1. Tổng quan về bệnh sa sút trí tuệ
Sa sút trí tuệ là bệnh thoái hóa thần kinh gây suy giảm chức năng nhận thức của não, từ đó rối loạn nhận thức, rối loạn hành vi, ngôn ngữ... gây ảnh hưởng tới chất lượng cuộc sống, thậm chí là hoạt động tự chăm sóc bản thân của người bệnh. Sa sút trí tuệ thường xảy ra ở những người cao tuổi, ngoài 60 tuổi nhưng hiện nay cũng xuất hiện nhiều ở người trẻ.
2. Các triệu chứng sa sút trí tuệ
Những biểu hiện của sa sút trí tuệ lúc mới bắt đầu thường khó nhận biết, người bệnh chỉ cảm thấy các dấu hiệu như:
● Hay quên, mất trí nhớ, hay lạc đường.
● Gặp khó khăn trong giao tiếp.
● Sinh hoạt hàng ngày chậm, không hiệu quả.
● Không có khả năng tìm hiểu hoặc ghi nhớ các thông tin mới.
● Gặp khó khăn với quy hoạch và tổ chức.
● Thiếu khả năng chủ động giải quyết vấn đề đột xuất.
● Khó phối hợp với người khác.
● Thay đổi tính cách (hay lo, ảo giác, hoang tưởng...)

3. Nguyên nhân gây sa sút trí tuệ
Tuổi thọ tăng, tỉ lệ nhiều bệnh mãn tính gia tăng chính là yếu tố thúc đẩy số người cao tuổi bị bệnh sa sút trí tuệ ngày càng nhiều. Ngoài ra còn có nhiều nguyên nhân gây sa sút trí tuệ như:
● Bệnh lý tiềm ẩn nhiều nguy cơ về mạch máu (Cao huyết áp, đái tháo đường, tim mạch, tai biến mạch máu não,..).
● Bệnh nhược giáp (thiếu vitamin B, thiếu dinh dưỡng).
● Lạm dụng rượu bia thời gian dài dẫn đến ngộ độc, biến chứng xơ vữa động mạch, teo Não và sa sút trí tuệ.
● Ít hoạt động trí não, thể lực thường xuyên.
● Yếu tố di truyền.
● Bệnh Alzheimer, bệnh Huntington, bệnh Down.
● Các khối u ở não.
4. Chẩn đoán sa sút trí tuệ
Tùy từng trường hợp bác sĩ sẽ yêu cầu thực hiện thêm các Xét nghiệm để đưa ra chẩn đoán chính xác:
● Khám lâm sàng.
● Yêu cầu người bệnh thực hiện trắc nghiệm tâm lý học thần kinh.
● Đánh giá hệ Thần kinh bằng chụp cắt lớp CT, chụp cộng hưởng từ MRI, chụp cộng hưởng từ phổ sọ não.
● Điện não đồ EEG.
● Phân tích chất dịch não tủy.
● Xét nghiệm máu, nước tiểu...

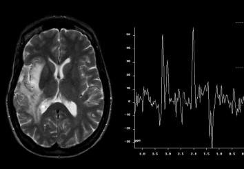
5. Chụp cộng hưởng từ phổ não là gì?
Chụp cộng hưởng từ phổ sọ não là một kỹ thuật mới được sử dụng trong chẩn đoán bệnh lý thần kinh, giúp phát hiện các chất chuyển hóa đặc hiệu của tổn thương sọ não. Chụp cộng hưởng từ phổ sọ não dựa trên nguyên lý so sánh nồng độ các chất chuyển hóa trong vùng thăm khám để xác định bản chất tổn thương.
6. Quy trình chụp cộng hưởng từ phổ não
6.1 Chuẩn bị trước thủ thuật
Để thực hiện chụp cộng hưởng từ phổ sọ não, cần chuẩn bị:
Ekip thực hiện:
● Bác sĩ chuyên khoa điện quang.
● Kỹ thuật viên điện quang.
● Điều dưỡng.
Phương tiện sử dụng:
● Máy chụp mạch cộng hưởng từ 1 Tesla trở lên.
● Máy in phim.
● Phim.
● Hệ thống lưu trữ hình ảnh.
Thuốc: chuẩn bị thuốc an thần.
Người bệnh cần chuẩn bị:
● Không cần nhịn ăn.
● Chuẩn bị giấy yêu cầu chụp của bác sĩ lâm sàng với chẩn đoán rõ ràng hoặc có hồ sơ bệnh án đầy đủ (nếu cần).
● Được giải thích trước về thủ thuật để phối hợp tốt với bác sĩ.
● Kiểm tra các chống chỉ định.
● Thay quần áo của phòng chụp cộng hưởng từ theo hướng dẫn, tháo bỏ các vật dụng chống chỉ định.

6.2 Quy trình thực hiện
Toàn bộ quy trình chụp cộng hưởng từ phổ sọ não mất khoảng 30 phút lần lượt theo các bước:
Tư thế người bệnh
● Người bệnh được đặt nằm ngửa trên bàn chụp.
● Chuyển bàn chụp vào trong khoang máy.
Kỹ thuật chụp
● Định vị vùng đo.
● Chọn các chuỗi xung phù hợp với mục đích thăm khám.
● Thực hiện các chuỗi xung thông thường: T1, T2, Flair lên tất cả đối tượng.
● Các hướng cắt lựa chọn: đứng ngang (đứng ngang), cắt ngang (cắt ngang) và đứng dọc (đứng dọc).
Lưu ý: Có thể tiến hành các chuỗi xung đặc biệt khác để chẩn đoán cụ thể về tình trạng não (nếu cần). Ví dụ chuỗi xung T2* giúp nhận diện Chảy máu trong tổn thương hay không.
● Tiêm thuốc đối quang tĩnh mạch, chụp chuỗi xung T1 theo 3 hướng không giãn để đánh giá vùng tổn thương ngấm thuốc (vùng trung tâm cần thăm khám).
● Đặt ô đo (multi voxel hoặc mono voxel) vào vùng cần đo. Cài thời gian TE phù hợp với từng mục đích, đặt ô khung chống nhiễu.
Lưu ý: Tránh vùng sát xương, sát vùng chảy máu. Nếu chụp multi voxel thì vùng chụp sẽ bao gồm cả tổn thương, phù nề xung quanh và vùng lành ở đối diện để so sánh sự khác biệt về nồng độ chất chuyển hóa.
● Tiến hành cho chạy xung và xử lý hình ảnh thu được, chọn lọc các ảnh cần thiết thể hiện bệnh lý để in phim hoặc ghi đĩa.
● Dựa trên hình ảnh thu nhận được, bác sĩ đọc tổn thương và nhận định kết quả.
Kết quả hình ảnh của chụp cộng hưởng từ phổ sọ não thường được phân tích thành dạng biểu đồ phổ, đặc trưng bởi thông tin tần số, chiều cao, độ rộng, diện tích, chiều cao hoặc diện tích vùng bên dưới đỉnh thể hiện nồng độ của các chất chuyển hóa. Các chất chuyển hóa phổ biến thường được ghi hình trên phổ là Choline, Creatine, NAA và Lactate. Chụp nhiều lần có thể giúp theo dõi các thay đổi về nồng độ các chất chuyển hóa, từ đó đưa ra kết luận chẩn đoán chính xác hơn.

7. Vai trò của chụp phổ não với chẩn đoán sa sút trí tuệ .
Hình ảnh chụp phổ não thu được có vai trò quan trọng trong đánh giá bệnh nhân nghi ngờ sa sút trí tuệ. Việc phát hiện những tổn thương càng sớm thì việc điều trị càng có hiệu quả. Khi thực hiện kỹ thuật, người bệnh nên tuân thủ các hướng dẫn của bác sĩ để đạt hiệu quả chẩn đoán cao, đưa ra hướng điều trị phù hợp.
Phòng khám Đa khoa Vietlife là cơ sở y tế chất lượng cao tại Việt Nam với đội ngũ y bác sĩ có trình độ chuyên môn cao, được đào tạo bài bản, chuyên sâu trong nước và nước ngoài, giàu kinh nghiệm.
Chi Phí Chụp cộng hưởng từ MRI Phòng khám Vietlife







