1. Chụp cộng hưởng từ động mạch chủ-ngực (MRA) là gì?
Chụp cộng hưởng từ (MRI) là quá trình sử dụng một từ trường mạnh, các song điện từ và hệ thống máy vi tính xử lý để tạo ra các hình ảnh chi tiết những bộ phận trong cơ thể, các mô mềm, xương, và các cấu trúc nội tạng khác.
Trong một số trường hợp, bác sĩ sẽ yêu cầu sử dụng thêm chất cản quang. Chất cản quang sử dụng trong chụp cộng hưởng từ có khả năng gây ra các phản ứng Dị ứng thấp hơn so với loại thuốc cản quang được dùng khi Chụp CT Scan. Trước đây, người bệnh có thể được Chụp CT Scan để chẩn đoán các bệnh lý động mạch với giá thành thấp hơn.
Tuy nhiên, chụp cộng hưởng từ động mạch chủ ngực có những ưu điểm như: người bệnh không phơi nhiễm với tia X như khi chụp cắt lớp vi tính, giúp giảm thiểu nguy cơ xuất hiện các tác dụng không mong muốn.

2. Chỉ định chụp cộng hưởng từ động mạch chủ ngực đối với bệnh lý nào?
Chụp cộng hưởng từ động mạch chủ ngực có phạm vi sử dụng khá rộng rãi, đáp ứng vai trò chẩn đoán và điều trị cho nhiều bệnh lý khác nhau của động mạch chủ ngực.
Chỉ định chụp cộng hưởng từ động mạch chủ ngực bao gồm:
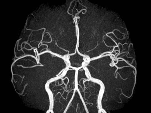
- Phát hiện các bất thường như phình mạch, bóc tách động mạch ở động mạch chủ ngực, hoặc ở các phân nhánh của động mạch chủ ngực.
- Phát hiện bệnh lý Xơ vữa động mạch ở các vị trí quan trọng như động mạch cảnh, nguyên nhân gây đột quỵ.
- Đánh giá được mức độ hẹp và các mạch máu có liên quan trong bệnh lý mạch máu, hỗ trợ cho kế hoạch điều trị can thiệp mạch vành.
- Chẩn đoán các bất thường mạch máu bẩm sinh ở trẻ em.
- Thay thế chụp cắt lớp vi tính động mạch chủ ngực khi thuốc cản quang có nguồn gốc từ iot bị chống chỉ định.

3. Chống chỉ định chụp cộng hưởng từ động mạch chủ ngực
Một cách tổng quát, chụp MRI động mạch chủ ngực là một kỹ thuật an toàn, không xâm lấn và không phơi nhiễm tia xạ. Tuy nhiên, một số trường hợp không nên chụp cộng hưởng từ chủ ngực như:
- Người mắc phải hội chứng sợ buồng kín vì trong lúc chụp, người bệnh được yêu cầu nằm yên trong khoang của máy trong khoảng từ 45 đến 60 phút. Người mắc hội chứng sợ buồng kín có thể khó hợp tác thực hiện được.
- Bệnh nhân chứa các dị vật bên trong cơ thể, bao gồm: máy tạo nhịp tim, cấy ốc tai, một vài loại clip sử dụng để điều trị phình mạch não. Từ trường có thể ảnh hưởng đến hoạt động của các thiết bị này và ngược lại chúng có thể là tác nhân làm suy giảm chất lượng hình ảnh. Các vật liệu thay thế nhân tạo thế hệ mới thường được nhà sản xuất cung cấp thông tin mô Tả về nguy cơ khi chụp cộng hưởng từ trong các sổ tay hướng dẫn. Người bệnh cần trao đổi cẩn thận với bác sĩ trước khi quyết định thực hiện.

4. Quy trình thực hiện chụp cộng hưởng từ động mạch chủ ngực
Chụp MRI động mạch chủ ngực nên được thực hiện đúng theo quy trình để đảm bảo cho sự an toàn của người bệnh cũng như tính hiệu quả của phương tiện, bao gồm các bước sau:
- Tư vấn giải thích cho người bệnh về cách thực hiện, nguy cơ khi chụp cộng hưởng từ động mạch chủ ngực. Dặn dò người bệnh không cần nhịn ăn trước khi chụp.
- Khai thác thông tin từ người bệnh để loại trừ các chống chỉ định.
- Bệnh nhân và người thân cùng vào phòng chụp cộng hưởng từ được yêu cầu cởi bỏ trang sức trước khi vào.
- Trong quá trình chụp, người bệnh cần tuân theo hướng dẫn của kỹ thuật viên như giữ nguyên tư thế, hít vào, thở ra, ..
- Khi máy vận hành sẽ tạo ra nhiều tiếng ồn, vì thế người bệnh thường được trang bị các thiết bị chống ồn như ốp tai hoặc tai nghe loại bỏ tiếng ồn
- Tổng thời gian chụp có thể mất từ 45 đến 60 phút.
Phòng khám Đa khoa Vietlife với hệ thống cơ sở vật chất, trang thiết bị y tế hiện đại cùng đội ngũ chuyên gia, bác sĩ nhiều năm kinh nghiệm trong khám điều trị, người bệnh hoàn toàn có thể yên tâm thăm khám và điều trị tại Bệnh viện.
Chi Phí Chụp cộng hưởng từ MRI Phòng khám Vietlife







