Tổng quan
Atelectasis hay Xẹp phổi là bệnh gì?
Atelectasis hay Xẹp phổi là tình trạng giảm hoặc mất sự giãn nở không hoàn toàn của nhu mô phổi do quá trình xẹp phế nang khu trú hoặc lan toả, làm mất thể tích phổi, đây có thể là một biến chứng của nhiều vấn đề về hô hấp. Chất nhầy trong đường hô hấp sau khi phẫu thuật, xơ nang, hít sặc từ ngoài, Hen suyễn nặng và Chấn thương ngực là một trong những nguyên nhân phổ biến của xẹp phổi. Lượng mô phổi bị xẹp có thể thay đổi tùy thuộc vào nguyên nhân. Các dấu hiệu và triệu chứng xẹp phổi cũng khác nhau từ các nguyên nhân cơ bản và mức độ mô phổi tham gia. Xẹp phổi có thể là tình trạng nghiêm trọng bởi vì nó làm suy yếu việc trao đổi oxy và carbon dioxide trong phổi. Điều trị phụ thuộc vào nguyên nhân và mức độ nghiêm trọng của xẹp phổi.
Triệu chứng
Triệu chứng Atelectasis hay Xẹp phổi là Thường không có triệu chứng nhưng cũng có thể bao gồm khó thở, đau ngực và ho.
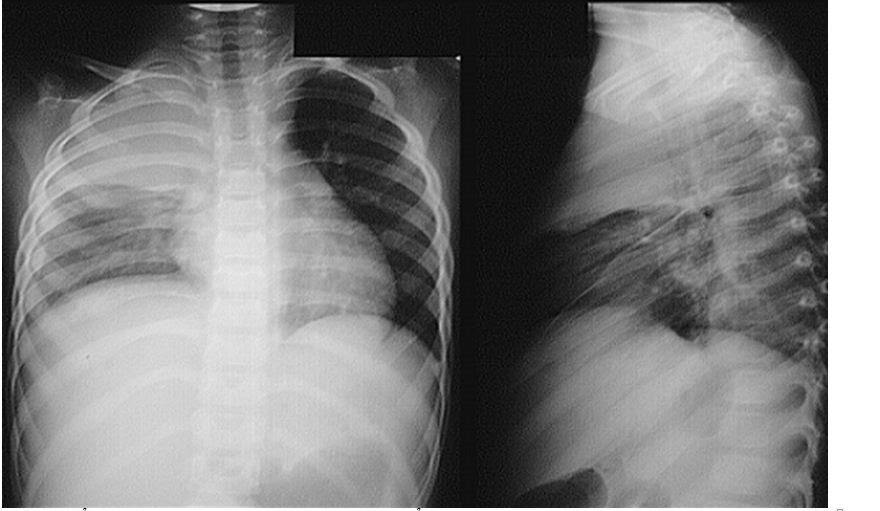
Chẩn đoán
Hỏi bệnh sử và khám thực thể.
Nội soi phế quản có thể được sử dụng để giúp đánh giá và điều trị nguyên nhân gây ra sự tắc nghẽn phổi.
Điều trị
Chụp X-quang.
Phân tích Khí máu động mạch (ABG).
Chụp cắt lớp vi tính (CT Scan)
Nguyên nhân
Xẹp phổi là tình trạng giảm hoặc mất sự giãn nở không hoàn toàn của nhu mô phổi do quá trình xẹp phế nang khu trú hoặc lan toả, làm mất thể tích phổi.
Chức năng thông khí, trao đổi khí vùng phổi xẹp bị ảnh hưởng do lưu lượng khí qua vùng phổi xẹp rất nhỏ, gây ra tình trạng giảm oxy máu, suy hô hấp.
Triệu chứng
Chẩn đoán
Hỏi bệnh sử và khám thực thể.
Nội soi phế quản có thể được sử dụng để giúp đánh giá và điều trị nguyên nhân gây ra sự tắc nghẽn phổi.
Điều trị

Click vào ảnh để xem 4 hình ảnh minh họa
Bỏ qua những hạt quả. Không cho trẻ em ăn các loại hạt cho đến khi chúng khoảng 3 tuổi, khi có răng hàm nhai kỹ hơn các loại hạt.
Ngưng hút thuốc lá. Hút thuốc làm tăng sản xuất chất nhầy và tổn thương cấu trúc nhỏ giống như tóc ở ống phế quản (lông mao). Chuyển động sóng của nó giúp loại bỏ chất nhầy của đường hô hấp.
Bài tập thở sâu. Sau khi phẫu thuật, bác sĩ hướng dẫn thực hiện các bài tập thở sâu.
Nếu phải nằm trên giường, nên thay đổi vị trí thường xuyên. Hãy đứng dậy và đi bộ ngay khi có thể.
Phòng ngừa
Tổn thương màng Surfactant, sự thiếu hụt chất Surfactant về số lượng hoặc chất lượng gây nguy cơ xẹp phổi thường gặp trong các bệnh:
Bệnh màng trong ở trẻ em.
Hội chứng suy hô hấp cấp ở người lớn.
Tổn thương phổi cấp sau hít phải dịch vị.
Thở ôxy 100% kéo dài.
Gây mê đường hít.
Hít phải khói.
Đụng dập phổi.
Do dị vật, hít phải thức ăn, nút đờm trong bệnh phổi phế quản mãn tính, hen phế quản, bệnh Saccoit, lao phế quản, u nấm... Chảy máu khí phế quản, phổi.
Viêm tiểu phế quản, phù nề phế quản, co thắt phế quản.
Chèn ép ngoài phế quản: Các bất thường về tim mạch, khối u ở nhu mô phổi...
Gây ra áp lực âm trong màng phổi không đủ.
Tràn dịch màng phổi.
Tràn khí màng phổi.
Phẫu thuật lồng ngực mở áp lực trong lồng ngực bằng áp lực khí quyển phổi sẽ xẹp nhanh chóng, trong tạo hình ngực, cắt xương sườn...
Khối choán chỗ trong màng phổi: u trung biểu mô, u lympho, tụ máu, dầy dính màng phổi sau viêm màng phổi mủ, sau gây dính màng phổi, thoát vị cơ hoành.
Do chèn ép trực tiếp vào nhu mô phổi, phế quản: U phổi, trung thất, hạch lao.
Do các rối loạn vận động cơ hoành: Bệnh lý thần kinh cơ hoành, tăng áp lực trong ổ bụng (cổ chướng, viêm phúc mạc, sau phẫu thuật ổ bụng).
Tăng xơ phổi
Lao xơ phổi, xơ phổi tiến triển, bệnh phổi kẽ.
Bụi phổi Silic, Amiăng, điều trị bằng tia xạ.
Giảm thông khí phế nang
Bệnh phổi hạn chế: gù vẹo cột sống, viêm dầy dính màng phổi.
Những chấn thương vùng ngực, bụng, đau không hít thở được sâu.
Sau phẫu thuật lồng ngực, bụng có ảnh hưởng đến hoạt động của cơ hoành.
Tổn thương tuỷ sống cổ gây liệt cơ hô hấp.
Các bệnh thần kinh cơ: Hội chứng Guillain Barré, hội chứng Porphyrie niệu cấp, bệnh nhược cơ nặng, rắn hổ cắn, ngộ độc Phospho hữu cơ...
Bệnh béo phì.
Người già, nằm bất động lâu một tư thế.
Thông khí nhân tạo dài ngày
Ứ đọng đờm, chất tiết khí phế quản.
Tắc nghẽn khí phế quản do đờm, chất tiết khí phế quản bị khô quánh do cung cấp nước không đầy đủ, khí thở vào không đủ ẩm, do mất nước, tăng tiết mồ hôi, nước bọt, dịch vị, dịch tiêu hoá. Khô dịch tiết phế quản còn có thể do thuốc như atropin trong điều trị ngộ độc phospho hữu cơ. Nút tắc đờm khí phế quản dẫn đến xẹp phổi thường xuyên gặp ở bệnh nhân được đặt nội khí quản, mở khí quản, thở máy dài.
Di lệch ống nội khí quản, canun mở khí quản vào sâu một bên phổi, thường vào sâu khí quản gốc phải làm tăng thông khí phổi phải và làm giảm hoặc mất thông khí phổi trái.
Di lệch ống có thể gặp ngay sau thủ thuật nhưng thường là trong thời gian duy trì ống do cố định ống chưa tốt, do thao tác hút đờm, do bệnh nhân giãy giụa...
Tổn thương niêm mạc khí phế quản do hút đờm, áp lực hút tại đầu ống Sonde gây bong, chợt, loét niêm mạc khí phế quản dẫn đến nhiễm khuẩn, tăng tiết nhiều đờm tạo thuận lợi cho bít tắc khí phế quản.
Giảm thông khí phế nang: Trong thông khí nhân tạo, dòng chảy của khí chậm, đều, không phân bố đều trong phổi, có vùng tăng thông khí, có vùng giảm thông khí, nhất là khi bệnh nhân nằm lâu ở một tư thế sẽ làm giảm thông khí, xẹp phổi.
Chấn thương phổi do áp lực dẫn đến vỡ phế nang, tràn khí màng phổi.
Giảm phản xạ ho, khạc ở bệnh nhân hôn mê, liệt cơ, dùng thuốc an thần dẫn đến ứ đọng đờm.
Do nằm bất động lâu.
Tổn thương phổi do trào ngược, hít phải dịch vị, thức ăn.
Nhuyễn sụn khí, phế quản do viêm tái diễn, kéo dài.
Hẹp khí, phế quản do tổn thương tỳ đè của thành ống nội khí quản, canun mở khí quản, do áp lực bóng chèn đầu ống quá cao, do tổ chức hạt sùi vào lòng khí quản sau rút ống.