Tổng quan
Tụt nướu là bệnh gì?
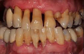
Tụt nướu (teo rút nướu) là tình trạng mà khi nướu bị kéo trở lại từ bề mặt răng, để lộ bề mặt chân răng. Đây là một dạng bệnh (nha chu) về nướu do vệ sinh răng miệng kém và có thể dẫn đến gãy răng. Hiện tại có rất nhiều phương pháp điều trị, tùy thuộc vào mức độ nghiêm trọng của thiệt hại ở nướu. Chẩn đoán và điều trị càng sớm thì càng có kết quả tốt.
Triệu chứng thường gặp
Những dấu hiệu và triệu chứng của bệnh Tụt nướu là gì?
Một số dấu hiệu và triệu chứng thông thường của tụt nướu bao gồm:
Chảy máu sau khi đánh răng hoặc dùng chỉ nha khoa;
Nướu sưng, đỏ;
Hơi thở có mùi hôi;
Đau ở nướu;
Nướu bị thu hẹp lại rõ rệt;
Lộ chân răng;
Răng lung lay.
Khi nào bạn cần phải gặp bác sĩ?
Nếu bạn có bất kỳ dấu hiệu hoặc triệu chứng nêu trên hoặc có bất kỳ câu hỏi nào, xin vui lòng tham khảo ý kiến bác sĩ. Cơ địa mỗi người là khác nhau. Vì vậy hãy hỏi ý kiến bác sĩ để lựa chọn được phương án thích hợp nhất.
Nguyên nhân
Nguyên nhân nào gây ra bệnh tụt nướu?
Một số yếu tố có thể khiến nướu của bạn tụt xuống, bao gồm:
Bệnh nha chu. Đây là những bệnh nhiễm trùng nướu do vi khuẩn phá hủy mô nướu và các men răng hỗ trợ cho răng. Bệnh nướu răng là nguyên nhân chính gây tụt nướu;
Gen. Một số người có thể nhạy cảm hơn với bệnh nướu răng. Trong thực tế, các nghiên cứu cho thấy 30% dân số có thể dễ dàng mắc phải các bệnh về nướu, bất kể họ chăm sóc răng tốt như thế nào;
Đánh răng không đúng cách. Nếu bạn đánh răng bằng bàn chải quá cứng hoặc không đúng cách, các men trên răng có thể bị mất đi và nướu sẽ bị tụt xuống;
Chăm sóc răng miệng không đúng. Đánh răng không đầy đủ, không dùng chỉ nha khoa và sử dụng nước súc miệng kháng khuẩn sẽ gây hình thành các mảng bám trên răng (cao răng), một chất cứng bám vào phần trên và giữa các răng, điều này có thể dẫn đến tụt nướu. Bạn chỉ có thể loại bỏ được cao răng bằng các biện pháp làm sạch răng chuyên nghiệp;
Thay đổi nội tiết. Sự biến động hàm lượng hormone nữ trong suốt cuộc đời của người phụ nữ, chẳng hạn như trong tuổi dậy thì, mang thai và thời kỳ mãn kinh, có thể làm cho nướu nhạy cảm hơn và dễ bị tụt.
Nguy cơ mắc phải
Những ai thường mắc phải bệnh tụt nướu?
Tụt nướu là một vấn đề phổ biến ở người lớn trên 40 tuổi nhưng cũng có thể xảy ra ở tuổi thiếu niên hoặc trẻ em 10 tuổi.
Bạn có thể kiểm soát bệnh này bằng cách giảm thiểu các yếu tố nguy cơ. Hãy tham khảo bác sĩ để biết thêm thông tin chi tiết.
Những yếu tố làm tăng nguy cơ bị mắc bệnh tụt nướu?
Các yếu tố nguy cơ gây ra tình trạng này bao gồm:
Các mảng bám tích tụ (cao răng);
Hút thuốc;
Tiền sử mắc bệnh nướu răng;
Bệnh tiểu đường;
HIV/AIDS;
Một số thuốc gây khô miệng cũng có thể làm tăng nguy cơ tụt nướu răng. Khô miệng có nghĩa là miệng của bạn có ít nước bọt hơn cần thiết. Nếu không có nước bọt đầy đủ, các mô trong miệng có thể dễ bị nhiễm khuẩn và bị thương.
Triệu chứng
Chẩn đoán
Điều trị

Những thông tin được cung cấp không thể thay thế cho lời khuyên của các chuyên viên y tế. Hãy luôn tham khảo ý kiến bác sĩ.
Những kĩ thuật y tế nào được dùng để chẩn đoán bệnh tụt nướu?
Nha sĩ sẽ chẩn đoán tụt nướu và các hình thức khác của bệnh nha chu. Xét nghiệm về thể chất có thể chỉ ra các vấn đề nha chu. Xét nghiệm thăm dò cũng có thể được sử dụng để đo nha chu, đây là một quy trình rất nhanh và không gây đau đớn. Theo Viện Nghiên cứu Quốc Gia về Răng và Sọ, kích thước bình thường của túi nha dao động từ 1-3 mm. Bất cứ điều gì khiến túi nha lớn hơn đều là dấu hiệu của bệnh nướu răng.
Chẩn đoán bệnh tụt nướu có thể được đảm bảo nếu bạn đến gặp bác sĩ nha khoa. Chuyên gia nha khoa có thể đưa ra quy trình điều trị tốt nhất để cứu các mô nướu và răng. Đầu tiên, nếu bác sĩ tìm thấy nhiễm trùng trong nướu răng thì sẽ cho bạn sử dụng thuốc kháng sinh.
Những phương pháp nào dùng để điều trị bệnh tụt nướu?
Tụt nướu dạng nhẹ có thể được điều trị bằng cách làm sạch sâu bên trong các khu vực bị ảnh hưởng. Trong quá trình làm sạch, còn gọi là mở rộng quy mô của răng và chân răng, nha sĩ sẽ cẩn thận loại bỏ mảng bám và cao răng đã hình thành trên răng và bề mặt chân răng dưới nướu và làm mịn vùng rễ tiếp xúc để vi khuẩn khó sinh sôi ở các vùng đó. Nha sĩ cũng có thể đề nghị sử dụng thuốc kháng sinh để loại bỏ vi khuẩn còn sót lại.
Nếu tụt nướu không thể được điều trị bằng phương pháp làm sạch sâu do mất quá nhiều xương và túi nướu, nha sĩ sẽ yêu cầu phẫu thuật răng để sửa chữa những thiệt hại do tụt nướu gây ra.
Các quy trình phẫu thuật sau đây được sử dụng để điều trị tụt nướu:
Giảm độ sâu của túi nha. Trong quy trình này, nha sĩ sẽ gấp, bọc lại các mô nướu bị ảnh hưởng, loại bỏ các vi khuẩn có hại từ túi nha và sau đó vặn chặt các mô nướu ở vị trí trên chân răng, do đó loại bỏ các túi hoặc giảm kích thước của chúng;
Tái tạo răng. Nếu phần xương hỗ trợ răng đã bị phá hủy do chứng tụt nướu, nha sĩ có thể yêu cầu áp dụng một thủ thuật để cải tạo lại phần xương và mô bị mất. Giống như trong việc giảm độ sâu túi nha, nha sĩ sẽ gấp, bọc lại các mô nướu và loại bỏ các vi khuẩn. Một vật liệu tái tạo, chẳng hạn như tấm màng, mô ghép hoặc protein kích thích mô sẽ được đặt lên khu vực bị ảnh hưởng để cơ thể tái tạo lại xương và các mô một cách tự nhiên. Sau khi vật liệu tái tạo được đặt vào vị trí, các mô nướu được đặt cố định ở các chân răng hoặc răng.
Phòng ngừa
Những thói quen sinh hoạt nào giúp bạn hạn chế diễn tiến của bệnh tụt nướu?
Bạn sẽ có thể kiểm soát bệnh này nếu áp dụng các biện pháp sau:
Sử dụng chỉ nha khoa thường xuyên và đánh răng để loại bỏ vi khuẩn, các hạt thức ăn, mảng bám và cao răng;
Gặp nha sĩ theo định kỳ 6 tháng 1 lần để làm sạch răng nhằm ngăn ngừa các loại biến chứng, vì cao răng có thể góp phần gây ra bệnh nướu và tụt nướu. Thậm chí, nếu bạn không gặp bất kỳ triệu chứng gì thì nha sĩ cũng có thể xác định các dấu hiệu sớm của bệnh nướu răng.