuốc có thể ảnh hưởng đến chất lượng ca phẫu thuật như thuốc chống đông máu aspirin, ibuprofen, warfariin…
- kiểm tra sức khỏe trước mỗ.
4. Chỉ định và chống chỉ định của mổ nội soi cắt hạch giao cảm
Mổ nội soi cắt hạch giao cảm là phương pháp điều trị ít xâm lấn đang ngày càng được chỉ định nhiều hơn trong điều trị bệnh tăng tiết mồ hôi tay. Mổ nội soi cắt hạch giao cảm được chỉ định trong những bệnh lý có tình trạng tăng hoạt động quá mức của hệ thần kinh giao cảm như tăng tiết mồ hôi tay. Ngoài ra, một số bệnh lý khi điều trị cần tăng cường hoạt động của hệ thần kinh phó giao cảm cũng là chỉ định của mổ nội soi cắt hạch giao cảm như bệnh lý mạch máu ở chi trên.
Mổ nội soi cắt hạch giao cảm là phương pháp điều trị an toàn tuy nhiên không phải có thể được áp dụng trên mọi người bệnh. Các chống chỉ định của soi cắt hạch giao cảm bao gồm:
- Bệnh suy tim mức trung bình và nặng
- Các bệnh lý gây suy Hô hấp mãn tính ở mức trung bình và nặng
- Các bệnh lý viêm nhiễm cấp tính tại phổi như viêm phổi nặng, viêm màng phổi
- Rối loạn đông cầm máu chưa được điều chỉnh
- Tiền sử bệnh đã cắt hạch giao cảm trước đây
Bệnh lý Cường giáp chưa được kiểm soát tốt.

5. Quy trình thực hiện mổ nội soi cắt hạch giao cảm
Để đảm bảo tính an toàn và hiệu quả, mổ nội soi cắt hạch giao cảm cần được tiến hành theo đúng các bước sau:
- Chuẩn bị bệnh nhân: Trước khi tiến hành phẫu thuật, cần xác minh đúng người bệnh, loại trừ các chống chỉ định của mổ nội soi cắt hạch giao cảm và khai thác thông tin về tiền sử Dị ứng thuốc.
- Chuẩn bị dụng cụ và phương tiện: Bộ dụng cụ phẫu thuật nội soi cần được soạn đủ bao gồm trocar, dao điện, camera, nội khí quản, bơm kim tiêm vô trùng, gạc sạch ...
- Đặt người bệnh ở tư thế nằm ngửa hoặc nằm sấp với hai tay đặt cao ngang đầu tùy thuộc vào mục đích và kỹ thuật mổ nội soi trong từng trường hợp cụ thể. Tư thế nằm nghiêng và kê cao người một góc 30 độ là phù hợp nhất khi mổ nội soi cắt hạch giao cảm ngực một bên.
- Tiến hành rạch da một đoạn nhỏ và đưa trocar tiến vào lồng ngực.
- Trocar đầu tiên tiến đến khoang màng phổi, đồng thời cùng lúc đặt ống nội khí quản vào cùng bên phẫu thuật để dẫn khí ra ngoài phổi, khiến phổi xẹp và tránh tổn thương nhu mô phổi trong suốt quá trình mổ nội soi.
- Tương tự như các phẫu thuật nội soi khác, thực hiện bơm khí carbonic vào lồng ngực để làm rộng không gian dành cho phẫu thuật.
- Tiến hành thám sát và bộc lộ các nhóm hạch giao cảm ngực. Soi cắt hạch giao cảm ngực ở từng vị trí tương ứng với từng bệnh cảnh khác nhau. Bệnh tăng tiết mồ hôi tay được điều trị triệt để bằng cắt nhóm hạch giao cảm ngực 2 hoặc giữa ngực 2 và ngực 3. Bệnh tăng tiết mồ hôi tay đi kèm với tăng tiết mồ hôi nách cần soi cắt hạch giao cảm rộng đến ngực 4. Điều trị bệnh lý mạch máu chi trên yêu cầu cắt hạch giao cảm ngực 2 và ngực 3. Dao điện là dụng cụ được lựa chọn để phẫu tích và bóc tách các nhóm hạch giao cảm ngực. Vì thế, trong quá trình thao tác, bác sĩ thường thực hiện cẩn thận để tránh tổn thương nhóm hạch sao và gây Bỏng màng xương trong lồng ngực.
- Cầm máu và bơm phồng phổi trở lại.
- Rút hết trocar và khâu kín da.
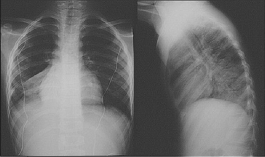
Người bệnh sẽ được tiến hành chụp phim X quang tim phổi để theo dõi hình dạng hai phổi và chức năng hô hấp.

6. Tai biến của mổ nội soi cắt hạch giao cảm
Mặc dù mổ nội soi cắt hạch giao cảm là một phương pháp điều trị an toàn, tuy nhiên một số tai biến vẫn có thể xảy ra, bao gồm:
- Rối loạn nhịp tim, thường gặp là nhịp tim chậm.
- Mất máu trong lúc mổ hoặc sau khi kết thúc phẫu thuật do cầm máu không kỹ hoặc chưa điều chỉnh tốt các rối loạn đông cầm máu.
- Tổn thương nhu mô phổi
- Tràn khí màng phổi
- Tràn khí dưới da
- Hội chứng horner do tổn thương hạch sao
- Nhiễm trùng vết mổ hoặc nhiễm trùng lồng ngực







