Tổng quan
U xương ác tính (ung thư xương tạo xương) là bệnh gì?
U xương ác tính còn được biết đến với tên gọi Ung thư xương tạo xương, là một loại ung thư xương ở trong các tế bào tạo ra xương. Nguyên nhân gây bệnh là do các tế bào tạo ra Khối u ác tính thay vì xương mới. Bất kì xương nào trong cơ thể bạn cũng có nguy cơ mắc u xương ác tính. Tuy nhiên, bệnh thường xuất hiện ở các xương dài ở cánh tay và chân hoặc ở những vùng gần đầu gối hay vai.
Các vùng xương chậu, hàm hoặc xương sườn có tỉ lệ mắc khối u ác tính thấp. Bệnh cũng rất hiếm khi xuất hiện trên xương ngón tay hay ngón chân.
Triệu chứng thường gặp
Những dấu hiệu và triệu chứng của bệnh U xương ác tính (ung thư xương tạo xương) là gì?
Những triệu chứng thường gặp của bệnh u xơ ác tính bao gồm:
Sưng hoặc xuất hiện u lồi quanh xương hoặc cuối xương, đau gần khu vực ảnh hưởng;
Đau nhức xương hoặc cơ, khớp xung quanh;
Gãy xương không có nguyên nhân cụ thể.
Nếu con bạn mắc bệnh, trẻ có thể bị đau vào ban đêm hoặc sau khi hoạt động thể chất, trẻ cũng sẽ bị liệt tạm thời nếu khối u ảnh hưởng đến chân. Bạn có thể gặp các triệu chứng khác không được đề cập. Nếu bạn có bất kỳ thắc mắc nào về các dấu hiệu bệnh, hãy tham khảo ý kiến bác sĩ.
Khi nào bạn cần gặp bác sĩ?
Bạn nên liên hệ với bác sĩ nếu cảm thấy đau, sưng hoặc nứt gãy ở các vùng cơ xương. Đặc biệt, bạn cần đi khám bác sĩ ngay nếu cơn đau dai dẳng ở xương khớp mà không rõ nguyên nhân.
Nguyên nhân
Những nguyên nhân nào gây ra bệnh u xương ác tính (ung thư xương tạo xương)?
Nguyên nhân gây ra bệnh ung thư xương tạo xương là do các tề bào tạo xương phân chia bất thường, dẫn đến hình thành các khối u ác tính.
Tình trạng tế bào xương bất thường có thể là do bộ máy gen tế bào (ADN) bị lỗi. Lúc này, các tế bào tạo xương sẽ hình thành các khối u xương ác tính do ADN lỗi làm các tế bào phát triển và phân chia không kiểm soát được.
Các liệu pháp điều trị ung thư như xạ trị, hóa trị hay các loại thuốc ung thư cũng góp phần tạo nên khối u ác tính.
Ở trẻ em, nguyên nhân gây ra bệnh này có thể là do xương tăng trưởng nhanh chóng. Nếu xương phát triển quá nhanh so với bình thường, trẻ có nhiều khả năng mắc khối u ác tính. Những trẻ cao bất thường sẽ có nguy cơ mắc bệnh cao hơn nhiều so với trẻ khác.
Nguy cơ mắc phải
Những ai thường mắc bệnh u xương ác tính (ung thư xương tạo xương)?
Trên thực tế, ung thư xương tạo xương khá hiếm, mặc dù đây là loại ung thư xương phổ biến nhất. Bệnh thường ảnh hưởng đến trẻ em và thanh thiếu niên, nhưng người trưởng thành cũng có thể mắc bệnh này. Nam giới sẽ có nguy cơ mắc bệnh nhiều hơn nữ giới. Tuy vậy, bạn có thể kiểm soát bệnh này bằng cách giảm thiểu các yếu tố nguy cơ. Hãy tham khảo bác sĩ để biết thêm thông tin chi tiết.
Những yếu tố nào làm tăng nguy cơ mắc bệnh u xương ác tính (ung thư xương tạo xương)?
Có rất nhiều yếu tố làm tăng nguy cơ mắc ung thư xương tạo xương, chẳng hạn như:
Di truyền. Một số hội chứng di truyền hiếm gặp qua các thế hệ sẽ làm tăng nguy cơ mắc bệnh ung thư xương, bao gồm hội chứng Li-Fraumeni và nguyên bào võng mạc di truyền;
Bệnh xương Paget;
Xạ trị ung thư. Một lượng lớn bức xạ trong quá trình xạ trị bệnh ung thư cũng sẽ làm tăng nguy cơ mắc u xương ác tính trong tương lai;
Đã từng hoặc đang có nhiều khối u trong sụn (mô liên kết ở xương).
Triệu chứng
Điều trị

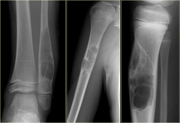
Click vào ảnh để xem 4 hình ảnh minh họa
Những thông tin được cung cấp không thể thay thế cho lời khuyên của các chuyên viên y tế, vậy nên tốt nhất là bạn hãy tham khảo ý kiến bác sĩ.
Những kỹ thuật y tế nào dùng để chẩn đoán bệnh u xương ác tính (ung thư xương tạo xương)?
Bước đầu tiên trong quá trình chẩn đoán bệnh, bác sĩ sẽ hỏi về các triệu chứng, những khó khăn nếu có trong lúc bạn di chuyển chân tay và kiểm tra các nguyên nhân thông thường gây đau và sưng chân tay, chẳng hạn như chấn thương thể thao và viêm khớp. Bác sĩ cũng xem xét các vùng lân cận, những u lồi hay dịch trong khớp.
Trong trường hợp không nhận ra nguyên nhân thực sự gây ra các triệu chứng, bác sĩ có thể tiến hành chụp X-quang hoặc các xét nghiệm máu. Xét nghiệm máu cho biết bạn có khỏe hay không, trong khi X-quang giúp bác sĩ tìm ra những đặc trưng bất thường của ung thư.
Khi chụp X-quang, nếu bác sĩ thấy dấu hiệu khối u, bạn sẽ được yêu cầu đến trung tâm y tế lớn để điều trị ung thư xương. Ở đó, bạn sẽ được chụp cộng hưởng từ (MRI) khu vực có khối u để xác định ảnh hưởng của khối u tới dây thần kinh, mạch máu và các khớp gần đó.
Các bác sĩ cũng cần làm sinh thiết để khẳng định chẩn đoán bằng cách lấy một mảnh nhỏ xương để kiểm tra các tế bào ung thư trong phòng thí nghiệm.
Những phương pháp nào dùng để điều trị bệnh u xương ác tính (ung thư xương tạo xương)?
Có 3 bước để điều trị ung thư xương bao gồm hóa trị, phẫu thuật và hóa trị theo dõi sau phẫu thuật. Cụ thể hơn, hóa trị đợt đầu dùng để tiêu diệt nhiều nhất có thể các tế bào ung thư trước khi phẫu thuật.
Bạn thường được chỉ định phẫu thuật sớm để loại bỏ xương ung thư mà không cần phải đoạn chi. Sau đó, bác sĩ sẽ ghép xương hoặc các chất tổng hợp vào vùng xương bị mất để giúp bạn hồi phục các chức năng chi một cách hoàn thiện nhất có thể.
Bước thứ ba trong quá trình điều trị bệnh là hóa trị sau phẫu thuật.
Bạn sẽ khó thực hiện phẫu thuật giữ chi trong một số trường hợp như khi khối u đã xâm lấn mạch máu quan trọng hoặc trở thành một phần của khớp gần đó. Trong các trường hợp này, bác sĩ thường phải cắt bỏ chi mắc bệnh.
Phòng ngừa
Những thói quen sinh hoạt nào giúp bạn hạn chế diễn tiến của bệnh u xương ác tính (ung thư xương tạo xương)
Trên thực tế, bạn không thể nào ngăn chặn hoàn toàn u xương ác tính. Tuy nhiên, bạn sẽ có thể kiểm soát bệnh này nếu áp dụng các biện pháp sau:
Sử dụng các loại vitamin và chất dinh dưỡng cho xương. Hãy nhớ tham khảo ý kiến bác sĩ trước khi dùng các chất dinh dưỡng này;
Châm cứu và xoa bóp để giảm triệu chứng;
Tìm hiểu đầy đủ về bệnh ung thư xương để đưa ra quyết định đúng với tình trạng sức khỏe của bạn.