Tổng quan
Hội chứng XYY là gì?
Hội chứng XYY là hội chứng ảnh hưởng đến nam giới. Bình thường, nam giới có một nhiễm sắc thể X và một nhiễm sắc thể Y, nhưng trong trường hợp Hội chứng XYY thì người này có thêm một nhiễm sắc thể Y phụ. Đối với một số nam giới mắc hội chứng này, các dấu hiệu và triệu chứng hầu như không đáng kể. Đối với những người khác, các dấu hiệu và triệu chứng có thể bao gồm khiếm khuyết về học tập, chậm phát âm, trương lực cơ thấp (nhược cơ) và cao hơn mong đợi.
Mức độ phổ biến của hội chứng XYY
Hội chứng XYY là rối loạn nhiễm sắc thể hiếm gặp xảy ra ngay khi mới sinh, chỉ ảnh hưởng đến nam giới. Bệnh ước tính xảy ra cho khoảng 1 trong 1.000 ca sinh sống. Hãy thảo luận với bác sĩ để biết thêm thông tin.
Triệu chứng
Những dấu hiệu và triệu chứng của hội chứng XYY là gì?
Các dấu hiệu và triệu chứng của hội chứng XYY có thể dao động từ mức độ nhẹ đến nghiêm trọng. Người ta cho rằng một số nam giới mắc hội chứng XYY có thể không bao giờ được chẩn đoán vì các dấu hiệu và triệu chứng không đáng chú ý. Đối với một số nam giới khác, các dấu hiệu và triệu chứng như trương lực cơ thấp (nhược cơ) và / hoặc chậm phát âm có thể bắt đầu trong giai đoạn cuối thời kỳ nhũ Nhi hoặc lúc còn nhỏ.
Một số bé trai bị hội chứng XYY có thể gặp khó khăn trong một số môn học nhất định ở trường như đọc và viết. Tuy nhiên, các bé trai bị hội chứng này thường không có khuyết tật trí tuệ.
Các dấu hiệu và triệu chứng khác của hội chứng XYY có thể bao gồm bệnh suyễn, các vấn đề về răng và mụn trứng cá. Các bé trai mắc hội chứng này thường không có các đặc điểm thể chất khác biệt với hầu hết mọi người, nhưng chúng có thể cao hơn mong đợi. Những bé trai này không có sự khác biệt về biểu hiện của cơ quan sinh dục (bộ phận sinh dục).
Một số nam giới mắc hội chứng XYY có những khác biệt về hành vi như rối loạn phổ Tự kỷ (dạng nhẹ hơn) hoặc rối loạn tăng động giảm chú ý (ADHD). Bé trai bị hội chứng XYY cũng có nguy cơ cao bị rối loạn lo lắng hoặc tâm trạng.
Hầu hết các bé trai bị hội chứng XYY trải qua quá trình phát triển giới tính bình thường và khả năng sinh sản bình thường. Tuy nhiên, một số bé trai bị hội chứng này có thể bị suy tinh hoàn (khi tinh hoàn không thể tạo ra tinh trùng hoặc testosterone), điều này có thể dẫn đến các vấn đề về khả năng sinh sản.
Bạn có thể gặp các triệu chứng khác không được đề cập. Nếu bạn có bất kỳ thắc mắc nào về các dấu hiệu bệnh, hãy tham khảo ý kiến bác sĩ.
Khi nào bạn cần gặp bác sĩ?
Nếu bạn và người thân của bạn có bất kỳ dấu hiệu hoặc triệu chứng nêu trên hoặc có bất kỳ câu hỏi nào, xin vui lòng tham khảo ý kiến bác sĩ. Cơ địa mỗi người là khác nhau, vì vậy hãy hỏi ý kiến bác sĩ để lựa chọn được phương án thích hợp nhất.
Nguyên nhân
Nguyên nhân nào gây ra hội chứng XYY?
Nguyên nhân chính gây ra hội chứng XYY được cho là một lỗi trong phân chia tế bào tinh trùng tại thời điểm thụ thai. Lý do tại sao các lỗi này xảy ra vẫn chưa được biết đến. Những lỗi này có trong kết quả phân chia tế bào ở trẻ có 47 nhiễm sắc thể thay vì 46 nhiễm sắc thể như bình thường với một nhiễm sắc thể Y phụ, dẫn đến sự phát triển của hội chứng XYY.
Nguy cơ mắc phải
Những yếu tố nào làm tăng nguy cơ mắc hội chứng XYY?
Hội chứng XYY thường không do di truyền. Thay vào đó, bệnh thường gây ra bởi một sự kiện ngẫu nhiên xảy ra trong quá trình hình thành tế bào tinh trùng trước khi thụ thai (khi tinh trùng thụ tinh với trứng). Vui lòng tham khảo ý kiến bác sĩ để biết thêm thông tin.
Triệu chứng
Chẩn đoán
Điều trị

Click vào ảnh để xem 4 hình ảnh minh họa
Những thông tin được cung cấp không thể thay thế cho lời khuyên của các chuyên viên y tế. Hãy luôn tham khảo ý kiến bác sĩ.
Những kỹ thuật y tế nào dùng để chẩn đoán hội chứng XYY?
Hội chứng XYY có thể bị nghi ngờ khi bác sĩ quan sát thấy các dấu hiệu và triệu chứng có thể liên quan đến hội chứng như trương lực cơ yếu (nhược cơ), chậm phát âm hoặc các vấn đề học tập ở trường. Sau đó, bác sĩ có thể yêu cầu xét nghiệm di truyền để xem có là lời giải cho các dấu hiệu và triệu chứng này hay không. Các xét nghiệm có thể được yêu cầu bao gồm:
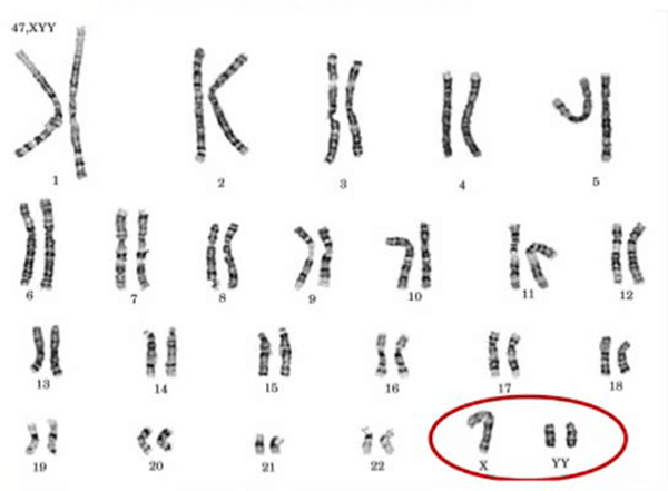
Karyotype: một xét nghiệm được sử dụng để kiểm tra tất cả các nhiễm sắc thể trong một tế bào
Danh sách nhiễm sắc thể: một thử nghiệm tìm kiếm nhiễm sắc thể dư thừa hoặc các mảnh nhiễm sắc thể
Trong một số trường hợp, hội chứng XYY có thể bị nghi ngờ dựa trên kiểm tra sàng lọc định kỳ. Chẩn đoán có thể được xác nhận bằng các xét nghiệm trước khi sinh như chọc màng ối hoặc lấy mẫu gai màng đệm (CVS).
Những phương pháp nào dùng để điều trị hội chứng XYY?
Các dấu hiệu và triệu chứng của hội chứng XYY có thể được quản lý với nhiều liệu pháp khác nhau. Liệu pháp nghề nghiệp có thể được khuyến cáo cho trẻ nhũ nhi và bé trai có trương lực cơ yếu (nhược cơ), và liệu pháp ngôn ngữ có thể được khuyến cáo cho các bé trai chậm phát âm. Các bé trai bị hội chứng XYY có thể được học ở trường đặc biệt hoặc có thêm sự trợ giúp trong một số lớp học.
Các lựa chọn xử lý khác cho bé trai có hội chứng XYY có thể bao gồm liệu pháp hành vi hoặc thuốc cho những bé trai bị rối loạn tăng động giảm chú ý (ADHD) hoặc các vấn đề hành vi. Nếu có biểu hiện rối loạn phổ tự kỷ, trẻ nên áp dụng liệu pháp phân tích hành vi ứng dụng (ABA). Trong một số trường hợp, bác sĩ có thể đề nghị liệu pháp hormone.