Tổng quan
Subdural Hematoma hay Máu tụ dưới màng cứng là bệnh gì?
Bộ Não được bao quanh bởi ba lớp lót bảo vệ, lớp ngoài cùng là màng cứng. Chấn thương đầu có thể gây chảy máu ở vị trí giữa các màng cứng và bộ não. Chảy máu thường xảy ra từ vị trí tĩnh mạch bị thương trong màng cứng, gây áp lực lên não dẫn đến tổn thương não. Chảy máu có thể được nhận ra ngay lập tức nếu có tụ máu cấp tính dưới màng cứng, hoặc nhiều tuần sau Chấn thương ban đầu với tụ máu mạn tính dưới màng cứng. Các triệu chứng có thể khác nhau, như tê liệt hoàn toàn, hôn mê hoặc thay đổi nhẹ trong hành vi. Bệnh thường xảy ra ở độ tuổi 50-70 và bất kỳ rối loạn nào ngăn chặn sự đông máu bình thường đều làm tăng nguy cơ mắc bệnh này.
Triệu chứng
Chấn thương đầu, nhức đầu, mất ý thức sau chấn thương đầu, suy nhược, tê liệt, không thể nói, rối loạn ngôn ngữ, buồn nôn và ói mửa, hôn mê, co giật, rối loạn, thay đổi hành vi.
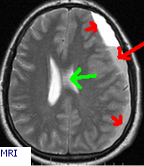
Chẩn đoán
Hỏi bệnh sử và khám thực thể.
Các xét nghiệm được thực hiện để xác định tình trạng chảy máu và nguyên nhân gây chảy máu sẽ được thực hiện.
Chụp cắt lớp vi tính (CT Scan) đầu là xét nghiệm hình ảnh phổ biến nhất.
Xét nghiệm công thức máu toàn bộ (CBC), bảng chuyển hóa toàn diện (CMP), chụp cộng hưởng từ (MRI).
Xét nghiệm đo thời gian Prothrombin (PT), đo thời gian Thromboplastin từng phần (PTT).
Điều trị
Bệnh nhân cần được cấp cứu.
Điều trị phụ thuộc vào mức độ chảy máu, vị trí của vết thương, thời gian chảy máu và các vấn đề y khoa khác của bệnh nhân.
Điều trị bao gồm: Phẫu thuật, thuốc lợi tiểu giúp giảm sưng, ngăn chặn hiện tượng chảy máu và các thuốc chống động kinh.
Triệu chứng
Chẩn đoán
Điều trị

Click vào ảnh để xem 5 hình ảnh minh họa