1. Giãn phế quản là gì?
Giãn phế quản là tình trạng bệnh lý của các phế quản, do các cấu trúc của thành phế quản bị phá hủy hoặc suy yếu và giãn to. Các tổn thương của bệnh giãn phế quản mạn tính là những tổn thương không thể hồi phục, khác với tình trạng giãn phế quản cấp tính là tạm thời có thể hồi phục trong một số viêm nhiễm cấp tính như nhiễm siêu vi, viêm tiểu phế quản...
Giãn phế quản được chia thành: giãn phế quản hình túi, giãn phế quản hình trụ và giãn phế quản hình tràng hạt.
Giãn phế quản có thể bẩm sinh, di truyền hoặc mắc phải. Giãn phế quản có thể thành ổ và giới hạn ở một phần hoặc 1 thuỳ của phổi, hoặc có thể giãn lan rộng đến nhiều thuỳ ở một hoặc cả hai bên phổi .
2. Chẩn đoán giãn phế quản 
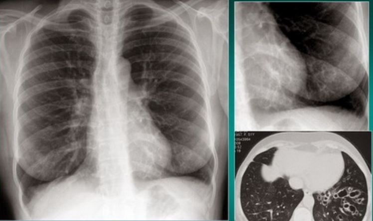
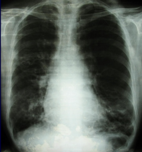
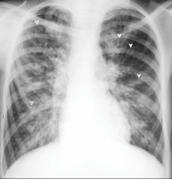
- Trên phim X quang phổi chuẩn: có thể thấy các dấu hiệu gợi ý hoặc khẳng định chẩn đoán giãn phế quản trong một số trường hợp giãn phế quản nhiều và nặng. Tuy nhiên chẩn đoán xác định giãn phế quản thường phải dựa vào phim chụp cắt lớp vi tính lớp 1mm, độ phân giải cao
Hình ảnh giãn phế quản trên X quang:
- Thành phế quản tạo thành các đường song song (đường ray).
- Thể tích của thuỳ phổi có giãn phế quản nhỏ lại, các đường mờ mạch máu phổi xít lại với nhau nếu có xẹp phổi.
- Có các ổ sáng nhỏ giống hình ảnh tổ ong, có thể có ổ sáng với mực nước ngang kích thước thường không quá 2 cm
- Hình ảnh viêm phổi tái diễn vào mùa lạnh xung quanh khu vực giãn phế quản.
- Các đám mờ hình ống biểu hiện của các phế quản bị lấp đầy chất nhầy, mủ.
- Khoảng 7 - 30% trường hợp chụp phổi chuẩn không thấy gì bất thường.
- Chụp cắt lớp vi tính vi tính lớp mỏng, độ phân giải cao: là tiêu chuẩn vàng trong chẩn đoán xác định giãn phế quản. Các dấu hiệu có thể gặp:
- Đường kính trong của phế quản lớn hơn động mạch đi kèm.
- Các phế quản không nhỏ dần được quy định khi phế quản trên một đoạn dài 2 cm có đường kính tương tự phế quản đã phân chia ra phế quản đó.
- Thấy phế quản ở cách màng phổi thành ngực dưới 1 cm.
- Thấy phế quản đi sát vào màng phổi trung thất.








