Tổng quan
Pulmonary fibrosis hay Xơ phổi là bệnh gì?
Pulmonary fibrosis hay Xơ phổi là một bệnh nghiêm trọng gây sẹo tiến triển của mô phổi. Xơ hóa phổi gây trở ngại cho chức năng phổi và gây oxy thấp trong máu. Có nhiều nguyên nhân gây ra sự hình thành Sẹo (xơ hóa) trong phổi bao gồm: phản ứng quá mẫn (một loại nghiêm trọng của phản ứng dị ứng), Sarcoidosis, Wegener Granulomatosis, Lupus, Viêm khớp dạng thấp, viêm nhiễm, tác nhân môi trường (Amiăng, Silica, tiếp xúc với loại khí nhất định), tiếp xúc với bức xạ ion hóa (như xạ trị để điều trị ung thư), và một số thuốc (Nitrofurantoin, Methotrexate). Trường hợp không có nguyên nhân của xơ hóa được xác định gọi là "xơ hóa phổi tự phát".
Triệu chứng
Triệu chứng Pulmonary fibrosis hay Xơ phổi là Đau ngực, Ho khan, khó khăn trong việc tập thể dục, khó thở, mệt mỏi.
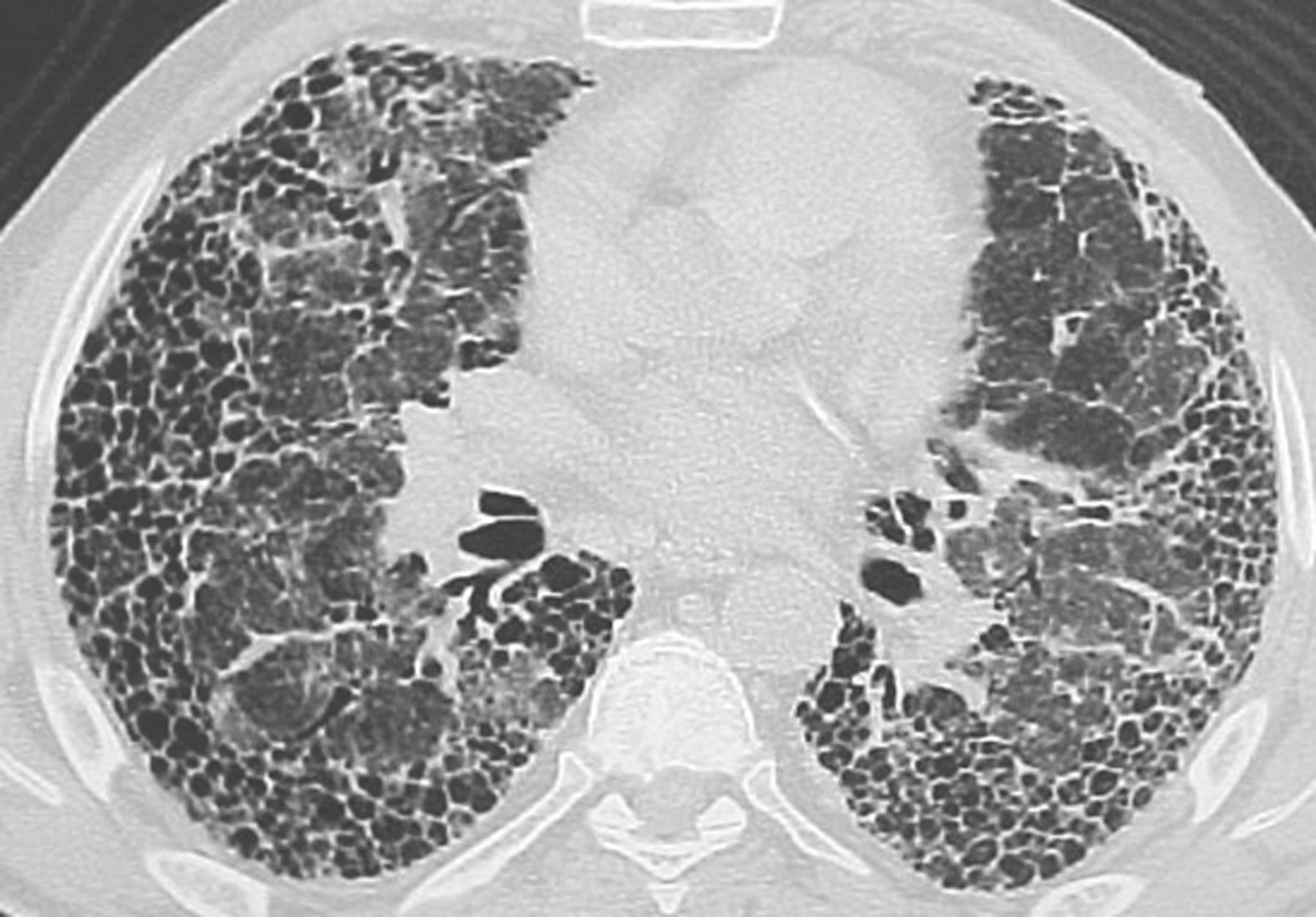
Chẩn đoán
Hỏi bệnh sử và khám thực thể.
Các xét nghiệm sau có thể được thực hiện để giúp thiết lập chẩn đoán: nội soi phế quản sinh thiết phổi, xét nghiệm chức năng phổi, sinh thiết phổi phẫu thuật.
Xét nghiệm máu để chẩn đoán các bệnh: viêm khớp dạng thấp, Lupus hoặc xơ cứng bì.
Điều trị
Điều trị Pulmonary fibrosis hay Xơ phổi là Xét nghiệm máu toàn bộ (CBC), xét nghiệm bảng điều khiển chuyển hoá toàn diện (CMP), chụp cắt lớp (CT Scan), chụp cộng hưởng từ (MRI) và chụp X- quang.
Nguyên nhân
Xơ phổi là một bệnh nghiêm trọng gây sẹo tiến triển của mô phổi. Chứng xơ phổi bắt đầu với chấn thương lặp đi lặp lại ở các mô trong và giữa các túi khí nhỏ (phế nang) trong phổi, cuối cùng dẫn đến sẹo (xơ hóa), làm cho hơi thở khó khăn. Các triệu chứng thông thường nhất là khó thở và ho khan.
Phương pháp điều trị hiện tại của chứng xơ phổi bao gồm thuốc và điều trị để cải thiện chức năng phổi và chất lượng cuộc sống. Có một số phương pháp điều trị mới cho chứng xơ phổi trong các thử nghiệm lâm sàng. Việc cấy ghép phổi có thể là một lựa chọn cho một số người bị xơ phổi.
Triệu chứng
Chẩn đoán
Điều trị

Click vào ảnh để xem 5 hình ảnh minh họa
Hạn chế tiếp xúc với khói bụi, các chất độc hại. Trang bị bảo hộ lao động đầy đủ khi phải làm việc trong môi trường khói bụi, hóa chất, rác thải độc hại.
Ngừng hút thuốc. Nếu bạn có bệnh phổi, điều tốt nhất bạn có thể làm cho mình là ngừng hút thuốc. Nói chuyện với bác sĩ của bạn về các lựa chọn để bỏ thuốc, bao gồm cả các chương trình cai thuốc lá. Không để bị hít phải khói thuốc lá từ những người xung quanh bạn.
Có chế độ dinh dưỡng hợp lý. Chế độ ăn uống giàu Calo là điều cần thiết. Chuyên gia dinh dưỡng có thể giúp bạn xây dựng chế độ ăn uống hợp lý.
Tiêm vắc-xin phòng viêm phổi và cúm hàng năm. Hạn chế tiếp xúc với người bị cúm.
Phòng ngừa
Những yếu tố phổ biến nhất bao gồm:
Lao động và môi trường: Tiếp xúc lâu dài với một số chất độc và các chất ô nhiễm có thể gây hại phổi, trong số đó có bụi Silic và sợi Amiăng. Phơi nhiễm kéo dài với một số chất hữu cơ, bao gồm cả bụi ngũ cốc, mía đường, phân chim và động vật cũng có thể gây xơ hóa.
Bức xạ: Một tỷ lệ nhỏ những người được xạ trị điều trị ung thư phổi hoặc ung thư vú có dấu hiệu tổn thương phổi sau vài tháng hoặc đôi khi là 1 năm sau điều trị ban đầu. Các mức độ nghiêm trọng của tổn thương tùy thuộc vào sự tiếp xúc của phổi với bức xạ, tổng lượng xạ trị, hóa trị liệu và sự hiện diện của bệnh phổi ở dưới.
Thuốc: Nhiều loại thuốc có thể gây hại phổi, đặc biệt là các loại thuốc hóa trị (Methotrexate, Cyclophosphamide); thuốc dùng để điều trị rối loạn nhịp tim và các rối loạn tim mạch khác (Amiodarone, Propranolol); một số thuốc tâm thần và một số thuốc kháng sinh (Nitrofurantoin, Sulfasalazine).
Bệnh trào ngược dạ dày thực quản (GERD): Trào ngược axít dạ dày trở lại thực quản có một vai trò quan trọng trong chứng xơ phổi. Mặc dù những người bị xơ phổi thường xuyên bị trào ngược dạ dày thực quản, họ có thể không có triệu chứng điển hình của trào ngược dạ dày thực quản, chẳng hạn như chứng ợ nóng và ợ hơi.
Các bệnh khác: Nhiễm trùng phổi nghiêm trọng như bệnh lao và viêm phổi có thể gây tổn thương phổi vĩnh viễn. Vì vậy, có thể rối loạn có ảnh hưởng đến các mô trong cơ thể, không chỉ phổi, như bệnh lupus ban đỏ hệ thống, viêm khớp dạng thấp, viêm da cơ, hội chứng Sjogren và Sarcoidosis. Trong trường hợp hiếm hoi, xơ cứng bì liên quan với một dạng đặc biệt nghiêm trọng của chứng xơ hoá phổi.
Xơ hóa phổi tự phát: Khi nguyên nhân không được biết đến, danh mục các chất và bệnh có thể dẫn đến chứng xơ phổi là dài. Mặc dù vậy, trong nhiều trường hợp, nguyên nhân không được tìm thấy. Xơ phổi không rõ nguyên nhân được gọi là xơ hóa phổi tự phát.
Các nhà nghiên cứu có một số lý thuyết về những yếu tố có thể gây ra chứng xơ phổi tự phát, bao gồm virus và phơi nhiễm với khói thuốc lá. Di truyền cũng được cho là một yếu tố, ngay cả ở những người không trực tiếp thừa hưởng căn bệnh này.