1. Viêm tụy mạn là gì?
Viêm tụy mạn (VTM) là bệnh viêm đặc trưng bởi quá trình phá hủy nhu mô tụy tiến triển, không hồi phục, dần dần dẫn tới xơ hóa nhu mô của tuyến tụy với biểu hiện lâm sàng là đau bụng mạn tính, gầy sút cân và suy giảm chức năng tụy nội tiết và ngoại tiết.
2. Các triệu chứng và biểu hiện của viêm tụy mạn
Bệnh Viêm tụy mạn có triệu chứng báo hiệu rất rõ ràng, cụ thể như sau:
- Đau bụng: Đau bụng là triệu chứng lâm sàng chủ yếu trong VTM, gặp ở hầu hết các bệnh nhân, đó cũng là lý do chính khiến bệnh nhân đến nhập viện. Bệnh có biểu hiện đau bụng vùng trên rốn, lan ra sau lưng, đau hơn sau ăn, có thể đau kéo dài dai dẳng, khó điều trị. Bệnh có thể gây đau thành từng đợt có cường độ có thể thay đổi, có khi đau đi đau lại nhiều lần, có khi cơn đau trội lên được mô Tả là đau quặn, đau dữ dội, bệnh nhân phải thay đổi tư thế để giảm đau “tư thế giảm đau của VTM”
- Sụt cân: Sụt cân ở giai đoạn đầu là do bệnh nhân sợ ăn vì liên quan tới đau. Ở giai đoạn sau là do kém hấp thu vì thiếu các men tụy ngoại tiết để phân hủy protid, lipid. Ăn kém và chán ăn dẫn tới suy kiệt, phần lớn bệnh nhân viêm tụy mạn có thể trạng gầy do họ bị rối loạn hấp thu.
- Rối loạn tiêu hóa: Tiêu chảy kéo dài hoặc đi phân mỡ, phân sống gây nên hội chứng kém hấp thu.
- Vàng da: Do chít hẹp ống mật chủ dẫn đến tình trạng tắc mật vàng da, vàng da có thể từng đợt hay tăng dần, vàng da thường đi kèm theo đợt đau cũng có thể Vàng da chỉ thoáng qua.

- Đái tháo đường: Tỷ lệ viêm tụy mạn có đái tháo đường chiếm khoảng 30%. Đái tháo đường trong viêm tụy mạn là do suy giảm bài tiết Insulin hormone liên quan đến chuyển hóa đường trong cơ thể.
3. Nguyên nhân gây viêm tụy mạn
Có nhiều nguyên nhân gây viêm tụy mạn, cụ thể:
3.1 Viêm tụy mạn do rượu
Rượu là nguyên nhân gây ra 70-80% của các trường hợp viêm tụy mạn. Không có ngưỡng cho các tác dụng độc hại của rượu đối với tuyến tụy, nhưng số lượng và thời gian uống rượu tương quan với sự phát triển của viêm tụy mạn. Một số nghiên cứu cho rằng uống 150-200ml hàng ngày trong vòng 10-15 năm là cần cho sự phát triển viêm tụy mạn. Nguyên nhân do rượu thường gặp ở châu Âu, châu Mỹ, Trung phi và còn gặp ở châu Á, chủ yếu gặp ở nam giới, những bệnh nhân viêm tụy mạn này có tuổi trung bình từ 36 – 55 tuổi.

3.2. Viêm tụy mạn vô căn
Viêm tụy mạn vô căn chiếm khoảng 20-30% số bệnh nhân VTM không xác định rõ nguyên nhân, số này được xem như viêm tụy mạn nguyên phát. Bằng chứng dịch tễ học cho thấy viêm tụy mạn vô căn là một dạng riêng biệt, ảnh hưởng ngang nhau với cả nam và nữ và quá trình suy tụy nội tiết và ngoại tiết diễn tiến chậm đã được quan sát.
Một số các nguyên nhân khác gây viêm tụy mạn, bao gồm:
- Viêm tụy mạn nhiệt đới.
- Tăng canxi máu.
- Tăng Lipid máu.
- Viêm tụy mạn do di truyền: do đột biến gen trypsinogen, đột biến hoặc thay đổi gen ức chế tiết trypsin, gen xơ hóa dạng nang.
- Sỏi mật: VTM liên quan với sỏi mật, giun chui ống mật, viêm túi mật, chít hẹp bóng Vante, sỏi bóng Vante. Nguyên nhân này hay gặp ở các nước châu Á như Trung Quốc, Việt Nam.
- Viêm tụy mạn do các khối u tụy.
- Viêm tụy mạn tự miễn

- Nguyên nhân do sỏi tụy: có thể có sỏi trong ống tụy hoặc canxi hóa nhu mô tụy ở đầu tụy, thân hay đuôi hoặc vôi hóa khắp cả tụy.
- Nguyên nhân do viêm tụy cấp: viêm tụy cấp nặng tái diễn dần dần dẫn đến xơ hóa tụy và lắng đọng canxi nhu mô tụy gây viêm tụy mạn.
4. Đặc điểm hình ảnh và giá trị của chụp cắt lớp vi tính đa dãy trong chẩn đoán viêm tụy mạn.
Chụp cắt lớp vi tính đa dãy là kỹ thuật ngày càng được sử dụng nhiều trong chẩn đoán các bệnh lý của tụy do có nhiều tiến bộ về kỹ thuật, tốc độ chụp và độ phân giải hình ảnh. Chụp cắt lớp vi tính đa dãy đánh giá tốt tình trạng nhu mô tụy, kích thước, bờ viền, ống tụy và ảnh hưởng tới các cơ quan quanh tụy như đường mật, tá tràng, các khoang quanh tụy.
4.1. Dấu hiệu viêm tụy mạn trên chụp cắt lớp vi tính
- Thay đổi kích thước tụy: VTM ở giai đoạn đầu, kích thước tụy có thể bình thường. Ở giai đoạn tiến triển tụy thường to lan tỏa hoặc khu trú. Ở giai đoạn muộn đa số gặp tụy teo.
- Bờ tụy: không đều do xơ và vôi hóa nhu mô tụy, thâm nhiễm lớp mỡ xung quanh tụy.
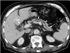
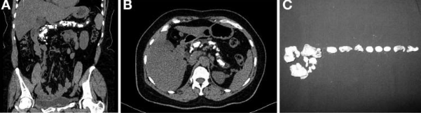
- Sỏi tụy: chụp cắt lớp vi tính là biện pháp tốt nhất để xác định sỏi tụy. Sỏi kích thước trên 1mm có thể thấy thấy trên phim chụp CLVT, sỏi xuất hiện trong nhu mô hoặc trong ống tụy hoặc ở cả nhu mô tụy và ống tụy.
- Giãn ống tụy chính: ống tụy có thể nhìn thấy khi đường kính > 3mm trên phim chụp với các lớp cắt mỏng. Nét đặc trưng của giãn ống tụy trong VTM là giãn không đều, có nhiều đoạn hẹp xen kẽ các đoạn giãn, tạo hình ảnh như tràng hạt.

- Nang giả tụy: biểu hiện bởi những cấu trúc giảm tỷ trọng (0-20HU), ranh giới rõ, nằm trong nhu mô tụy hoặc các vị trí ngoài tụy, không ngấm thuốc sau tiêm. Nếu Nang giả tụy có biến chứng Chảy máu trong nang hoặc nang bị bội nhiễm thì tỷ trọng trong nang có thể cao hơn.
- Hẹp đường mật chính đoạn trong tụy: khi quá trình viêm tập chung ở đầu tụy, tổ chức xơ tăng sinh gây chèn ép làm hẹp đoạn ống mật chủ trong tụy, và gây giãn đường mật trên chỗ hẹp.
- Hẹp tá tràng: do đầu tụy xơ hóa hoặc nang giả tụy vùng đầu tụy chèn ép. Biểu hiện bằng thay đổi đường kính tá tràng và dãn dạ dày, tá tràng trên chỗ hẹp. Hẹp tá tràng thường kết hợp với giãn đường mật.
- Các tổn thương mạch máu: Huyết khối tĩnh mạch lách, tĩnh mạch mạc treo tràng trên, Huyết khối tĩnh mạch cửa, thường kết hợp với các dấu hiệu tăng áp lực tĩnh mạch cửa. Giả phình động mạch hay gặp giả phình động mạch lách, biểu hiện của khối giả phình mạch là tỷ trọng ngang tỷ trọng mạch máu ở thì động mạch.
- Đợt cấp VTM: biểu hiện trên chụp CLVT là tăng kích thước tụy, thâm nhiễm mỡ quanh tụy, dày mạc cạnh thận, Tụ dịch ở hậu cung mạc nối, khoang cạnh thận trước, khoang quanh thận, rễ mạc treo, mạc treo đại tràng ngang. Dòng chảy tụy đi theo khoang cạnh thận trái xuống khung chậu, và rễ mạc treo ruột non.

4.2. Giá trị của chụp cắt lớp vi tính đa dãy trong chẩn đoán viêm tụy mạn
Đây là một kỹ thuật thăm dò hình ảnh không xâm hại, cắt được các lớp cắt mỏng dưới 1mm, có khả năng tái tạo theo nhiều mặt phẳng cho phép đánh giá chính xác các tổn thương tại tụy, hệ thống đường mật, hệ thống mạch máu và các tạng xung quanh để đưa ra chẩn đoán chính xác viêm tụy mạn và dựa trên hình ảnh cắt lớp vi tính các bác sĩ lâm sàng sẽ đưa ra phương pháp điều trị chính xác và thích hợp.







