1. Tuyến yên là gì?
Trong hệ nội tiết phức tạp của cơ thể, tuyến yên là cơ quan đóng vai trò quan trọng không thể thay thế. Kích thước của tuyến yên khá nhỏ, đường kính khoảng 1cm, và khối lượng trung bình khoảng 1 gram. Vị trí của tuyến yên nằm ở nền sọ, trong hố yên. Nhiệm vụ chính của tuyến yên là giám sát và điều chỉnh hoạt động của các tuyến Nội tiết còn lại trong cơ thể cùng với hệ Thần kinh để đảm bảo sự nhịp nhàng trong việc chế tiết các hóc môn và điều hòa môi trường nội môi của cơ thể. Vì thế, tuyến yên còn được gọi là nút chủ nhịp cho hệ thống các tuyến nội tiết ở người.
Giải phẫu tuyến yên chia làm 2 phần chính, bao gồm thùy trước tuyến yên và thùy sau tuyến yên. Mối phần đảm nhiệm mỗi vai trò khác nhau. Thùy trước tuyến yên có chức năng nội tiết, tổng hợp và chế tiết hóc môn để kích thích hay giới hạn sự chế tiết hóc môn của các tuyến khác. Ngược lại, thùy sau tuyến yên không có khả năng sản xuất hóc môn vì được cấu tạo từ các tế bào mô đệm thần kinh thay vì các tế bào bài tiết như thùy trước. Thùy sau là nơi dự trữ 2 hóc môn từ vùng dưới đồi, là vasopressin hay ADH và oxytocin. Hóc môn ADH có vai trò chống bài niệu thông qua cơ chế tăng tái hấp thu nước tại thận, hoạt động phụ thuộc vào sự thay đổi áp lực thẩm thấu bên trong cơ thể. Hóc môn oxytocin có nhiệm vụ kích thích cơ tử cung co bóp, tăng ở phụ nữ Mang thai và đạt đỉnh trong quá trình chuyển dạ, hỗ trợ tống thai và các phần phụ ra khỏi buồng tử cung.
Tóm lại, tuyến yên là một tuyến nội tiết có kích thước tuy nhỏ như cấu trúc và chức năng của nó khá phức tạp và rất quan trọng. Bất kỳ bất thường nào ở tuyến yên đều có thể ảnh hưởng rộng rãi và gây rối loạn hoạt động của tất cả các tuyến nội tiết còn lại trong cơ thể.

2. Chỉ định/chống chỉ định chụp cộng hưởng từ tuyến yên cho những trường hợp nào?
Chụp cộng hưởng từ tuyến yên là một phương pháp chẩn đoán hình ảnh không xâm lấn và an toàn. Mục đích của chụp cộng hưởng từ tuyến yên là phát hiện các bất thường Nguyên phát tại chỗ hoặc tổn thương các vùng lân cận ảnh hưởng đến tuyến yên. Chỉ định chụp cộng hưởng từ tuyến yên bao gồm:
- Bệnh nhân có các triệu chứng nghi ngờ như suy giảm thị lực, nhìn đôi, sụp mi, liệt nhãn cầu, ...
- Bệnh nhân có biểu hiện trên lâm sàng bằng các triệu chứng gợi ý sự tăng hoặc sụt giảm các loại hóc môn khác.
- Bệnh nhân đến khám vì vô sinh, không phát hiện được bất thường tại các cơ quan sinh dục.
- Xuất hiện đau đầu dai dẳng, không đặc hiệu
- Rối loạn tăng trưởng như Khổng lồ hoặc Lùn tẹ
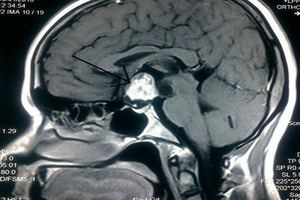
- Nghi ngờ có khối u tuyến yên.
- Người bệnh đã phát hiện khối u tại tuyến yên trước đó, nay cần theo dõi sự phát triển hoặc đánh giá hiệu quả sau điều trị
- Rối loạn kinh nguyệt ở bệnh nhân nữ theo hướng thưa kinh, vô kinh
- Gặp phải tình trạng Hạ đường huyết lặp lại nhiều lần
- Thay đổi hình dạng và cảm giác ở vùng mặt
- Tăng cân nhanh, béo phì
- Rối loạn điện giải
Tương tự như các kỹ thuật khác, chụp cộng hưởng từ tuyến yên tuy không xâm lấn và an toàn nhưng không thể áp dụng cho mọi trường hợp. Rủi ro khi chụp cộng hưởng từ liên quan đến cơ chế hoạt động phụ thuộc vào từ trường của nó. Chống chỉ định của chụp cộng hưởng từ tuyến yên bao gồm:
- Người có các thiết bị hoặc vật liệu thay thế bên trong cơ thể làm từ kim loại có từ tính như một số loại máy tạo nhịp tim, van tim nhân tạo, máy khử rung, ốc tai điện tử, clip cầm máu, phương tiện kết hợp xương,...
- Người sợ bóng tối hoặc mắc hội chứng sợ buồng kín.
- Người mang các dị vật bằng kim loại trong người như mảnh đạn, nhất là ở hai ổ mắt và các vùng gần đâu.
- Trẻ nhỏ bị mắc hội chứng tăng động giảm chú ý hoặc những trẻ quá nhỏ không thể nằm yên lâu tại một vị trí.
- Người mang theo các vật dụng cá nhân vào phòng chụp như trang sức, đồng hồ, thẻ ngân hàng, ...

3. Ưu điểm khi chụp cộng hưởng từ tuyến yên
Chụp cộng hưởng từ tuyến yên đang ngày càng được chỉ định nhiều hơn trong các tình huống trên lâm sàng. So sánh với những phương pháp chẩn đoán hình ảnh khác, chụp cộng hưởng từ tuyến yên có nhiều ưu điểm vượt trội hơn như:
- Người bệnh không bị phơi nhiễm tia xạ. Cơ chế hoạt động của máy cộng hưởng từ dựa vào từ trường. Vì thế cộng hưởng từ tuyến yên được xem là khá an toàn, có thể sử dụng được cho trẻ em và phụ nữ mang thai.
- Chất cản quang sử dụng trong chụp cộng hưởng từ tuyến yên có nguồn gốc từ gadolinium, có tỷ lệ gây phản ứng Dị ứng hay sốc thuốc thấp hơn so với thuốc cản quang nguồn gốc iot trong chụp cắt lớp vi tính.
- Phát hiện được các tổn thương có kích thước nhỏ tại tuyến yên nhờ khả năng tạo ảnh chi tiết, có độ tương phản cao. Hình ảnh tuyến yên thu được khi chụp cộng hưởng từ tuyến yên rõ nét hơn rất nhiều lần khi chụp cộng hưởng từ sọ não.
- Ngoài ra, các tổn thương ở nhu mô Não nếu có kèm theo cũng được phát hiện mà không bỏ sót.
4. Lưu ý trước, trong và sau khi chụp cộng hưởng từ tuyến yên
4.1 Trước khi chụp
Bệnh nhân cần ghi nhớ các lưu ý sau trước khi chụp cộng hưởng từ tuyến yên:
- Hợp tác khi được khai thác thông tin liên quan đến bệnh sử để loại từ các chống chỉ định của chụp cộng hưởng từ.
- Không mang các vật dụng cá nhân làm từ kim loại như trang sức, đồng hồ, thẻ ngân hàng vào phòng chụp.
- Ký vào giấy cam đoan nếu đồng ý thực hiện kỹ thuật.
- Thay áo quần theo quy định, nên mang nhét tai hoặc tai nghe hạn chế tiếng ồn.
4.2 Trong khi chụp
- Người bệnh cần duy trì tư thế nằm ngửa trên ghế chụp trong suốt quá trình chụp cộng hưởng từ.
- Giữ tư thế đầu cố định trong vùng từ trường của máy để tránh bị nhiễu ảnh.
- Không lo lắng hay hồi hộp, cố gắng giữ bình tĩnh và tinh thần thoải mái.
- Làm theo hướng dẫn của kỹ thuật viên phòng máy.
- Nếu có bất thường hay biểu hiện khó chịu trong quá trình chụp, người bệnh nên thông báo cho nhân viên y tế.

4.3 Sau khi chụp
- Nếu quá trình chụp cộng hưởng từ tuyến yên có sử dụng thuốc cản quang, bệnh nhân sẽ được theo dõi sau chụp trong ít nhất 15 phút.
- Sau đó, bệnh nhân cần nghỉ ngơi và chờ đợi trong khoảng 30 phút để được giải thích về kết quả.
Phòng khám Đa khoa Vietlife với hệ thống cơ sở vật chất, trang thiết bị y tế hiện đại cùng đội ngũ chuyên gia, bác sĩ nhiều năm kinh nghiệm trong khám điều trị, người bệnh hoàn toàn có thể yên tâm thăm khám và điều trị tại Bệnh viện.
Chi Phí Chụp cộng hưởng từ MRI Phòng khám Vietlife







