Tổng quan
Pneumothorax hay Tràn khí màng phổi là bệnh gì?
Tràn khí màng phổi là sự xuất hiện khí giữa lá thành và lá tạng của màng phổi làm xẹp phổi. Đây là một tình trạng rối loạn Hô hấp khá phổ biến, có thể xảy ra trong nhiều bệnh cảnh lâm sàng khác nhau và gặp ở bất cứ lứa tuổi nào. Tràn khí màng phổi áp lực xảy ra khi bệnh nặng, sự tích tụ của không khí có thể gây sức ép lên các mạch máu và giảm lượng máu được đưa về tim. Nếu không được điều trị tràn khí màng phổi có thể dẫn đến tử vong. Nguyên nhân của căn bệnh này có thể là do chấn thương, viêm phế nang do virus hay khi Ho ở bệnh nhân bị bệnh phổi như khí phế thũng...
Triệu chứng
Triệu chứng Pneumothorax hay Tràn khí màng phổi là Cơn đau ngực đột ngột dữ dội như dao đâm trở nên trầm trọng hơn khi thở sâu hoặc ho, khó thở, mệt mỏi, nhịp tim nhanh, da tím tái, huyết áp thấp.
Chẩn đoán
Hỏi bệnh sử và khám thực thể.
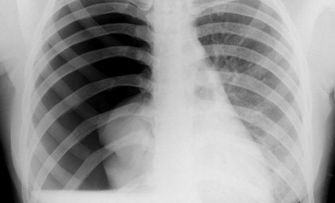
Chụp X-quang có thể giúp xác định chẩn đoán.
Chụp cắt lớp vi tính có thể giúp xác định được thương tổn phổi ở dưới vùng tràn khí và giúp xác định nguyên nhân tràn khí.
Xét nghiệm máu toàn bộ (CBC), Xét nghiệm bảng chuyển hóa toàn diện (CMP).
Điều trị
Điều trị Pneumothorax hay Tràn khí màng phổi bao gồm: thuốc giảm đau, thuốc ức chế ho, kháng sinh, thở ôxy qua sonde mũi nếu có suy hô hấp, hút khí màng phổi bằng bơm tiêm.
Nguyên nhân
1. Định nghĩa:
Tràn khí màng phổi được Laennec mô tả từ năm 1819, đến 1888 Galliard mô tả rõ ràng hơn. Năm 1937, Sattler soi lồng ngực thấy bóng khí phế bị vỡ gây tràn khí màng phổi và sau đó người ta thấy các bóng khí, kén khí phổi vỡ vào màng phổi. Tràn khí màng phổi là tình trạng khí lọt vào giữa 2 lá màng phổi làm xẹp phổi, có tràn khí màng phổi hoàn toàn và không hoàn toàn.
2. Phân loại:
Tràn khí màng phổi nguyên phát
Tràn khí màng phổi thứ phát
Tràn khí màng phổi tự phát thường gặp ở người trẻ từ 20 - 30 tuổi, tỷ lệ nam/nữ là 4/1. Theo Salmeron (1995) thì tỷ lệ hàng năm của tràn khí màng phổi là 9/100.000 dân, tái phát >28%.
Khoảng 20% tràn khí màng phổi là biến chứng của các bệnh nhiễm trùng phổi.
Khoảng 40% tràn khí màng phổi do lao và 40% không rõ nguyên nhân.
25% tràn khí màng phổi tái phát sau 2 năm, 50% tái phát sau 6 năm.
Thường tràn khí màng phổi gặp trong cơn hen nặng.
Triệu chứng
Chẩn đoán
Điều trị

Click vào ảnh để xem 5 hình ảnh minh họa
Điều trị triệt để những bệnh lý về phổi:
Nên có chế độ tập luyện, sinh hoạt, ăn uống điều độ giúp cơ thể khỏe mạnh, tránh những bệnh lý về phổi.
Với những bệnh nhân đã từng bị tràn khí màng phổi thì nguy cơ bị tái phát là rất cao, vì vậy bệnh nhân cần phải chú trọng hơn trong chế độ sinh hoạt, tránh những trường hợp gắng sức. Đặc biệt là những gắng sức đột ngột, đó là nguy cơ dễ gây ra tràn khí màng phổi.
Ngoài ra, cũng cần tránh thời tiết lạnh, thay đổi thời tiết đột ngột làm cho cơ thể không thích nghi kịp, dễ dẫn tới viêm nhiễm ở phổi. Những cơn ho mạnh cũng là yếu tố thuận lợi gây ra tràn khí màng phổi.
Tránh môi trường ô nhiễm bụi bặm.
Ngừng hoàn toàn việc hút thuốc lá vì đó là điều kiện dễ dẫn tới tràn khí màng phổi, kể cả những người khỏe mạnh hay người có tiền sử bị bệnh tràn khí màng phổi.
Phòng ngừa
1. Nguyên nhân:
Tràn khí màng phổi nguyên phát: Thường xảy ra ở người có tiền sử hút thuốc lá, gắng sức, ho mạnh, stress... Gặp ở người trẻ và tỷ lệ nam/nữ là 4/1.
Vỡ bóng khí phế
Viêm phế nang do virus
Không rõ nguyên nhân
Tràn khí màng phổi thứ phát
Lao phổi.
Nhiễm khuẩn phế quản - phổi (20%).
Bệnh phổi tắc nghẽn mãn tính, nhất là khí phế thũng.
Trong cơn hen phế quản.
Ung thư phế quản thâm nhập hay di căn màng phổi.
Bệnh phổi kẽ, xơ phổi, bụi phổi Silic, Sarcoidosis.
Các bệnh phổi khác.
Tràn khí màng phổi do chấn thương, thủ thuật thăm dò
Chấn thương thủng lồng ngực, gãy xương sườn làm thủng phổi.
Thủ thuật chọc dò màng phổi, sinh thiết màng phổi, đặt nội khí quản, châm cứu.
Chọc tĩnh mạch dưới đòn.
Dẫn lưu màng phổi.
Vô căn
2. Cơ chế bệnh sinh:
Bình thường, áp lực trong khoang màng phổi là âm (-3 đến -5 cmH20); khi không khí lọt vào màng phổi thì sẽ làm nhu mô phổi co lại, lồng ngực giãn ra nên dung tích sống, dung tích toàn phần và dung tích cặn giảm... Mức độ rối loạn chức năng hô hấp do tràn khí màng phổi phụ thuộc vào mức độ tràn khí (xẹp phổi) và chức năng của phổi trước khi bị tràn khí. Có thể có tràn máu màng phổi sau tràn khí do thương tổn dây chằng giữa 2 màng phổi. Thông thường không khí lọt vào màng phổi khi thở vào và thoát ra khi thở ra, nếu thở ra mà khí không thoát ra được là tràn khí có van, do đó gây nên khó thở tăng dần và đưa đến suy hô hấp trầm trọng, đẩy lệch trung thất.
Tràn khí màng phổi có thể gây nên do vết thương xuyên thành ngực hay qua lá tạng do thủng, vỡ phế nang, vỡ bóng khí, vỡ áp xe phổi... Nếu lỗ rò của màng phổi được bít lại thì tràn khí sẽ tiêu dần. Nếu tràn khí màng phổi xảy ra trên 1 dày dính màng phổi thì sẽ gây tràn khí màng phổi không hoàn toàn.