1. Hôi miệng là gì?
Chứng hôi miệng là một thuật ngữ được dùng để mô Tả tình trạng hơi thở có mùi hôi. Hôi miệng có thể gặp ở mọi lứa tuổi, từ trẻ em đến người già. Hôi miệng tăng nhẹ theo tuổi, càng lớn tuổi mùi hôi miệng càng tăng. Tỷ lệ mắc hôi miệng ở nam và nữ gần như nhau.
2. Cách xác định hôi miệng
Xác định hôi miệng không khó, bao gồm các cách như sau:
- Phương pháp thủ công: tự bạn cảm thấy miệng có mùi hôi hay khi bạn áp lòng bàn tay vào miệng, thở ra rồi ngửi lòng bàn tay, ngửi khẩu trang sau khi đeo...
- Người nhà hay người giám định xác nhận bạn có hôi miệng.
- Đo bằng máy.
3. Nguyên nhân của hôi miệng
Nguyên nhân chủ yếu gây hôi miệng là do có sự giải phóng các hợp chất sulfur dễ bay hơi ở trong khoang miệng. Các hợp chất sulfur dễ bay hơi này cho là được tạo ra bởi các vi khuẩn Gram âm kỵ khí phân giải protein.
Những vi khuẩn này luôn luôn tồn tại trong miệng, tập trung nhiều ở các túi nha chu (túi lợi), bề mặt lưỡi, vùng kẽ giữa các răng. Chúng phân hủy protein có trong mảnh vụn thức ăn, xác vi khuẩn, chất thải của vết loét,.. ở trong miệng và gây mùi.
Dưới đây là các nguyên nhân gây hôi miệng:
3.1 Nguyên nhân có nguồn gốc từ miệng
Là nguyên nhân chủ yếu gây hôi miệng, đa phần là do những viêm nhiễm trong khoang miệng. Bao gồm:
- Các bệnh lý của răng như Sâu răng, còn chân răng, ổ mủ có lỗ dò vùng chóp răng...
Các bệnh lý viêm nhiễm của vùng quanh răng như viêm lợi, nha chu viêm, viêm lợi hoại tử, viêm quanh thân răng, viêm quanh implant...

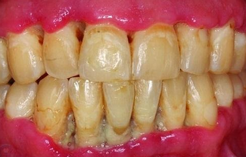
- Cao răng, mảng bám.
- Các vết loét trong miệng như vết loét do virus, vết loét ác tính trong miệng, vết loét do tác dụng của thuốc, vết loét do cơ học gây nhiễm trùng, bệnh tay chân miệng, bệnh lậu, AIDS.

- Các bệnh lý viêm nhiễm của lưỡi như Viêm lưỡi do nấm candida, Viêm lưỡi bản đồ...

- Bệnh lý của xương hàm như viêm xương ổ răng, viêm xương, Hoại tử xương, ung thư xương...
- Giảm tiết nước bọt do tuyến nước bọt kém hoạt động, viêm tuyến nước bọt, tuổi tác, dùng thuốc, liệt dây Thần kinh mặt (dây VII), xạ trị, hoá trị liệu, hội chứng Sjogren.
- Vệ sinh răng miệng kém tạo lớp cặn lưỡi dày, nhiều thức ăn giắt ở các khe, kẽ trong miệng.
- Sự lắng đọng các mảnh vụn thức ăn, cao răng ở các cầu chụp răng bị hở bờ, ở các miếng hàn thừa, ở hàm răng giả, khí cụ chỉnh răng...
3.2 Nguyên nhân có nguồn gốc ngoài miệng
Chiếm khoảng 10-15% nguyên nhân gây hôi miệng. Bao gồm:

- Viêm nhiễm đường hô hấp.
- Bệnh lý đường tiêu hóa như ợ hơi, hở môn vị, trào ngược dạ dày thực quản.
- Tiểu đường, suy gan, suy thận.
- Hội chứng hôi mùi cá ươn (Trimethylaminuria-Fish Odor Symdrom): là hội chứng rất hiếm gặp, do rối loạn chuyển hóa chất Trimethylamin có trong thực phẩm có mùi tanh. Là bệnh Tự miễn ở trẻ sơ sinh.
- Do dùng thuốc: một số thuốc gây mùi khi uống nhất là các thuốc điều trị ung thư. Hôi miệng sẽ hết khi không dùng thuốc.
- Hút thuốc lá: người Nghiện thuốc lá có mùi hôi miệng thường gặp nhất và dễ nhận biết nhất. Mùi thuốc lá có thể kéo dài lâu hơn một ngày sau khi ngừng hút thuốc.
- Do thực phẩm: thức ăn có nhiều đạm, chất béo, thức ăn có nguồn gốc từ sữa, rượu, thức ăn gây mùi như hành, tỏi, mắm tôm...Hôi miệng là do có sự trao đổi chất giữa một số thức ăn và đồ uống tạo ra các acid béo bay hơi và các chất có mùi hôi khác được bài tiết qua phổi. Mùi hôi trong miệng giống như mùi của thực phẩm đã dùng và chỉ nhất thời xảy ra sau khi ăn uống.
- Do tâm lý: hôi miệng do tâm lý là rất hiếm. Người bệnh có cảm tưởng mình bị hôi miệng trầm trọng nên họ thường tự cô lập và xa lánh mọi người. Hôi miệng do tâm lý thường thấy ở nữ, hoặc bệnh nhân bị bệnh tâm thần như trầm cảm, Tâm thần phân liệt...

4. Cách Phòng tránh hôi miệng
Chứng hôi miệng hoàn toàn có thể chữa được nếu bạn biết chính xác nguyên nhân và từ đó có hướng điều trị phù hợp. Đối với những trường hợp do bệnh lý thì việc điều trị dứt điểm hay kiểm soát được bệnh là yếu tố quan trọng nhất để hạn chế hoặc loại bỏ được tình trạng hôi miệng như: hàn răng sâu, thay cầu, chụp răng hở bờ, điều trị các bệnh của vùng quanh răng và các viêm nhiễm trong miệng, điều trị các bệnh về mũi họng, điều trị, kiểm soát và hạn chế tối đa các biến chứng của các bệnh lý toàn thân.
- Vệ sinh răng miệng sạch sẽ hàng ngày cũng đóng vai trò quan trọng trong hạn chế hoặc loại bỏ hoàn toàn được tình trạng hôi miệng. Chải răng đúng cách với kem đánh răng và dùng chỉ tơ nha khoa để loại bỏ hết các mảnh vụn thức ăn trong miệng. Dùng máy tăm nước cũng là một cách loại bỏ những mảnh vụn thức ăn cứng đầu bám ở kẽ răng hay ở xung quanh cầu, chụp răng. Làm sạch lưỡi nhẹ nhàng sau mỗi khi đánh răng với lông bàn chải đánh răng. Chải lưỡi bằng miếng cạo lưỡi nên hạn chế dùng vì dễ làm tổn thương mặt lưỡi.
- Uống đủ nước để tránh khô miệng.
- Tránh uống quá nhiều rượu bia. Hạn chế tiến tới bỏ thuốc lá.
- Ăn nhiều trái cây và rau. Hạn chế ăn nhiều thịt và chất béo. Tránh dùng các thực phẩm có thể gây mùi hôi ở miệng.
- Dùng nước súc miệng, bình xịt, kẹo ngậm hay nhai kẹo cao su để giảm bớt hôi miệng. Tuy nhiên những cách này chỉ có tác dụng che dấu, không phải là cách điều trị hôi miệng hiệu quả.
- Chủ động đi khám răng miệng để điều trị trị sớm các bệnh lý trong miệng và lấy cao răng định kỳ 6 tháng/lần.

Chứng hôi miệng là vấn đề khá phổ biến, gặp ở mọi lứa tuổi và ảnh hưởng nhiều tới giao tiếp, công việc và sinh hoạt hàng ngày. Để miệng không hôi phụ thuộc nhiều vào ý thức vệ sinh cá nhân, ý thức bảo vệ sức khỏe và thói quen của mỗi người.







