Tổng quan
Simple hepatic cyst, Nang gan đơn thuần hay Nang gan là bệnh gì?
Nang gan hay những tổn thương dạng nang ở gan là một nhóm những rối loạn khá phức tạp, tùy thuộc vào nguyên nhân, mức độ phổ biến và những đặc tính lâm sàng. Hầu hết các nang gan đều được phát hiện một cách tình cờ qua những Chẩn đoán hình ảnh và thường là lành tính.
Theo phân loại nang gan, thường gặp nhất là nang gan đơn độc và bệnh đa nang (thường có nhiều nang ở gan và thận). Ít gặp hơn là nang gan do ký sinh trùng (do Echinococcus), U nang tuyến, nang đường mật,... và hiếm gặp hơn là các tổn thương ung thư dạng nang như ung thư biểu mô tế bào vảy, ung thư biểu mô nang tuyến, ung thư di căn,... và các tổn thương giả nang như xuất huyết trong gan do chấn thương, nhồi máu gan,...
Triệu chứng
Đa số các nang gan không có triệu chứng và được phát hiện tình cờ. Triệu chứng có thể là cảm giác khó chịu vùng bụng, đau và buồn nôn.
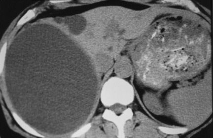
Chẩn đoán
Hỏi bệnh sử và khám thực thể.
Xét nghiệm hình ảnh: chụp cắt lớp vi tính (CT Scan), chụp cộng hưởng từ (MRI), siêu âm.
Xét nghiệm máu tìm kháng thể Immunodiagnostic kháng Echinococcus.
Điều trị
Phần lớn các nang gan không cần điều trị, chỉ cần theo dõi định kỳ. Trường hợp nang gan lớn, có biến chứng bội nhiễm, chảy máu, áp-xe, dọa vỡ thì can thiệp điều trị là cần thiết. Có nhiều phương pháp điều trị nang gan, bao gồm phẫu thuật mở, phẫu thuật Nội soi cắt bỏ nang. Phương pháp điều trị phổ biến nhất là chọc hút phối hợp tiêm xơ trực tiếp.
Nguyên nhân
Nang gan hay những tổn thương dạng nang ở gan là một nhóm những rối loạn khá phức tạp, tùy thuộc vào nguyên nhân, mức độ phổ biến và những đặc tính lâm sàng. Hầu hết các nang gan đều được phát hiện một cách tình cờ qua những chẩn đoán hình ảnh và thường là lành tính.
Theo phân loại nang gan, thường gặp nhất là nang gan đơn độc và bệnh đa nang (thường có nhiều nang ở gan và thận). Ít gặp hơn là nang gan do ký sinh trùng (do Echinococcus), u nang tuyến, nang đường mật,... và hiếm gặp hơn là các tổn thương ung thư dạng nang như ung thư biểu mô tế bào vảy, ung thư biểu mô nang tuyến, ung thư di căn,... và các tổn thương giả nang như xuất huyết trong gan do chấn thương, nhồi máu gan,...
Triệu chứng
Chẩn đoán
Điều trị

Click vào ảnh để xem 5 hình ảnh minh họa
Phần lớn các nang gan không cần điều trị can thiệp, chỉ cần theo dõi định kỳ. Trong một số trường hợp nang gan lớn, có biến chứng bội nhiễm, chảy máu, áp-xe hóa, dọa vỡ thì can thiệp điều trị là cần thiết.
Có nhiều phương pháp điều trị nang gan có triệu chứng, bao gồm phẫu thuật mở, phẫu thuật nội soi cắt bỏ nang. Ngày nay, phương pháp điều trị phổ biến nhất là chọc hút phối hợp tiêm xơ trực tiếp. Đây là phương pháp điều trị có hiệu quả cao, an toàn do tính xâm nhập tối thiểu, không cần gây mê, ít biến chứng.
Phòng ngừa
Cho đến nay, ngoại trừ nang gan do ký sinh trùng gây ra, chưa xác định rõ nguyên nhân gây ra các loại nang gan khác.