1. Kỹ thuật sinh thiết phổi, sinh thiết màng phổi dưới cắt lớp vi tính là gì?
Sinh thiết phổi/sinh thiết màng phổi dưới sự hướng dẫn của cắt lớp vi tính là kỹ thuật dùng kim sinh thiết xuyên qua thành ngực để lấy mẫu bệnh phẩm từ vùng tổn thương nhằm thực hiện Xét nghiệm tế bào và mô bệnh học. Quá trình thực hiện dưới sự hướng dẫn và kiểm soát của cắt lớp vi tính.
Các kỹ thuật Chẩn đoán hình ảnh thông thường như chụp X-quang phổi và chụp cắt lớp vi tính (CT) lồng ngực có thể giúp phát hiện các tổn thương phổi, tuy nhiên để chẩn đoán xác định bản chất của thương tổn thì hình ảnh thường chưa đủ. Dùng kim để sinh thiết xuyên thành ngực dưới sự hướng dẫn của CT sẽ giúp cung cấp nhiều thông tin hơn để chẩn đoán bệnh. Đây là một kỹ thuật xâm lấn tối thiểu, an toàn, cho kết quả chẩn đoán chính xác.
Sinh thiết phổi/màng phổi dưới sự hướng dẫn của cắt lớp vi tính thường được chỉ định trong các trường hợp có các tổn thương phổi, màng phổi và trung thất cần xác định chẩn đoán, nghi tổn thương u, viêm, lao...

2. Chuẩn bị gì trước khi thực hiện sinh thiết phổi, sinh thiết màng phổi dưới cắt lớp vi tính?
2.1. Người thực hiện thủ thuật
Ê-kíp thực hiện sinh thiết xuyên thành ngực dưới sự hướng dẫn của CT gồm bác sĩ chuyên khoa, bác sĩ phụ, điều dưỡng, kỹ thuật viên điện quang. Nếu người bệnh không thể hợp tác, ê-kíp còn cần thêm sự hỗ trợ của bác sĩ, kỹ thuật viên gây mê.
2.2. Phương tiện thực hiện sinh thiết xuyên thành ngực dưới hướng dẫn của CT
Các phương tiện cần thiết để thực hiện kỹ thuật sinh thiết phổi/sinh thiết màng phổi dưới cắt lớp vi tính gồm:
- Máy chụp cắt lớp vi tính; phim, máy in phim, hệ thống lưu trữ hình ảnh
- Thuốc Gây tê tại chỗ, thuốc gây mê toàn thân (nếu có chỉ định gây mê), thuốc đối quang i-ốt tan trong nước, dung dịch sát khuẩn da
- Kim sinh thiết chuyên dụng, bơm kim, bông, gạc,...
2.3. Chuẩn bị người bệnh trước khi sinh thiết xuyên thành ngực dưới hướng dẫn của CT
Trước khi thực hiện kỹ thuật, người bệnh và người nhà sẽ được nhân viên y tế giải thích mục đích, các bước thực hiện và các nguy cơ có thể gặp phải. Sinh thiết chỉ được thực hiện nếu bệnh nhân đồng ý và ký vào giấy chấp nhận làm thủ thuật.
Người bệnh sẽ được thực hiện một số xét nghiệm quan trọng như xét nghiệm công thức máu, xét nghiệm đông máu toàn bộ, siêu âm tim, ECG, đo chức năng hô hấp,...để đảm bảo có điều kiện sức khỏe phù hợp để thực hiện sinh thiết.
Nhân viên y tế sẽ hướng dẫn người bệnh nhịn ăn uống trong 4 giờ trước khi sinh thiết phổi/ sinh thiết màng phổi. Người bệnh phải thông báo cho bác sĩ tất cả các loại thuốc đang sử dụng, các loại thuốc bị dị ứng,... Bác sĩ sẽ yêu cầu ngưng các thuốc chống đông, thuốc chống kết tập tiểu cầu (như Heparin, Aspirin, Wafarin,...) một vài ngày trước khi làm thủ thuật.
Bệnh nhân nữ, nếu đang có thai hoặc nghi ngờ có thai phải báo cho bác sĩ hoặc kỹ thuật viên trong phòng chụp. Để tránh sự phơi nhiễm bức xạ cho thai nhi, các phương pháp Chẩn đoán hình ảnh thường không được thực hiện. Tuy nhiên trong trường hợp cần thiết phải tiến hành, các biện pháp phòng ngừa sẽ được thực hiện để giảm tối đa khả năng phơi nhiễm cho thai nhi. Bệnh nhân cũng cần thông báo với bác sĩ các bệnh hoặc tình trạng sức khỏe khác nếu có.

3. Sinh thiết phổi/màng phổi dưới cắt lớp vi tính được thực hiện như thế nào?
Ê-kíp thực hiện hướng dẫn người bệnh nằm trên giường, sau đó tiến hành lắp máy theo dõi nhịp thở, mạch, huyết áp, điện tâm đồ, SpO2. Bác sĩ có thể chỉ định cho sử dụng thuốc an thần nếu người bệnh kích thích không nằm yên.
Chụp CT khu trú cho bệnh nhân để xác định vị trí thương tổn. Sau khi xác định được vị trí, vùng da thuộc vị trí này và vùng da xung quanh sẽ được khử trùng, làm sạch. Một tấm khăn đã được vô trùng và có một lỗ tròn sẽ được phủ lên vị trí vùng da đã được khử trùng.
Tiến hành Gây tê quanh vùng da được khảo sát. Bác sĩ sẽ rạch một đường rất nhỏ trên da bằng lưỡi dao phẫu thuật, sau đó thực hiện chọc kim dẫn đường qua vị trí rạch da dưới sự hướng dẫn của cắt lớp vi tính đưa kim đến sát vị trí của tổn thương (khối u).
Kim sinh thiết chuyên dụng sẽ được đưa qua kim dẫn đường để tiếp cận khối u. Bác sĩ sẽ tiến hành sinh thiết cắt vào khối u, lấy 2-3 mẫu bệnh phẩm theo các hướng khác nhau. Vì khi người bệnh thở khối u sẽ di chuyển theo nhịp thở nên người bệnh cần cố gắng nín thở trong lúc kim chọc qua màng phổi, nhu mô phổi và khi sinh thiết.

Sau khi lấy xong mẫu bệnh phẩm, bác sĩ sẽ rút kim sinh thiết và kim dẫn đường. Điều dưỡng sát khuẩn và băng lại vị trí chọc. Mẫu bệnh phẩm sẽ được cố định bằng cồn tuyệt đối để làm xét nghiệm tế bào học.
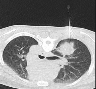
Ê-kíp tiến hành chụp một số lớp cắt qua vùng sinh thiết để kiểm tra người bệnh có bị các tình trạng như chảy máu phổi, màng phổi, tràn khí màng phổi,...hay không.
Thủ thuật thường được hoàn tất trong vòng một giờ. Người bệnh được hướng dẫn nằm theo dõi tại giường trong ít nhất 6 giờ, các chỉ số mạch, huyết áp, toàn trạng của người bệnh sẽ được theo dõi chặt chẽ trong 24 giờ sau thực hiện thủ thuật.
4. Các tai biến có thể gặp khi sinh thiết phổi/màng phổi dưới cắt lớp vi tính
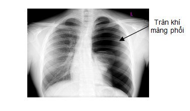
4.1. Tai biến tràn khí màng phổi
Tai biến tràn khí màng phổi sau khi đã lấy được bệnh phẩm thường xảy ra ở những bệnh nhân cao tuổi; bệnh nhân có thể trạng gầy, thành ngực mỏng; mắc bệnh COPD; bệnh nhân đang thực hiện sinh thiết bị ho,...Nếu bệnh nhân bị tràn khí màng phổi ở mức độ ít sẽ tự hết, còn nếu tràn khí nhiều cần phải dẫn lưu màng phổi cho bệnh nhân.

4.2. Tai biến chảy máu ra miệng, mũi; Ho ra máu trong khi sinh thiết phổi, sinh thiết màng phổi
Do phổi là một cấu trúc có rất nhiều mạch máu quan trọng như động mạch phổi, động mạch phế quản, tĩnh mạch phổi,...Khi thực hiện sinh thiết, các mạch máu có thể bị đứt làm máu chảy vào phế nang, phế quản rồi ra khí quản, ra mồm hoặc ra mũi. Tai biến chảy máu thường gặp ở những bệnh nhân cao tuổi, bệnh nhân bị cắt nhiều mẫu bệnh phẩm; dùng kim sinh thiết với đường kính lớn,..Việc xử trí tùy thuộc vào mức độ chảy máu, nếu bệnh nhân chảy máu mức độ ít sẽ được theo dõi. Nếu chảy máu mức độ nhiều được sử dụng thuốc cầm máu, truyền máu,...
Một số tai biến có thể gặp khác như chảy máu nhu mô phổi, màng phổi nặng, đau ngực, tổn thương cơ hoành và các cơ quan dưới cơ hoành, thành ngực,... Bác sĩ sẽ xử lý tùy theo triệu chứng và nguyên nhân cụ thể. Vì thế, bạn nên chọn sinh thiết phổi tại các cơ sở y tế lớn, có uy tín không chỉ trong hệ thống các bệnh viện nói chung mà còn phải nổi bật, đi đầu trong lĩnh vực chẩn đoán, điều trị ung thư phổi.







