Tổng quan
Giòn xương, Xương dễ gãy, Tạo xương bất toàn, Osteogenesis Imperfecta, OI hay xương thủy tinh là bệnh gì?
Bệnh Xương thủy tinh (hay còn gọi là bệnh giòn xương, bệnh xương dễ gãy, bệnh tạo xương bất toàn) là một bệnh bẩm sinh, trẻ bị mắc bệnh có tỷ trọng xương giảm. Đặc trưng của bệnh là sự tổn thương thành phần Collagen tuýp của mô liên kết gây nên bệnh cảnh lâm sàng không những ở xương mà còn ở da, dây chằng, củng mạc Mắt và răng như: gãy xương tự phát, biến dạng xương, lùn, bất thường của răng (tạo răng bất toàn), giảm thính lực. Căn bệnh này chủ yếu là do di truyền bởi gen trội hoặc lặn từ phía bố hoặc mẹ.
Triệu chứng
Triệu chứng từ nhẹ đến nghiêm trọng tùy theo tuýp bệnh. Với thể nhẹ, người bệnh có tầm vóc bình thường hoặc tương đối bình thường, có biểu hiện yếu cơ, cột sống có thể bị cong, củng mạc mắt có thể có màu xanh hay màu tím, gãy xương thường xảy ra trước tuổi dậy thì. Với thể nặng, bệnh nhân thường chết ngay sau khi sinh hoặc chỉ sống được một thời gian ngắn do rối loạn chức năng Hô hấp (thiểu sản phổi, gãy xương sườn).
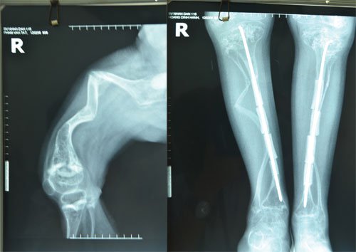
Chẩn đoán
Hỏi bệnh sử và khám thực thể.
Thực hiện chụp X-quang, xét nghiệm về collagen (lấy mẫu bệnh phẩm từ da) hoặc Xét nghiệm gen (lấy mẫu máu).
Điều trị
Cho đến nay vẫn chưa có phương pháp điều trị đặc hiệu cho căn bệnh này. Phẫu thuật (xuyên đinh), vật lý trị liệu, chăm sóc đúng cách và lối sống lành mạnh sẽ góp phần giúp đỡ những người bị bệnh xương thủy tinh.
Nguyên nhân
Đặc trưng của bệnh là sự tổn thương thành phần collagen tuýp của mô liên kết gây nên bệnh cảnh lâm sàng không những ở xương mà còn ở da, dây chằng, củng mạc mắt và răng như: gãy xương tự phát, biến dạng xương, lùn, bất thường của răng (tạo răng bất toàn), giảm thính lực. Căn bệnh này chủ yếu do di truyền bởi gen trội hoặc lặn từ phía bố hoặc mẹ. Đây là một bệnh bẩm sinh, trẻ bị mắc bệnh có tỉ trọng xương giảm. Trong những trường hợp nặng, bệnh biểu hiện ngay khi chào đời khiến trẻ sơ sinh bị gãy nhiều xương. Phần lớn trẻ bị bệnh chết sau khi sinh một thời gian ngắn. Bệnh có thể biểu hiện muộn ở những trường hợp nhẹ hơn làm ảnh hưởng tới sự phát triển của khối cơ, làm giảm sức bền cơ. Người ta đã biết 6 thể khuyết tật tạo xương, hầu hết là di truyền trội trên nhiễm sắc thể thường. Thể bệnh mới này là khuyết tật tạo xương thể VII di truyền lặn trên nhiễm sắc thể thường. Cho đến nay vẫn chưa có phương pháp điều trị đặc hiệu cho bệnh nhân.
Triệu chứng
Chẩn đoán
Hỏi bệnh sử và khám thực thể.
Thực hiện chụp X-quang, xét nghiệm về collagen (lấy mẫu bệnh phẩm từ da) hoặc xét nghiệm gen (lấy mẫu máu).
Điều trị

Click vào ảnh để xem 4 hình ảnh minh họa
Bơi lội có lẽ là một biện pháp tập luyện cơ xương khớp toàn thân tốt và thích hợp nhất đối với bệnh nhân mắc bệnh xương thủy tinh, vì vận động dưới nước ít bị nguy cơ gãy xương.
Đối với những người đi lại được thì đi bộ là một loại hình tập thể dục khá thích hợp. Tuy nhiên, với từng cá nhân, việc tham vấn các chuyên gia vật lý trị liệu và phục hồi chức năng chuyên khoa là cần thiết để có chế độ tập luyện thích hợp cho từng cá nhân một. Điều này chỉ có thể thực hiện ở những nơi có đội ngũ chuyên môn chuyên khoa sâu, chuyên biệt hoá và nhân viên được huấn luyện kỹ về chứng bất toàn trong tạo sinh xương.
Duy trì trọng lượng cơ thể cũng là một yếu tố quan trọng, vì vậy vai trò dinh dưỡng trong bệnh xương thủy tinh cần phải được lưu tâm.
Bệnh nhân cũng cần có lối sống lành mạnh, không hút thuốc lá, tránh uống cà phê, rượu, tránh dùng các loại thuốc chống viêm có Corticosteroid.
Phòng ngừa
Mô xương có xương đặc (vỏ xương) và xương xốp. 80 - 90% khối lượng xương đặc được canxi hóa; 15 - 25% khối lượng xương xốp được canxi hóa. Xương đặc có chức năng là khung bảo vệ cơ thể, còn xương xốp có chức năng chuyển hóa, cân bằng nội môi. Các tế bào xương bao gồm hủy cốt bào (là các tế bào khổng lồ đa nhân, có nhiệm vụ tiêu hủy xương) và tạo cốt bào (là tế bào có nhân hình thoi, có nhiệm vụ sản sinh ra các thành phần của nền xương: các sợi collagen và các chất nền, có vai trò quan trọng trong quá trình canxi hóa). Trong cơ thể, quá trình tạo xương và hủy xương diễn ra liên tục theo cơ chế thay xương cũ bằng xương mới. Trong bệnh tạo xương bất toàn, do tổn thương các gen chỉ huy sản xuất collagen tuýp 1 (COL1A1 và COL1A2) nên số lượng hoặc chất lượng của các sợi collagen bị giảm sút làm cho xương giảm khả năng chịu lực, bị biến dạng và dễ gãy. Mặt khác, collagen còn là thành phần chính của nhiều mô liên kết nên bệnh cảnh lâm sàng không chỉ ở xương mà còn ở nhiều cơ quan khác như da, dây chằng, củng mạc mắt, răng...