1. Tìm hiểu về ung thư cổ tử cung
- Ung thư cổ tử cung: Là bệnh lý ác tính của biểu mô lát hoặc biểu mô tuyến cổ tử cung, khi các tế bào phát triển bất thường, nhân lên vô kiểm soát, xâm lấn khu vực xung quanh cũng như di căn tới các bộ phận khác của cơ thể.
- Độ tuổi dễ mắc: Ung thư cổ tử cung thường gặp nhất ở độ tuổi sinh sản (20-45 tuổi), người dưới 20 tuổi hiếm khi mắc bệnh. Trong đó trường hợp trên 65 tuổi phát hiện bệnh thường do tầm soát không tốt ở độ tuổi sớm do vậy việc ngăn ngừa và tầm soát Ung thư cổ tử cung là vô cùng cần thiết giúp người bệnh phát hiện sớm và điều trị kịp thời.
- Bệnh diễn biến âm thầm trong nhiều năm từ khi nhiễm virus HPV đến khi xuất hiện các tổn thương ung thư có thể kéo dài đến 15 năm mà không có triệu chứng.
- Các nguyên nhân gây bệnh ung thư cổ tử cung bao gồm:Có nhiều xét nghiệm để chẩn đoán ung thư cổ tử cung trong đó xét nghiệm tế bào học Liqui-Prep Pap là xét nghiệm có giá trị cao trong việc tầm soát ung thư cổ tử cung do Xét nghiệm này đơn giản, dễ thực hiện, giá thành thấp.
- Nhiễm virus HPV (Human papillomavirus) là nguyên nhân thường gặp nhất. Nhiễm bệnh do lây qua đường tình dục
- Ngoài ra còn các nguyên nhân như: hút thuốc lá, suy giảm miễn dịch

Nguyên nhân gây ung thư cổ tử cung thường do virus HPV gây ra
2. Chỉ định Xét nghiệm HPV
- Tầm soát đối với phụ nữ trong độ tuổi hoạt động Tình dục đặc biệt phụ nữ có người trong gia đình mắc bệnh ung thư cổ tử cung.
- Khi xuất hiện các triệu chứng như:
- Chảy máu bất thường từ âm đạo, chẳng hạn như chảy máu giữa chu kỳ kinh nguyệt, thời gian dài hơn so với chu kỳ bình thường, chảy máu sau hoặc trong khi quan hệ, chảy máu sau khi mãn kinh, chảy máu sau khi đi vệ sinh hoặc khám phụ khoa;
- Đau ở bụng dưới hoặc xương chậu;
- Tiết dịch âm đạo bất thường, chẳng hạn như có ít máu từ dịch âm đạo tiết ra.
3. Ưu điểm của xét nghiệm tế bào học bằng phương pháp liqui prep
- Phương pháp liqui prep là xét nghiệm có giá trị cao giúp phát hiện phụ nữ mắc ung thư cổ tử cung ở giai đoạn sớm lên đến 70%. Đây là bước cải tiến vượt bậc giúp làm tăng độ nhạy và độ đặc hiệu trong việc phát hiện các tế bào tiền ung thư, đặc biệt là ung thư tế bào biểu mô tuyến.

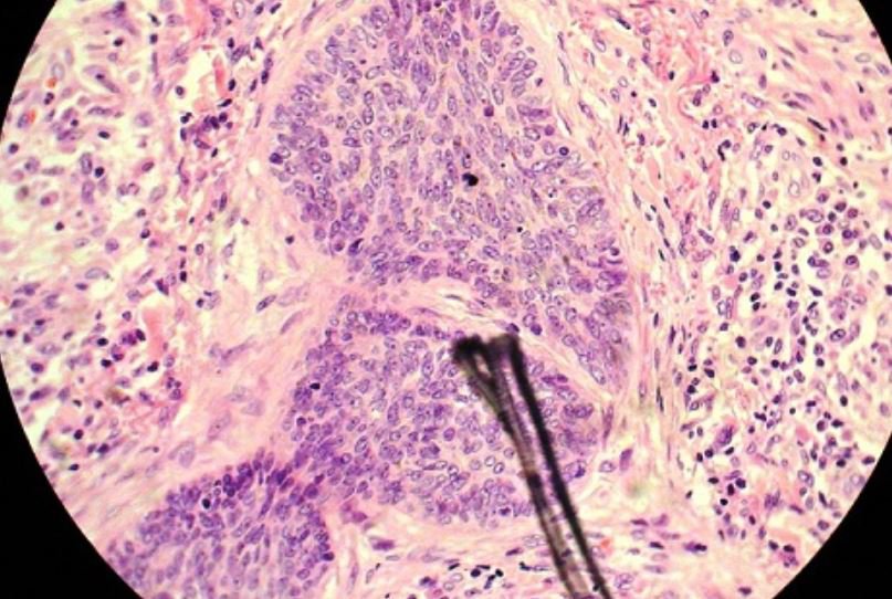
Hình ảnh ung thư tế bào biểu mô tuyến
- Phương pháp lấy mẫu phết tế bào cổ tử cung nhúng dịch (Liqui-Prep) phát hiện dễ dàng hơn so với phết thường quy ưu điểm hơn phết thường quy, dễ dàng phát hiện hơn
- Xét nghiệm này không ảnh hưởng đến môi trường, thiết bị đơn giản, có thể lưu trữ bệnh phẩm để xét nghiệm lại khi cần, có thể sử dụng bệnh phẩm cho phân tích các thụ thể, gen, các tác nhân gây bệnh, hóa miễn dịch tế bào... chỉ trong 1 lần lấy bệnh phẩm. Các tế bào không bị chồng chất lên nhau, nên rất dễ quan sát, do đó tăng độ nhạy, độ chính xác, giảm tỷ lệ âm tính giả.
4. Lưu ý khi thực hiện xét nghiệm Liqui-Prep Pap Test
- Trước khi thực hiện xét nghiệm Liqui-Prep Pap Test ít nhất 2 ngày nên tránh: Giao hợp, bơm rửa âm đạo, đặt thuốc âm đạo, dùng thuốc diệt tinh trùng
- Không thực hiện xét nghiệm khi đang ở chu kỳ kinh nguyệt. Thời gian làm Liqui-Prep Pap Test tốt nhất là khoảng ngày 8-15 của chu kỳ kinh.
- Không thực hiện xét nghiệm cho phụ nữ độc thân trừ khi có yêu cầu xét nghiệm để chẩn đoán bệnh.







