1. Rò hậu môn là gì?
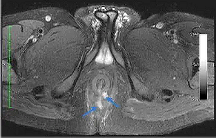
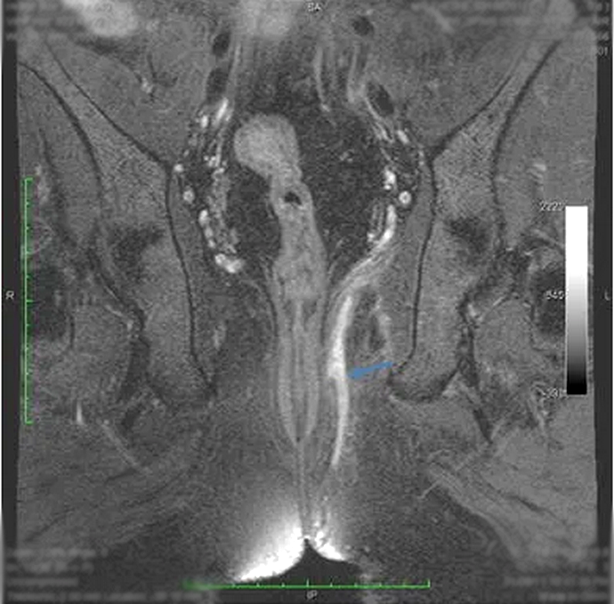
Rò hậu môn là bệnh ở vùng hậu môn trực tràng biểu hiện bằng một đường hầm thông thường bất thường giữa ống hậu môn ra ngoài da quanh hậu môn.
Rò hậu môn có nguồn gốc từ tuyến hậu môn nằm giữa cơ thắt trong và cơ thắt ngoài hậu môn và dẫn lưu vào ống hậu môn. Khi đường ra của tuyến bị tắc nghẽn, áp xe quanh hậu môn được hình thành và có thể lan rộng ra bề mặt da. Việc điều trị không đúng lúc, không đúng kỹ thuật hoặc không được điều trị các loại áp xe quanh hậu môn sẽ gây ra rò hậu môn.
Dựa vào cơ thắt trong và cơ thắt ngoài, rò hậu môn có thể được chia ra 4 types (theo phân loại Park) hoặc 5 grades (theo phân loại Garg).

2. Chụp cộng hưởng từ rò hậu môn như thế nào?
2.1 Chuẩn bị
Phương pháp chụp cộng hưởng từ rò hậu môn tuân thủ theo một số nguyên tắc chung của chụp cộng hưởng từ, đó là việc loại bỏ các thiết bị/đồ vật kim loại mang trong người. Bạn sẽ được hỏi để chắc chắn không mang các thiết bị kim loại sau phẫu thuật hoặc cấy ghép các thiết bị điện tử bị ảnh hưởng bởi từ trường mạnh.
Chụp cộng hưởng từ rò hậu môn bao gồm hai giai đoạn trước tiêm thuốc và sau tiêm thuốc đối quang từ (tương phản từ). Mục đích chính của việc sử dụng thuốc đối quang từ là giúp hiện hình rõ đường rò và đánh giá mô xung quanh đường rò. Mặc dù phản ứng Dị ứng ít khi xảy ra với thuốc đối quang từ, bác sĩ sẽ hỏi bạn về tiền sử sử dụng thuốc cũng như tư vấn cho bạn lợi ích và nguy cơ của thuốc trong từng trường hợp cụ thể.
Thuốc an thần hoặc gây mê có thể được dùng đường tĩnh mạch trong một số trường hợp đặc biệt. Lúc này bạn có thể sẽ phải nhịn ăn trước đó khoảng 4 – 6 tiếng để đảm bảo an toàn trong quá trình gây mê hoặc an thần.
2.2 Thực hiện
Một ca chụp cộng hưởng từ rò hậu môn khoảng 30-45 phút. Bạn sẽ nằm trên giường chụp và kỹ thuật viên sẽ đặt một thiết bị đặc biệt gọi là “Coil” quanh vùng bụng – chậu của bạn. Bàn chụp sẽ được đưa vào trong “lồng” và kỹ thuật viên sẽ bắt đầu lấy hình ảnh vùng chậu, bao gồm hậu môn và vùng xung quanh hậu môn. Bạn sẽ được kỹ thuật viên tiêm thuốc giữa quá trình chụp. Sau khi tiêm thuốc, đường rò hậu môn sẽ nổi rõ hơn trên hình ảnh, giúp bác sĩ nhận diện và đánh giá tổn thương tốt hơn.
Quá trình chụp này sẽ gây ra một số tiếng ồn nhất định, đồng thời bạn sẽ cảm thấy hơi nóng trong vùng chụp. Nếu được dùng an thần hoặc gây mê, bạn sẽ được theo dõi vệ sinh hiệu như nhịp tim, nhịp thở, nồng độ Oxy máu trong suốt quá trình chụp thông qua các thiết bị được bắt trên người bạn.

3. Ưu điểm và nhược điểm chụp cộng hưởng từ rò hậu môn?
Bên cạnh các phương tiện như X-quang, CT Scan, Nội soi đại trực tràng, siêu âm đường hậu môn... cộng hưởng từ là một phương tiện tiên tiến để đánh giá và phân loại đường rò hậu môn. Cộng hưởng từ có nhiều ưu điểm trong mô Tả chính xác vùng giải phẫu quanh hậu môn, đánh giá được mối liên quan giữa đường rò với hoành chậu (cơ nâng) và hố trực tràng. Đây là một phần quan trọng giúp các bác sĩ ngoại khoa trước phẫu thuật.
Tuy nhiên, nhược điểm của cộng hưởng từ rò hậu môn là mất nhiều thời gian, giá thành cao nên khó có thể tiếp cận với số đông, ngoài ra những người mắc hội chứng sợ phòng kín sẽ rất khó hoặc không thể thực hiện kỹ thuật này.
4. Kết quả bạn nhận được sau chụp cộng hưởng từ rò hậu môn?
Bác sĩ Chẩn đoán hình ảnh sẽ phân tích và đưa ra kết quả dựa trên hình chụp qua từng lát cắt mỏng vùng chậu. Qua đó, đường rò của bạn sẽ được phân loại dựa theo bảng phân loại hiện có. Đồng thời, nhu mô xung quanh đường rò sẽ được đánh giá và ghi nhận những bất thường đáng chú ý, trong đó có những biến chứng của đường rò (ví dụ nhiễm trùng, áp xe, đường rò tái phát...).
Bác sĩ phẫu thuật sẽ dựa vào kết quả chụp cộng hưởng từ và các kết quả Xét nghiệm cần thiết khác để đánh giá và thông qua đó lựa chọn phương pháp xử lý đường rò thích hợp.

5. Trang thiết bị để chụp cộng hưởng từ rò hậu môn?
Để chụp được cộng hưởng từ rò hậu môn, bệnh viện tốt nhất nên sử dụng máy từ 1.5 Tesla trở lên. Máy cộng hưởng từ GE 3 Tesla được sử dụng ở Vinmec Nha Trang có khả năng thực hiện tốt kỹ thuật này với protocol thích hợp.
Phòng khám Đa khoa Vietlife với hệ thống cơ sở vật chất, trang thiết bị y tế hiện đại cùng đội ngũ chuyên gia, bác sĩ nhiều năm kinh nghiệm trong khám điều trị, người bệnh hoàn toàn có thể yên tâm thăm khám và điều trị tại Bệnh viện.
Chi Phí Chụp cộng hưởng từ MRI Phòng khám Vietlife







