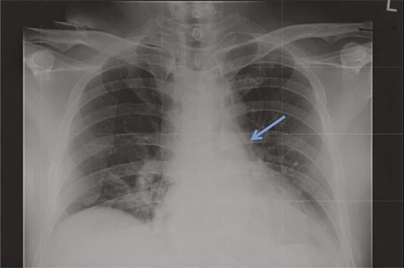
1. Tràn khí trung thất là gì?
Sự hiện diện của không khí hoặc khí tự do trong trung thất được gọi là tràn khí trung thất. Tràn khí trung thất là một tình trạng lành tính và tự giới hạn, thường gây ảnh hưởng đến nam giới.
Tràn khí trung thất có thể được gây ra bởi chấn thương, tình trạng này còn được gọi là tràn khí trung thất tự phát.
Khí đi vào trung thất thông qua sự phá vỡ hàng rào dưới da hoặc cơ (thường ở cây phế quản hoặc thực quản); Các sinh vật sống sinh khí có trong ổ nhiễm trùng ở trung thất hoặc vùng lân cận; sự chênh lệch áp suất giữa các phế nang và tổ chức kẽ phổi dẫn đến vỡ phế nang là 3 cơ chế khác nhau mà tràn khí trung thất có thể xảy ra. Cơ sở sinh lý bệnh của tràn khí trung thất là cơ chế cuối cùng.

2. Nguyên nhân gây tràn khí trung thất
Hầu hết, tràn khí trung thất xảy ra do khí dò từ bất cứ phần nào của phổi hoặc đường dẫn khí vào trong trung thất. Áp lực trong phổi tăng hoặc đường dẫn khí có thể gây nên bởi:
- Cơn Ho dữ dội
- Áp lực ổ bụng tăng
- Hắt hơi.
- Nôn.
- Vùng cổ hoặc ngực bị nhiễm trùng.
- Thay đổi độ cao một cách đột ngột.
- Đặt sonde dạ dày gây rách thực quản.
- Khí quản rách.
- Thở máy.
- Có thể xảy ra cùng với tràn khí màng phổi hay các bệnh khác.
Sự xuất hiện của khí tự do trong trung thất mà không có nguyên nhân rõ ràng được gọi là tràn khí trung thất tự phát.

3. Dấu hiệu tràn khí trung thất
Tràn khí trung thất tự phát là bệnh lý lành tính, hiếm gặp và chủ yếu gặp ở người trẻ tuổi. Những biểu hiện lâm sàng hay gặp nhất là đau ngực, khó thở và tràn khí dưới da.
Bệnh nhân bị tràn khí trung thất có thể không có triệu chứng. Bệnh thường gây đau ngực sau xương ức, có thể lan tới cổ và cánh tay. Khi thở và nuốt có thể khiến cơn đau tăng lên.
Những triệu chứng thường gặp nhất là đau ngực, khó thở và cảm giác đau hoặc khó chịu ở cổ. Đau ngực là triệu chứng được thấy nhiều nhất và có đặc điểm là đau cấp tính, sau xương ức, kiểu màng phổi và có thể lan lên cổ, vai hoặc ra sau lưng. Một số triệu chứng ít gặp hơn gồm: Ho, nuốt khó, nuốt đau, đau lưng hoặc đau bụng.

4. Điều trị tràn khí trung thất
Vì cơ thể sẽ hấp thu khí dần dần nên bệnh nhân bị tràn khí trung thất thường không cần can thiệp điều trị. Mục đích của phương pháp điều trị bệnh chủ yếu là điều trị hỗ trợ, bao gồm: Nghỉ ngơi, giảm đau, oxy liệu pháp, kháng sinh dự phòng, giãn phế quản, vitamin. Tùy vào từng trường hợp cụ thể, có thể áp dụng các phương pháp khác, chẳng hạn như:
- Đào thải khí nitơ trong trung thất nhanh hơn bằng cách thở oxy với nồng độ cao. Có thể áp dụng phương pháp này trong đại đa số các trường hợp tràn khí trung thất. Tuy nhiên, khi sử dụng oxy nồng độ cao, cần phải theo dõi sát khí máu của bệnh nhân.
- Tùy từng trường hợp cụ thể, có thể thực hiện thông khí nhân tạo một phổi, thông khí nhân tạo áp lực đường thở trung bình, Vt thấp, tần số thở cao (HFOV).
- Các phương pháp hỗ trợ khác: Khi có tràn khí màng phổi đặt ống dẫn lưu khí màng phổi. Phẫu thuật sửa chữa khâu lỗ thủng khí quản, thực quản và màng phổi.
- Sử dụng thuốc để điều trị các triệu chứng đau, giảm ho.
- Cần điều trị ở đơn vị cấp cứu nếu có chèn ép trung thất đòi hỏi phải. Bên cạnh các phương pháp điều trị khác, có thể đặt ống vào khoang chứa khí để giải phóng chèn ép .







