1. Ung thư biểu mô nhú của tuyến giáp là gì?
Ung thư biểu mô nhú là Khối u ác tính biệt hóa từ tế bào biểu mô nang giáp, điển hình có cấu trúc nhú hoặc nang với đặc điểm nhân riêng. Có nhiều biến thể của cấu trúc nhú khác nhau, nhưng đặc điểm nhân vẫn không đổi (nhân lớn, kính mờ, nhạt màu, có rãnh, thể vùi trong nhân.
2. Dịch tễ học
Ung thư biểu mô nhú tuyến giáp là u ác tính hay gặp nhất của tuyến giáp, chúng chiếm 80% trong các Khối u ác tính của tuyến giáp.
Số lượng ung thư biểu mô nhú tuyến giáp ngày càng tăng trong 15 - 20 năm qua do sự gia tăng phát hiện của các nốt từ rất nhỏ của tuyến giáp trên siêu âm, chụp cắt lớp vi tính nhưng hầu hết các khối u này có nguy cơ thấp.
Ung thư biểu mô nhú tuyến giáp gặp ở mọi lứa tuổi, bao gồm cả trẻ em, người trẻ, nhưng thường gặp nhất ở lứa tuổi 20 -74. Nữ chiếm ưu thế với tỷ lệ F: M là 3: 1
3. Nguyên nhân gây bệnh ung thư biểu mô tuyến nhú
Mặc dù nguyên nhân của ung thư biểu mô nhú tuyến giáp vẫn chưa được biết và lý do cho sự gia tăng tỷ lệ mắc trên toàn thế giới vẫn chưa được hiểu rõ, nhưng có một số yếu tố liên quan được ghi nhận như: tác động từ phóng xạ của môi trường sống. Ngoài ra, nhiều yếu tố nguy cơ khác cũng đã được xác định, bao gồm các yếu tố sinh sản, béo phì, tiểu đường, hút thuốc lá, uống rượu, dư thừa iốt trong chế độ ăn.., và các yếu tố di truyền. Tuy nhiên, mối quan hệ giữa các yếu tố này và ung thư biểu mô nhú tuyến giáp không hoàn toàn rõ ràng.

4. Biểu hiện lâm sàng ung thư biểu mô nhú
Biểu hiện lâm sàng của bệnh ung thư biểu mô nhú thường không rõ ràng. Triệu chứng chủ yếu là khối không đau ở tuyến giáp, hạch vùng cổ to hoặc không to. Thực tế, bất kì phần nào của tuyến giáp cũng có thể trở thành khối u.
Nguy cơ ung thư biểu mô nhú tuyến giáp ở bệnh nhân có nhân bướu cổ:
- Các nghiên cứu trước đây so sánh bệnh nhân bị bướu cổ nhiều nốt với những người có một nốt tuyến giáp cho thấy không có sự khác biệt về tỷ lệ mắc ung thư. Các nghiên cứu sau này cho rằng bệnh nhân có nhân tuyến giáp đơn độc có nguy cơ ung thư biểu mô nhú tuyến giáp cao hơn bệnh nhân có nhiều nhân ở tuyến giáp. Tuy nhiên, những quan điểm này không còn đúng vì nhiều nghiên cứu tiếp theo đã báo cáo nguy cơ mắc ung thư biểu mô nhú tuyến giáp đáng kể ở những bệnh nhân có nhiều nhân tuyến giáp.
- Vì thế, ung thư biểu mô nhú tuyến giáp chính là khối u ác tính của tuyến giáp phổ biến nhất được phát hiện tình cờ ở bệnh nhân Bướu giáp lành tính. Nguy cơ ung thư nhú tuyến giáp trong bệnh có bướu đa nhân được báo cáo là khác nhau từ thấp 6% đến cao như 21,2%.
(Xạ hình với I123, TPC là khối u “lạnh”, giảm chức năng)
5. Chẩn đoán ung thư biểu mô nhú tuyến giáp
5.1. Chọc hút tế bào tuyến giáp
Chọc hút tế bào học tuyến giáp là phương pháp lựa chọn để chẩn đoán ung thư biểu mô nhú tuyến giáp. Đây là thủ thuật xâm lấn tối thiểu và nhanh chóng, chúng được thực hiện bằng cách sử dụng kim nhỏ để lấy mẫu ở nốt tổn thương phết lên lam kính và phân tích dưới kính hiển vi với những đặc điểm hay gặp sau:
- Phiến đồ nhiều tế bào, chất keo ít hoặc không có.
- Đặc điểm nhân quyết định chẩn đoán TPC bao gồm:Bào tương rộng, nhạt màu, có hốc, dạng bọt. Đặc điểm bào tương không giúp ích nhiều cho chẩn đoán.
- Nhân lớn, bất thường về hình dáng và kích thước.
- Chất nhiễm sắc dạng hạt, bột.
- Giả thể vùi trong nhân.
- Nhân có khía.
- Nhiều nhân, chồng lên nhau.
- Có thể gặp thể cát, đặc điểm này giúp ích nhiều cho chẩn đoán.
Tỷ lệ chẩn đoán của phương pháp này chính xác với ung thư biểu mô nhú tuyến giáp là khá cao, khoảng 90% khi so sánh với bệnh phẩm sau phẫu thuật.
Để tăng tỉ lệ chẩn đoán chính xác của chọc hút tế bào tuyến giáp, siêu âm là một kỹ thuật có giá trị trong việc lựa chọn các nốt tổn thương nghi ngờ thích hợp để chọc hút tế bào trong một tuyến giáp đa nhân. Nó có thể phát hiện được những nốt tổn thương rất nhỏ mà bác sĩ có thể không phát hiện được khi thăm khám. Ngoài ra, siêu âm cũng cung cấp kích thước chính xác của một nốt tổn thương để theo dõi cho bệnh nhân.
5.2. Cắt lạnh hay sinh thiết tức thì trong mổ (Frozen section)
Cắt lạnh không được khuyến khích mạnh mẽ vì tác động đông lạnh làm biến dạng các đặc điểm hạt nhân cần thiết cho chẩn đoán.
Chọc hút tế bào bằng kim nhỏ trước phẫu thuật để xác định chẩn đoán và xác định quy trình phẫu thuật phù hợp nhất.
Cắt lạnh trong Phẫu thuật tuyến giáp thường được sử dụng để phát hiện u xâm nhập vào mô tuyến cận giáp và đôi khi di căn hạch.
5.3. Đại thể
- Phần lớn TPC là khối đặc, ranh giới không rõ, xâm lấn vào nhu mô giáp hoặc ra mô xung quanh.
- Có thể có dạng đặc, nang hoặc chỉ đơn thuần là nang. Loại nang thường có vỏ, bên trong lòng sáng hoặc chứa dịch màu vàng nâu, có thể thấy nhú ở vách nang. Xơ hóa thường gặp bên trong và quanh khối u.
- Có thể có dạng hạt khá thuần nhất, có thể có nhiều ổ canxi hóa hoặc xương hóa.
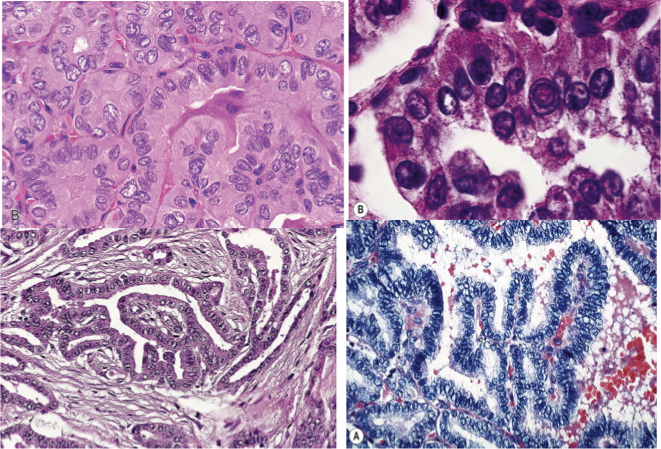
5.4. Vi thể
Đặc điểm cấu trúc
- Dạng phát triển: nhú, nang, đặc, bè, tổ chức. Có thể có nhiều loại trên một u.
- Nang kéo dài, xoắn vặn, ít chất keo.
- Thể cát.
- Xơ hóa bất thường trong khối u.
- Chất keo đặc hơn so với mô giáp xung quanh.
- Có cấu trúc dạng nhú lồi vào trong lòng nang.
- Dị sản vảy (50%).

Đặc điểm tế bào (đặc điểm nhân)
- Nhân lớn.
- Nhân bất thường về hình dáng và kích thước.
- Chất nhiễm sắc phân tán hoặc sáng tạo hình ảnh nhân “Orphan Annie”.
- Chất nhiễm sắc tập trung dọc màng nhân.
- Nhân không còn nằm dọc theo màng đáy nữa mà sắp xếp ngẫu nhiên trong tế bào.
- Nhân lên xuống (crowding), nhân chồng lên nhau (overlapping).
- Giả thể vùi ưa acid trong nhân.
- Nhân có khía, rãnh.
- Nếu có hạt nhân thì thường nằm dọc theo màng nhân.
- Đặc điểm bào tương không có giá trị trong chẩn đoán.
6. Tiên lượng và điều trị ung thư biểu mô nhú
Các yếu tố tiên lượng xấu của ung thư biểu mô nhú tuyến giáp bao gồm tuổi già tại thời điểm chẩn đoán, giới tính, kích thước khối u lớn,...
Phẫu thuật thường là liệu pháp đầu tiên cho ung thư biểu mô nhú tuyến giáp. Các mức độ phẫu thuật phụ thuộc vào kích thước của khối u Nguyên phát và có di căn hạch hay không. Có thể dùng Iod hay thuốc ức chế tyrosine kinase tùy theo từng trường hợp.
Trước đây, tình trạng tái phát ung thư nhú tuyến giáp khá thấp, tỷ lệ sống 99% sau 20 năm phẫu thuật. Tuy nhiên, trong một số nghiên cứu đã báo cáo hơn 25% bệnh nhân đã được phát hiện ung thư biểu mô nhú tuyến giáp tái phát trong một thời gian dài theo dõi. Trong đó, có 11% các trường hợp tái phát sau 20 năm điều trị, vì thế bác sĩ thường khuyến cáo bệnh nhân có tiền sử mắc ung thư biểu mô nhú tuyến giáp cần theo dõi, tái khám định kỳ.







