Tổng quan
Mòn răng cơ học và mòn răng hóa học là hai loại tổn thương răng, trong đó phần mô răng bao bọc phía ngoài, tức men răng, bị bào mòn. Đôi khi nó cũng tổn thương mô răng sâu hơn. Mòn răng cơ học gây ra bởi sự cọ xát răng. Chải răng quá mạnh là nguyên nhân phổ biến gây mòn răng cơ học. Dùng tăm xỉa răng không đúng cách cũng gây nên hiện tượng này. Mòn răng hóa học do những chất hóa học, điển hình là axit gây nên. Thông thường axit có trong thuốc, các loại thức ăn, đồ uống chứa nhiều vitamin C, chứng trào ngược dịch vị dạ dày cũng có thể gây mòn răng.
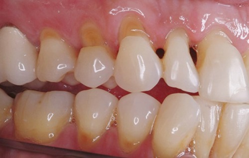
Triệu chứng
Xuất hiện những rãnh khuyết hình chữ V ở 1/3 cổ răng, gần đường viền nướu, nó cũng có thế xảy ra với mặt nhai của răng hoặc giữa các răng.
Tăng sự nhạy cảm của răng với thức ăn, đồ uống nóng hoặc lạnh.
Nghiêm trọng hơn, ngà răng bên trong men răng có thể bị lộ ra.
Chẩn đoán
Hỏi bệnh sử và khám thực thể.
Điều trị
Điều trị mòn răng tùy thuộc vào tình trạng tổn thương mô răng. Nếu tổn thương mòn răng sâu vào bên trong, có thể trám. Nếu là mòn nông có thể không cần điều trị. Đối với những răng nhạy cảm, nha sĩ có thể khuyên bạn nên dùng kem fluor và nước súc miệng ở nhà. Đối với những răng mòn sâu có thể cần điều trị tủy hoặc nhổ bỏ. Nếu nguyên nhân mòn răng là do thuốc đang sử dụng, bạn có thể được bác sĩ đa khoa hay bác sĩ gia đình tư vấn. Tuy nhiên, nha sĩ sẽ không điều trị phục hình khi nguyên nhân mòn răng vẫn còn tồn tại mà chỉ giúp hạn chế sự mòn răng.
Nguyên nhân
Mòn răng cơ học và mòn răng hóa học là hai loại tổn thương, trong đó phần mô răng bao bọc phía ngoài, tức men răng, bị bào mòn. Đôi khi nó cũng tổn thương mô răng sâu hơn.
Mòn răng cơ học gây ra bởi sự cọ xát răng. Chải răng quá mạnh là nguyên nhân phổ biến gây nên mòn răng cơ học. Dùng tăm xỉa răng không đúng cách cũng gây nên hiện tượng này.
Mòn răng hóa học do những chất hóa học, điển hình là axit gây nên. Thông thường axit có trong nước ép cam, chanh, nước khoáng, nước ngọt có ga hoặc các loại thức ăn khác.
Chứng trào ngược dịch vị dạ dày lên miệng cũng có thể gây nên sự mòn răng. Ngay cả sự tiếp xúc thường xuyên với clo và các hoá chất khác trong bể bơi cũng có thể dẫn đến hiện tượng này.
Ngoài ra, bất cứ loại thuốc nào có pH axit như viên vitamin C nhai, viên Aspirin nhai cũng có thể gây mòn răng khi tiếp xúc thường xuyên với bề mặt răng.
Triệu chứng
Chẩn đoán
Điều trị

Click vào ảnh để xem 5 hình ảnh minh họa
Đánh răng ít nhất 02 lần mỗi ngày, không chải răng quá mạnh.
Dùng bàn chải mềm và kem đánh răng có chứa fluor.
Sau khi đánh răng, nhổ phần còn lại của kem đánh răng và không cần phải súc miệng. Nếu muốn súc miệng, nên bôi một lượng nhỏ kem đánh răng lên răng, tác dụng của fluor sẽ hiệu quả trên răng.
Ngay sau khi tiếp xúc với thức ăn, nước uống có chứa axit, nên súc miệng bằng nước, sữa hoặc nước súc miệng có chứa fluor.
Uống nhiều nước trong ngày, đặc biệt là giữa các bữa ăn.
Tránh hoặc giảm thiểu việc ăn uống có chứa axit. Hạn chế thức uống có chứa axit trong bữa ăn.
Nên uống sữa không đường và không hương vị thay cho các thức uống có chứa axit.
Uống những thức uống có chứa axit bằng ống hút. Đặt ống hút vào sau các răng trước, khoảng giữa lưỡi.
Trì hoãn việc đánh răng ít nhất 30 phút sau khi tiếp xúc với axit để nước bọt giúp làm trung hòa men răng.
Nhai kẹo cao su để tăng tiết nước bọt.
Sử dụng chỉ nha khoa và tăm xỉa răng đúng cách.
Uống vitamin C với nước thay vì nhai chúng.
Nha sĩ có thể kê toa thuốc bao gồm các loại thuốc có chứa fluor, như kem fluor để bôi lên răng.
Phòng ngừa
Do nghiến răng.
Do nhai không đúng cách.
Do chải răng quá mức, chải răng không đúng cách…
Do dịch vị xuất hiện nhiều trong khoang miệng, làm môi trường pH trong miệng luôn có tính axít.
Do ăn trái cây có vị chua gây mòn răng ở mặt ngoài răng cửa trên.
Do công việc phải thường xuyên tiếp xúc với hơi và bụi nước có tính axít, các răng cửa thường bị mòn.
Do một số loại nước: Coca cola, nước cam và nước khoáng là những loại nước uống có tính axít (pH thấp) làm gia tăng độ mòn của răng…