Tổng quan
Nang giả là bệnh gì?
Nang giả là một tổn thương dạng nang , giống như nang nhưng thiếu các tế bào biểu mô hoặc nội mô. Một nang giả tụy cấp tính được cấu tạo bởi dịch tụy có mô xơ hoặc hạt bao bọc. Nang giả có thể hình thành ở một số nơi, bao gồm cả tuyến tụy, bụng, tuyến thượng thận và mắt. Triệu chứng và biến chứng gây ra bởi Nang giả thường đòi hỏi phải phẫu thuật. Bác sĩ sẽ chụp cắt lớp vi tính để thu được hình ảnh ban đầu của nang và siêu âm qua ngã nội soi để phân biệt nang thật và nang giả. Thoát lưu qua Nội soi là phương pháp phổ biến và có hiệu quả trong việc điều trị nang giả. Bạn đừng nhầm lẫn với “hình thái nang giả” (chủ yếu là trên hình ảnh X-quang) của các tình trạng tổn thương khác như nang xương Stafne và nang xương phình mạch của hàm.
Triệu chứng thường gặp
Những dấu hiệu và triệu chứng của bệnh nang giả là gì?
Các triệu chứng thường xuất hiện ở các nang giả lớn. Một bệnh nhân bị nang giả tụy có thể gặp phải tình trạng đau bụng, buồn nôn và nôn, cảm giác đầy bụng và khó ăn hoặc khó tiêu, bị nhiễm trùng, thoát vị hoặc tắc ruột. Nang giả bị nhiễm trùng hiếm khi gây ra vàng da hoặc nhiễm trùng huyết.
Nang giả trung thất, một dạng hiếm của bệnh nang giả tụy trong bụng, có thể gây khó nuốt, khó thở, tắc nghẽn đường thở hoặc chèn ép tim. Nang giả thượng thận có thể gây ra đau bụng, cùng với các triệu chứng tiêu hóa khác như buồn nôn, nôn mửa và táo bón.
Bạn có thể gặp các triệu chứng khác không được đề cập. Nếu bạn có bất kỳ thắc mắc nào về các dấu hiệu bệnh, hãy tham khảo ý kiến bác sĩ.
Khi nào bạn cần gặp bác sĩ?
Chẩn đoán và điều trị sớm có thể ngăn ngừa nang giả diễn tiến nặng hơn và tránh các tình huống phải cấp cứu, vì vậy bạn hãy gặp bác sĩ càng sớm càng tốt để tránh tình trạng này.
Nếu bạn có bất kỳ dấu hiệu hoặc triệu chứng nào nêu trên hoặc có bất kỳ câu hỏi nào, xin vui lòng tham khảo ý kiến bác sĩ. Cơ địa mỗi người là khác nhau. Vì vậy hãy hỏi ý kiến bác sĩ để lựa chọn được phương án thích hợp nhất.
Nguyên nhân
Nguyên nhân nào gây ra bệnh nang giả?
Nguyên nhân gây ra hầu hết các nang giả tụy cũng như các loại nang khác là không rõ. Một số nang có liên quan đến các bệnh hiếm gặp như bệnh von Hippel-Lindau, một rối loạn di truyền có thể ảnh hưởng đến tuyến tụy và các cơ quan khác. Nang giả thường xuất hiện sau một cơn đau, lúc này, men tiêu hoá hoạt động sớm và kích thích tuyến tụy (viêm tụy). Nang giả cũng có thể do chấn thương bụng chẳng hạn như từ một tai nạn xe hơi.
Nguy cơ mắc phải
Những ai thường mắc phải bệnh nang giả?
Nang giả tụy thường được gây ra bởi viêm tụy cấp hoặc mạn tính, chấn thương vùng bụng (trẻ em gặp phải tình trạng này nhiều hơn). Nang giả xuất hiện thường xuyên hơn ở những bệnh nhân viêm tụy mạn tính so với bệnh nhân viêm tụy cấp tính. Ngoài ra, nếu viêm tụy là do rượu gây ra thì tỷ lệ mắc bệnh nang giả cao hơn, khoảng 59% -78% trong tất cả trường hợp mắc bệnh. Thực tế, nang giả tụy chiếm tỷ lệ rất nhỏ, khoảng 1,6% -4,5%hoặc 0,5-1 trên 100.000 người lớn mắc phải trong một năm.
Các loại nang thượng thận bao gồm nang ký sinh trùng, nang biểu mô, nang nội mạc và nang giả. 56% của trường hợp nang thượng thận là nang giả và chỉ có 7% số nang giả là ác tính hoặc có khả năng diễn tiến thành ác tính.
Bạn có thể kiểm soát bệnh này bằng cách giảm thiểu các yếu tố nguy cơ. Hãy tham khảo bác sĩ để biết thêm thông tin chi tiết.
Những yếu tố nào làm tăng nguy cơ mắc bệnh nang giả?
Uống rượu nhiều và bị sỏi mật là yếu tố nguy cơ gây ra viêm tụy, từ đó dẫn đến nang tụy. Bên cạnh đó, chấn thương bụng cũng là một yếu tố nguy cơ dẫn đến nang giả.
Triệu chứng
Chẩn đoán
Tùy vào tình trạng mà có các phương pháp chẩn đoán khác nhau như sau:
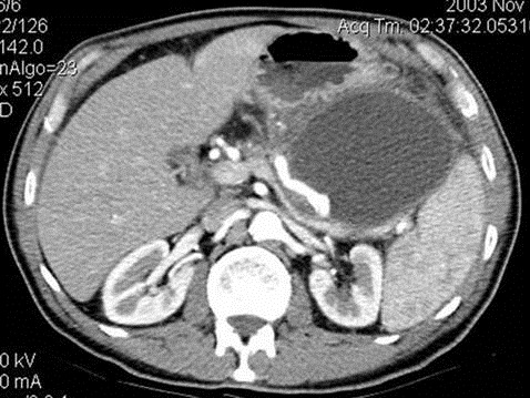
Nang giả tụy. Phương pháp phổ biến và hiệu quả nhất để chẩn đoán nang giả tụy là chụp cắt lớp vi tính. Nang giả thường xuất hiện dưới dạng một khối chứa đầy dịch
Điều trị

Click vào ảnh để xem 4 hình ảnh minh họa
Những thông tin được cung cấp không thể thay thế cho lời khuyên của các chuyên viên y tế. Hãy luôn tham khảo ý kiến bác sĩ.
Những kỹ thuật y tế nào dùng để chẩn đoán bệnh nang giả?
Tùy vào tình trạng mà có các phương pháp chẩn đoán khác nhau như sau:
Nang giả tụy. Phương pháp phổ biến và hiệu quả nhất để chẩn đoán nang giả tụy là chụp cắt lớp vi tính. Nang giả thường xuất hiện dưới dạng một khối chứa đầy dịch. Trong một số trường hợp, bác sĩ phải sử dụng các phương pháp khác để phân biệt nang thật và nang giả, thường là bằng siêu âm qua ngã nội soi hoặc chọc hút bằng kim nhỏ. Siêu âm bụng có thể xác định được nang giả, có dạng hình tròn và có một lớp bao bọc bên ngoài. Nang giả có hình dạng phức tạp hơn khi còn nhỏ, khi xuất huyết hoặc có biến chứng do nhiễm trùng. Chụp cắt lớp vi tính chính xác hơn và cung cấp chi tiết hơn các nang giả cũng như môi trường xung quanh nang giả. Tuy nhiên, điểm yếu của phương pháp này là khó phân biệt được nang thật và nang giả. Hơn nữa, chất cản quang tĩnh mạch đưa vào lúc chụp cắt lớp vi tính có thể làm trầm trọng thêm tình trạng rối loạn chức năng thận. Bên cạnh đó, chụp cộng hưởng từ và chụp đường mật cộng hưởng từ cũng là phương pháp hiệu quả để phát hiện nang giả nhưng không được sử dụng thường xuyên vì chụp cắt lớp vi tính đã cung cấp hầu hết các thông tin cần thiết. Tuy nhiên, chụp cộng hưởng từ và chụp cộng hưởng từ đường mật lại cung cấp độ tương phản tốt hơn, giúp thấy rõ đặc tính của chất dịch, các mảnh vụn và phát hiện tình trạng chảy máu. Ngoài ra, bác sĩ thường sử dụng nội soi qua siêu âm như là một xét nghiệm thứ cấp để đánh giá thêm các nang được tìm thấy trong các xét nghiệm khác và muốn xác định xem nang có phải là giả hay không;
Nang giả thượng thận. Nang giả thượng thận được phát hiện thông qua nhiều cách giống như nang giả tụy bằng cách chụp cắt lớp vi tính. Ngoài ra, thủ thuật cắt bỏ tuyến thượng thận được sử dụng để chẩn đoán các tổn thương và đôi khi làm giảm đau.
Những phương pháp nào dùng để điều trị bệnh nang giả?
Không phải tất cả các nang đều cần điều trị. Nhiều nang giả tụy tự cải thiện và biến mất. Nếu nang nhỏ và không gây ra triệu chứng thì bạn chỉ cần theo dõi cẩn thận bằng quy trình chụp cắt lớp vi tính. Nang giả vẫn tồn tại trong nhiều tháng hoặc gây ra triệu chứng thì mới cần điều trị, có thể thông qua các phương pháp sau:
Sử dụng dịch truyền tĩnh mạch, thuốc giảm đau để khiến các nang nhỏ tự khỏi;
Tiến hành phẫu thuật khi nang giả gây các triệu chứng hoặc biến chứng. Có ba phương pháp chính để thoát lưu nang giả tụy: thoát lưu qua nội soi, thoát lưu bằng catheter qua da hoặc phẫu thuật mở. Thoát lưu qua nội soi phổ biến hơn các phương pháp khác do tính chất ít xâm lấn và có tỷ lệ thành công cao hơn.
Phòng ngừa
Những thói quen sinh hoạt nào giúp bạn hạn chế diễn tiến của bệnh nang giả?
Nang giả liên quan mật thiết đến các tình trạng viêm tụy hoặc uống rượu nên bạn hãy tránh uống quá nhiều rượu để phòng bệnh.