Tổng quan
Viêm phổi do tụ cầu Là bệnh viêm phổi do một loại vi khuẩn có tên là tụ cầu (Staphylococcus). Tụ cầu vàng có thể xâm nhập vào nhu mô phổi qua hai đường: hít vào đường hô hấp trên hoặc lây truyền qua đường máu. Thường sau bệnh cúm hoặc ở người suy giảm miễn dịch, tụ cầu theo dịch tiết đường Hô hấp trên bị hít vào phổi. Trường hợp thứ hai tụ cầu theo đường máu đến gây viêm phổi. Bệnh hay xảy ra sau khi bị mụn Nhọt ngoài da, viêm tắc tĩnh mạch, viêm màng trong tim... Viêm phổi do tụ cầu ít gặp nhưng là bệnh nhiễm khuẩn nghiêm trọng.
Triệu chứng
Triệu chứng Viêm phổi do tụ cầu phụ thuộc vào tuổi và sức khoẻ của bệnh nhân, phổ biến là Sốt cao, mạch nhanh, thở nhanh, ho, ít gặp Ho ra máu và đau ngực.
Chẩn đoán
Hỏi bệnh sử và khám thực thể.
Xét nghiệm đờm, nhuộm gram đờm thấy cầu khuẩn tụ tập từng đám.
Xét nghiệm máu thấy tụ cầu trong bạch cầu. Bạch cầu máu ngoại vi tăng cao.
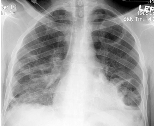
Chụp X-quang phổi thấy hình ảnh nhiều ổ viêm phổi dạng tròn, kích thước không đều, ở hai bên phổi, không đối xứng. Khám thấy rì rào phế nang giảm và nhiều ổ ran nổ.
Điều trị
Điều trị Viêm phổi do tụ cầu đòi hỏi phải hồi sức tích cực và dùng kháng sinh có hiệu lực với vi khuẩn theo kháng sinh đồ. Các thuốc thường được dùng là: Cephalosporin thế hệ thứ 3. Thời gian dùng kháng sinh thường kéo dài 4 tuần. Trường hợp nặng có thể dùng thuốc Imipenem, Gentamyxin, nhất là khi có nhiễm khuẩn máu.
Nguyên nhân
Là bệnh viêm phổi do một loại vi khuẩn có tên là tụ cầu (Staphylococcus).
Tụ cầu vàng có thể xâm nhập vào nhu mô phổi qua hai đường: hít vào đường hô hấp trên hoặc lây truyền qua đường máu. Thường sau bệnh cúm hoặc ở người suy giảm miễn dịch, tụ cầu theo dịch tiết đường hô hấp trên bị hít vào phổi.
Trường hợp thứ hai tụ cầu theo đường máu đến gây viêm phổi. Bệnh hay xảy ra sau khi bị mụn nhọt ngoài da, viêm tắc tĩnh mạch, viêm màng trong tim... Viêm phổi do tụ cầu ít gặp nhưng là bệnh nhiễm khuẩn nghiêm trọng
Triệu chứng
Chẩn đoán
Hỏi bệnh sử và khám thực thể.
Xét nghiệm đờm, nhuộm gram đờm thấy cầu khuẩn tụ tập từng đám.
Xét nghiệm máu thấy tụ cầu trong bạch cầu. Bạch cầu máu ngoại vi tăng cao.
Điều trị

Click vào ảnh để xem 4 hình ảnh minh họa
Phòng bệnh với các biện pháp sau đây:
Khi chăm sóc bệnh nhân tại bệnh viện, hoặc vào viện thăm người ốm, cần đeo khẩu trang để tránh hít phải vi khuẩn nói chung và tụ cầu.
Những người bị cúm hoặc bị suy giảm miễn dịch cũng thường xuyên đeo khẩu trang để tránh bị lây bệnh do tụ cầu và các bệnh khác.
Giữ vệ sinh da bằng cách tắm rửa hằng ngày.
Điều trị triệt để các bệnh nhiễm khuẩn da như mụn nhọt, vết thương.
Các bệnh là nguyên nhân có thể dẫn đến viêm phổi do tụ cầu như viêm tắc tĩnh mạch, viêm màng trong tim…cũng phải chữa tích cực.
Nâng cao sức đề kháng bằng việc ăn uống đầy đủ chất và tập luyện thể dục thể thao thường xuyên.
Chỉ dùng kháng sinh khi có đơn của bác sĩ, tuyệt đối không tự mua thuốc kháng sinh uống để hạn chế việc tụ cầu kháng thuốc.
Phòng ngừa
Nguyên nhân do vi khuẩn tụ cầu ((Staphylococcus).