Tổng quan
Babesia (nhiễm trùng do Babesia) là bệnh gì?
Bệnh Babesia là bệnh nhiễm trùng do một loài ký sinh trùng rất nhỏ có tên Babesia gây ra. Bệnh lây truyền sang người qua vết cắn của một số loài bọ ve.
Triệu chứng thường gặp
Những dấu hiệu và triệu chứng của bệnh Babesia (nhiễm trùng do Babesia) là gì?
Nếu sức đề kháng tốt, bạn có thể không gặp triệu chứng gì khi mắc bệnh, nhưng thông thường thì bạn sẽ bị các triệu chứng bao gồm:
Sốt;
Ớn lạnh;
Đổ mồ hôi;
Nhức đầu;
Đau nhức cơ;
Đau khớp;
Mệt mỏi.
Nếu bệnh trở nặng, các triệu chứng sau có thể xuất hiện:
Nước tiểu sẫm màu;
Phát ban;
Gan Lách to và vàng da.
Có thể có các triệu chứng khác không được đề cập. Nếu bạn có bất kỳ thắc mắc nào về các dấu hiệu bệnh, hãy tham khảo ý kiến bác sĩ.
Khi nào bạn cần gặp bác sĩ?
Hãy liên hệ bác sĩ nếu bạn có các dấu hiệu và triệu chứng như bị sốt, ớn lạnh, mệt mỏi, đau nhức cơ, đau đầu, Sốt phát ban hoặc bất cứ triệu chứng nào khác nêu trên.
Nguyên nhân
Nguyên nhân nào gây bệnh Babesia (nhiễm trùng do Babesia)?
Nguyên nhân gây bệnh Babesia là do vết cắn của một loại bọ ve chân đen có tên Ixodes scapularis. Sau khi bị cắn, ký sinh trùng Babesia microti sẽ truyền từ bọ ve sang cơ thể bạn. Bạn có thể không biết mình bị cắn vì loại bọ ve này rất nhỏ. Một số trường hợp bị nhiễm bệnh do được truyền máu đã bị nhiễm Babesia.
Ngoài ra, bạn còn có nguy cơ bị nhiễm Babesia cùng lúc với bệnh Lyme do một số loại ve có thể mang cùng lúc cả ký sinh trùng Babesia microti và vi khuẩn gây bệnh Lyme Borrelia burgdorferi .
Nguy cơ mắc phải
Những ai thường mắc phải bệnh Babesia (nhiễm trùng do Babesia)?
Bất cứ ai cũng có thể nhiễm bệnh Babesia. Tuy nhiên, những người hay hoạt động ngoài trời thường dễ bị lây nhiễm hơn, do dễ bị bọ ve cắn phải. Bạn có thể hạn chế khả năng mắc bệnh bằng cách giảm thiểu các yếu tố nguy cơ. Hãy luôn tham khảo ý kiến bác sĩ để biết thêm thông tin.
Những yếu tố nào làm tăng nguy cơ nhiễm Babesia (nhiễm trùng do Babesia)?
Bạn sẽ có nguy cơ mắc bệnh Babesia cao hơn vào các mùa có nhiệt độ ấm áp, đặc biệt là mùa hè vì đây là thời gian bọ ve xuất hiện nhiều nhất.
Triệu chứng
Chẩn đoán
Điều trị

Click vào ảnh để xem 4 hình ảnh minh họa
Những thông tin được cung cấp không thể thay thế cho lời khuyên của các chuyên viên y tế. Hãy luôn tham khảo ý kiến bác sĩ.
Những kỹ thuật y tế nào dùng để chẩn đoán nhiễm Babesia (nhiễm trùng do Babesia)?
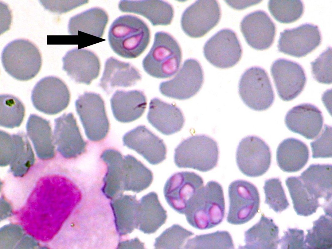
Bác sĩ sẽ chẩn đoán sơ bộ dựa trên triệu chứng và khám lâm sàng. Nếu nghi ngờ bạn bị nhiễm Babesia, bác sĩ tiến hành lấy mẫu máu và quan sát dưới kính hiển vi để tìm ký sinh trùng Babesia trong các tế bào máu.
Những phương pháp nào dùng để điều trị nhiễm Babesia (nhiễm trùng do Babesia)?
Phương pháp chính để điều trị nhiễm Babesia là dùng thuốc kháng sinh. Paracetamol hoặc thuốc chống viêm không chứa steroid (NSAIDs) có thể giúp giảm đau nếu bạn có triệu chứng đau nhức cơ.
Phòng ngừa
Nhiễm Babesia có thể được kiểm soát nếu bạn lưu ý vài điều sau:
- Đi khám càng sớm càng tốt và không tự ý uống thuốc hạ sốt ở nhà;
- Nghe theo hướng dẫn của bác sĩ và báo ngay cho bác sĩ nếu bạn xuất hiện thêm triệu chứng bất thường mới.
- Dùng thuốc chống côn trùng;
- Mặc áo quần dài, mang vớ;
- Mang giày bít chân;
- Luôn phủi quần áo và kiểm tra xem có bọ ve trên cơ thể hay không;
- Nếu phát hiện bọ ve đậu trên người, bạn hãy dùng nhíp hoặc một miếng gạc nhỏ để phủi chúng ra một cách nhẹ nhàng. Không được ép hay nghiền bọ ve khi nó còn bám trên da.